







































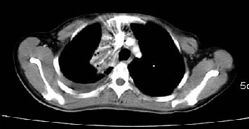
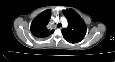
以下是引用zjzjr在2007-3-15 13:31:00的发言:[br]支持楼主诊断.右侧中央型肺癌伴右上叶节段性肺不张、胸腔积液、纵隔淋巴结转移。






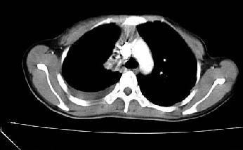
以下是引用dyqct在2007-3-15 15:33:00的发言:[br]支持右肺上叶肺不张,原因待定。建议支气管镜进一步检查。
以下是引用zyx168在2007-3-15 17:05:00的发言:[br]右侧中央型肺癌伴右上叶节段性肺不张、胸腔积液、纵隔淋巴结转移。
| 欢迎光临 医影在线 (http://bbs.radida.com/bbs/) | Powered by Discuz! X3.2 |