医影在线

标题: CT7165:[原创]肺CT请大家讨论 [打印本页]

作者: kbzyycm    时间: 2007-3-16 21:16
标题: CT7165:[原创]肺CT请大家讨论
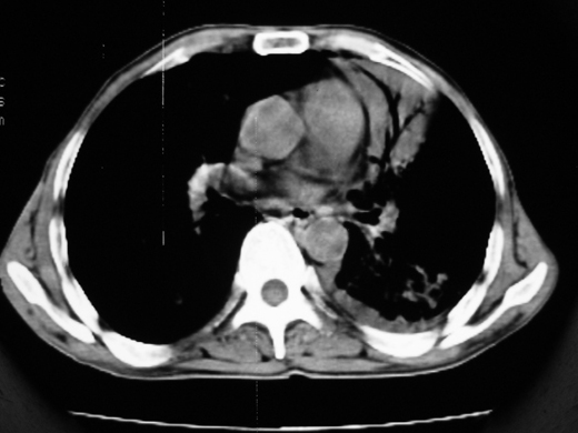
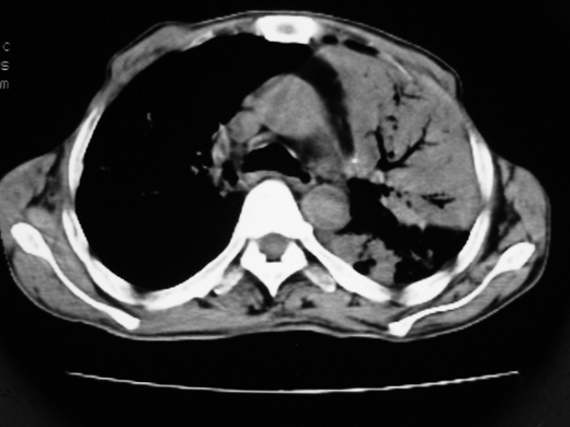
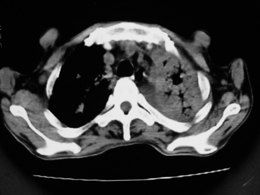
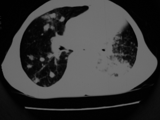
男69岁,年前胸片示肺感染治疗近一月今复查无明显好转,血象正常

































[本贴已被 jiajie 于 2007-3-16 18:45:07 修改过]

作者: 流星1234    时间: 2007-3-16 22:18
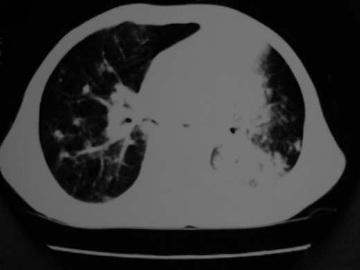
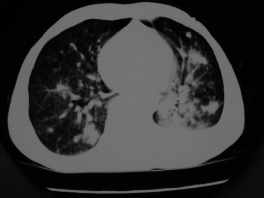
双肺内不规则斑点状 片状及结节密实影,部分灶周见索条样影及\"树芽征\",左肺上叶实变,内见充气支气管影及斑状钙化,左侧少量胸腔积液,考虑1)双肺结核2)左侧胸腔积液
作者: 余辉    时间: 2007-3-16 22:27
右肺多发片絮状结节状及时条索状影,左上肺实变,内可见虫蚀样空洞及支气管气象,左下肺片状及球形病灶,及胸腔积液征象,双肺病灶内多发钙化影,结合病史,考虑双肺继发型肺结核,左胸腔积液
作者: 石光    时间: 2007-3-16 22:44
右肺多发片絮状结节状及时条索状影,左上肺实变,内可见虫蚀样空洞及支气管气象,左下肺片状及球形病灶,及胸腔积液征象,双肺病灶内多发钙化影,上纵隔向左侧移位,结合病史,考虑双肺继发型肺结核,左胸腔积液。
作者: sn4187189    时间: 2007-3-16 22:48
首先考虑肺结核合并炎性渗出病变,其次病毒、支原体、阴性杆菌所致感染。
作者: LP3keli    时间: 2007-3-16 23:17
支持肺结核的诊断。
作者: jw-830    时间: 2007-3-16 23:33
考虑双肺支气管内膜结核并左侧肺不张,左胸腔积液可能性大建议气管镜检查或抗结核治疗隔期复查
作者: 卜一    时间: 2007-3-16 23:41
支持考虑:双肺继发型肺结核,左胸腔积液。
作者: wqs571018    时间: 2007-3-17 00:10
支持:双肺继发型肺结核,左胸腔少量积液。
作者: jinning    时间: 2007-3-17 00:35
考虑双肺结核、左侧胸腔积液,肺泡癌不能排除
作者: zjzjr    时间: 2007-3-17 00:45
支持双侧继发性肺结核,左侧胸腔积液.
作者: yanghaochen88    时间: 2007-3-17 00:46
tb
作者: 天南地北    时间: 2007-3-17 01:22
考虑双肺继发型肺结核,左胸腔积液
作者: sjing    时间: 2007-3-17 01:24
双肺继发型肺结核,左胸腔积液。
作者: tao772    时间: 2007-3-17 01:27
首先考虑肺结核合并炎性渗出病变。
作者: 龙在野    时间: 2007-3-17 01:35
1 肺结核2肺泡癌
作者: qc80012345    时间: 2007-3-17 03:24
支持肺结核伴胸腔积液的诊断,可做ot试验或痰培养。
作者: 123zhangming    时间: 2007-3-17 03:50
双肺继发型肺结核,左侧胸腔少量积液
作者: 文莱    时间: 2007-3-17 03:59
两肺结核.左侧胸腔积液
作者: 同    时间: 2007-3-17 04:14
支持双继发型结核,左侧胸腔积液。
作者: 拾荒者    时间: 2007-3-17 06:27
右肺多发片絮状、结节状及条索状影,左上肺实变,内可见虫蚀样空洞及支气管气象,左下肺片状及球形病灶,有胸腔积液征象,双肺病灶内多发钙化影,上纵隔向左侧移位,结合病史,考虑双肺继发型肺结核,左胸腔积液。 建议结合ppd检查或纤支镜检查!
作者: ayi    时间: 2007-3-17 09:04
双肺结核,左肺实变。左侧胸腔积液(部分包裹)。
作者: haha215315    时间: 2007-3-17 17:52
支持肺结核的诊断。
作者: 杨晓霞    时间: 2007-3-17 19:00
右肺可见大片状、云絮状改变。右肺可见散在类圆形影,以外带多见。左肺实变,其内可见明显支气管走行影。纵隔淋巴结有增大,左侧胸腔积液。考虑1、肺结核;2、肺癌肺转移不除外;3、左侧胸腔积液。
作者: 黄国华    时间: 2007-3-25 17:01
1、肺结核。2、肺转移瘤?
作者: 悬壶济世    时间: 2007-3-25 17:15
肺泡癌可能,两肺以结节及实变为主。
作者: 裴德医生    时间: 2007-3-25 20:32
考虑双肺结核、左侧胸腔积液,肺泡癌不能排除
作者: jinguoji    时间: 2007-4-2 18:11
考虑双肺结核,左侧胸腔积液,肺泡癌不能排除.




欢迎光临 医影在线 (http://bbs.radida.com/bbs/) Powered by Discuz! X3.2