医影在线
标题: X1772:股骨颈骨折,请大家会诊! [打印本页]
作者: miaoweiguo 时间: 2007-3-17 04:38
标题: X1772:股骨颈骨折,请大家会诊!
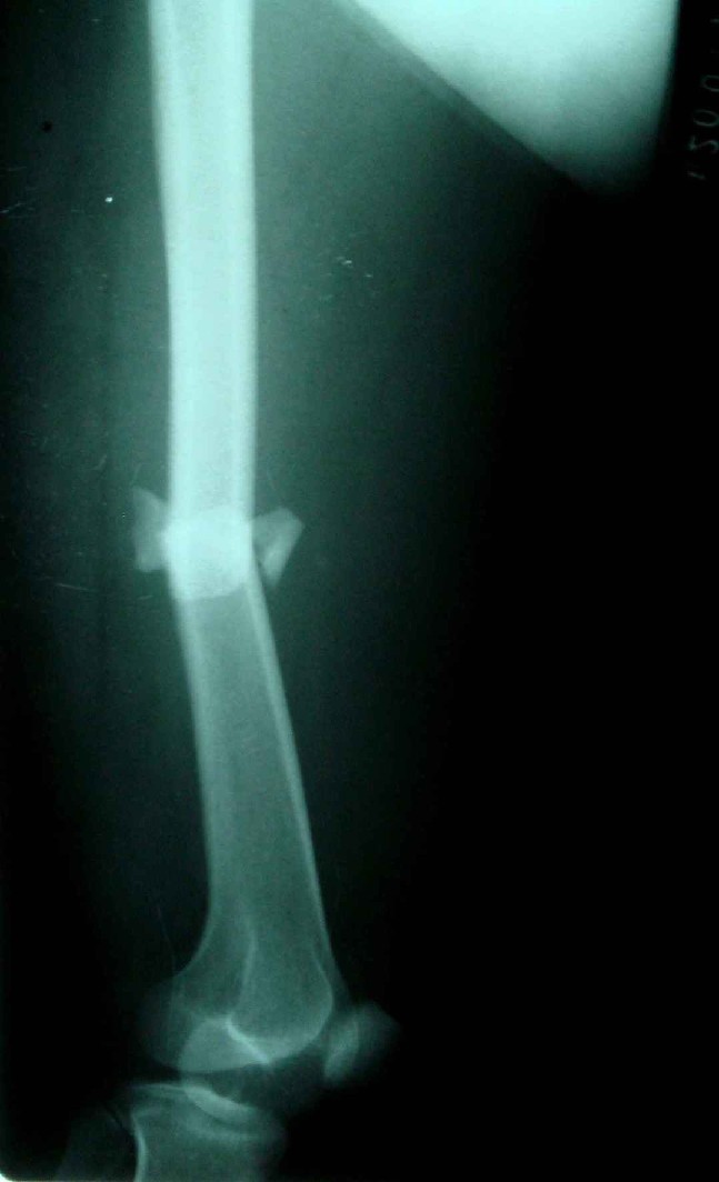
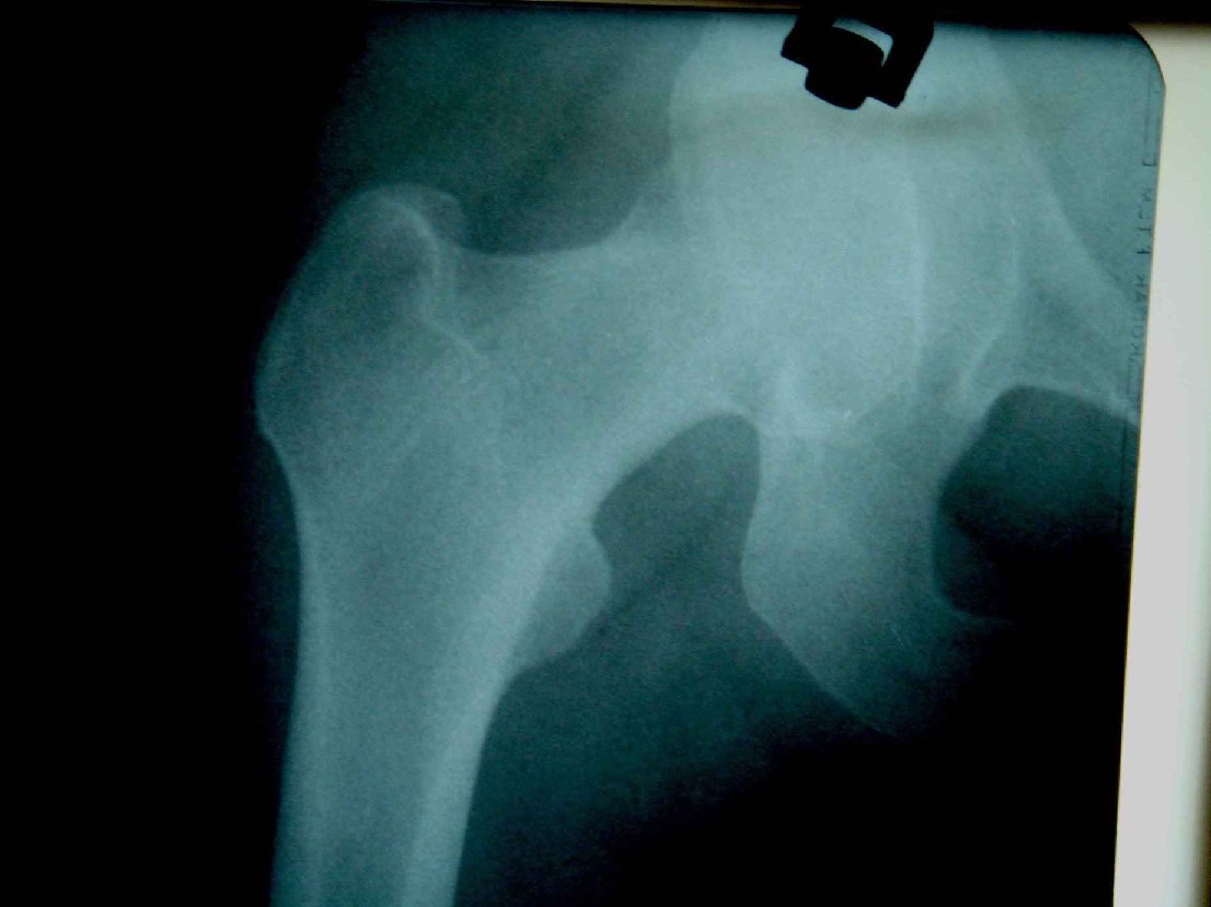
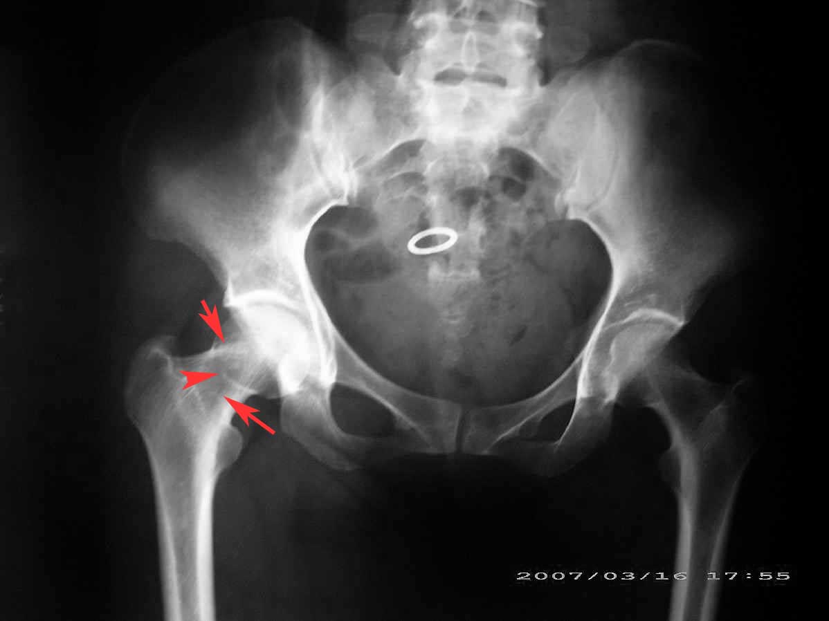
患者,女,因外伤就诊。摄骨盆及右股骨。当时报告骨盆未见明显异常,右股骨中段粉碎性骨折。五天后行股骨中段骨折内固定手术,术中摄床边片示股骨颈骨折。现把术前和术中图像上传。请大家高诊,分析股骨颈骨折是术前漏诊还是其他原因。术前骨盆片右股骨颈显示欠佳是由于股骨中段骨折无法将股骨颈完全显示。





请大家高诊。
谢谢大家热心帮助。
这里还有几张该患者的几张x 光片。
[本贴已被 jiajie 于 2007-3-16 20:45:33 修改过]










现在我向大家请教,股骨中段粉碎性骨折的同时股骨颈也会骨折吗,另外如图所示该患者股骨颈骨折线是我们常见的由外伤引起的骨折线吗。
再次谢谢大家的热情支持。
[本贴已被 miaoweiguo 于 2007-3-18 12:28:36 修改过]
[本贴已被 miaoweiguo 于 2007-3-18 17:45:55 修改过]
[本贴已被 miaoweiguo 于 2007-3-18 17:48:25 修改过]
作者: 余辉 时间: 2007-3-17 04:53
术前片示右股骨颈未见明显骨折征象。如果事先有骨折,由于投照位置原因,骨折线也是完全有可能被挡住重叠而看不见的(并且本例骨折对位良好,更有可能看不到)。所以要凭此判断述前是否有骨折不容易
作者: whp 时间: 2007-3-17 05:00
术前骨折
作者: 99重阳 时间: 2007-3-17 05:22
从上传的照片来看,术前无法诊断骨折。可能是投照角度的问题。
作者: sunnydxx2000 时间: 2007-3-17 05:23
由于术前下段骨折 股骨颈显示不完全所致 很正常啊
作者: jinning 时间: 2007-3-17 05:26
术前股骨颈未见骨折
作者: 天南地北 时间: 2007-3-17 05:35
术前片示右股骨颈未见明显骨折征象。如果事先有骨折,由于投照位置原因,骨折线也是完全有可能被挡住重叠而看不见的(并且本例骨折对位良好,更有可能看不到)。所以要凭此判断述前是否有骨折不容易
作者: 石光 时间: 2007-3-17 06:18
当然可能由于术前骨折对位对线良好,有可能观察不到骨折线,有的裂纹骨折平片当时是看不见骨折线的,7天左右才可能由于骨折线水肿&活动等原因从而显示出骨折线;还有投照位置的原因。术前未看见骨折线也属正常现象。
作者: ayi 时间: 2007-3-17 06:54
考虑术前骨折(由于投照位置原因,骨折线有可能被挡住重叠而看不见的或骨折处未有移位可能看不到)。术后由于外力作用骨折线增宽而清楚显示)。
作者: 眼睛 时间: 2007-3-17 16:06
当然可能由于术前骨折对位对线良好,有可能观察不到骨折线,有的裂纹骨折平片当时是看不见骨折线的,7天左右才可能由于骨折线水肿&活动等原因从而显示出骨折线;还有投照位置的原因。术前未看见骨折线也属正常现象 支持!
如果是我也会漏的!以后注意!那么有什么办法能不漏诊呢?
作者: dyqct 时间: 2007-3-17 18:27
标题: 重叠?
重叠?


[本贴已被 dyqct 于 2007-3-17 10:30:31 修改过]
作者: 念羊经 时间: 2007-3-17 20:09
的,7天左右才可能由于骨折线水肿&活动等原因从而显示出骨折线;还有投照位置的原因。术前未看见骨折线也属正常现象 支持!
作者: 曼一拍 时间: 2007-3-17 23:15
理论推测肯定是术前骨折。
并不能因为术后平片未见明显骨折就推翻是术前骨折。只是手术过程中加重了。
要说责任嘛我想影像科只能以片论片,还是临床的责任。
作者: zhangxiangjun 时间: 2007-3-18 02:02
有的裂纹骨折平片当时是看不见骨折线的,7天左右才可能由于骨折线水肿&活动等原因从而显示出骨折线;还有投照位置的原因。术前未看见骨折线也属正常现象。支持!
作者: wnq 时间: 2007-3-18 03:35
术前由于位置原因使股骨颈未全部显示,骨折线与股骨头重叠,骨折也可以使股骨颈缩短
作者: zhouyajun2007 时间: 2007-3-18 03:49
可能投照时双足没对好吧
作者: 123zhangming 时间: 2007-3-18 04:03
术前片未见明显骨折
任何骨折都有压痛点我们投照前一定要自己动手检查一遍
不知道还有什么方法能不漏诊请大家赐教
作者: mrdudashu 时间: 2007-3-18 04:15
标题: 可疑骨折时,需多体位投照
回头看术前片,可见一低密透光区.
学习了!!今后工作中一定要留意!!

[本贴已被 mrdudashu 于 2007-3-17 20:29:08 修改过]
作者: shiqingfa 时间: 2007-3-18 05:11
标题: 回复:x1772:股骨颈骨折,请大家会诊!
以下是引用zhangxiangjun在2007-3-17 18:02:00的发言:[br]有的裂纹骨折平片当时是看不见骨折线的,7天左右才可能由于骨折线水肿&活动等原因从而显示出骨折线;还有投照位置的原因。术前未看见骨折线也属正常现象。支持!
作者: jiangjing 时间: 2007-3-18 05:28
当然可能由于术前骨折对位对线良好,有可能观察不到骨折线,有的裂纹骨折平片当时是看不见骨折线的,7天左右才可能由于骨折线水肿&活动等原因从而显示出骨折线;还有投照位置的原因。术前未看见骨折线也属正常现象 支持!
如果是我也会漏的!以后注意!那么有什么办法能不漏诊呢
作者: elity69 时间: 2007-3-18 19:54
考虑术前骨折(由于投照位置原因,骨折线有可能被挡住重叠而看不见的或骨折处未有移位可能看不到)。术后由于外力作用骨折线增宽而清楚显示)。
作者: jinguoji 时间: 2007-3-19 22:17
从上传的照片来看,术前无法诊断骨折.
作者: 小晟晟 时间: 2007-3-20 01:38
术前所照的片子体位好象有点不标准,右侧股骨颈显示不是很好,没有完全展开,所以不好说术前就一定没有骨折的情况.
作者: zhaoxj493041863 时间: 2007-3-20 04:22
术前骨折,没有显示清晰,
作者: 曾感屏 时间: 2007-3-20 05:34
当然可能由于术前骨折对位对线良好,有可能观察不到骨折线,
有的裂纹骨折平片当时是看不见骨折线的,7天左右才可能
显示出骨折线;还有投照位置的原因。术前未看见骨折线也属正常现象 支持!
如果是我也会漏的!以后注意!有什么办法能不漏诊呢?
作者: 风随意 时间: 2007-3-20 14:32
楼主给我们大家提供了非常好的片子,感谢!该片股骨颈的骨折术前看不到骨折。这个和体位也有关,但是我们都知道,那些标准的体位是给健康人设计的,外伤比较重的往往都无法标准投照。不知道同行们有没有这样一种感受:发现明显的问题了,就心里比较踏实了,舒坦了,就不容易对其它细节仔细观察了。如果没有发现明显的问题,就仔细的翻来覆去的看。所以这个片子给我们很大的教训:仔细阅片!即便是已经发现问题了。如果非要给鸡蛋里面挑骨头,我认为楼主忽略了右髋关节囊的肿胀,诊断报告应该提一下。外伤的病人我最怕股骨颈的漏诊,一般我都要看软组织。我是一个小医院的,我深有感触,发现骨折不是功劳,而漏诊却是事故,还遭受别人耻笑:放射科的连骨头断没断都看不出来!
作者: 风随意 时间: 2007-3-20 14:43
关于楼主说的骨折线的形态,的确和一般外伤的有种不太一样的感觉,上方裂隙较明显,下方骨皮质“连续”,我认为成年人应该是全部断了的,不全骨折的可能性非常非常小,该片恰好无法全部显示骨折线。骨折线的形态不能判定术前还是术后骨折。以上只是个人小小看法,请各位老师指正为谢!
作者: 黄恩辉 时间: 2007-3-21 01:06
术前片示右股骨颈未见明显骨折征象
作者: shibing 时间: 2013-1-25 17:50
楼主给我们大家提供了非常好的片子,感谢!该片股骨颈的骨折术前看不到骨折。这个和体位也有关,但是我们都知道,那些标准的体位是给健康人设计的,外伤比较重的往往都无法标准投照。不知道同行们有没有这样一种感受:发现明显的问题了,就心里比较踏实了,舒坦了,就不容易对其它细节仔细观察了。如果没有发现明显的问题,就仔细的翻来覆去的看。所以这个片子给我们很大的教训:仔细阅片!即便是已经发现问题了。如果非要给鸡蛋里面挑骨头,我认为楼主忽略了右髋关节囊的肿胀,诊断报告应该提一下。外伤的病人我最怕股骨颈的漏诊,一般我都要看软组织。我是一个小医院的,我深有感触,发现骨折不是功劳,而漏诊却是事故,还遭受别人耻笑:放射科的连骨头断没断都看不出来!
| 欢迎光临 医影在线 (http://bbs.radida.com/bbs/) |
Powered by Discuz! X3.2 |