医影在线

标题: CT7174:两肺弥漫性病变,请讨论 [打印本页]

作者: 韦伟    时间: 2007-3-17 05:27
标题: CT7174:两肺弥漫性病变,请讨论
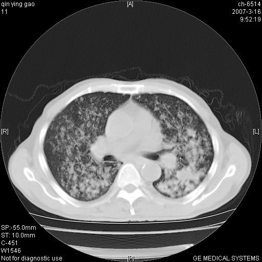
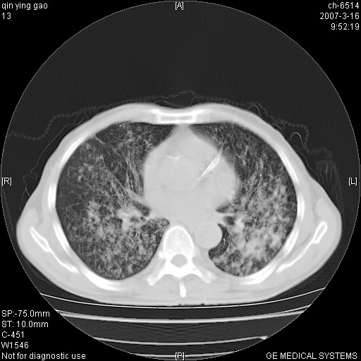
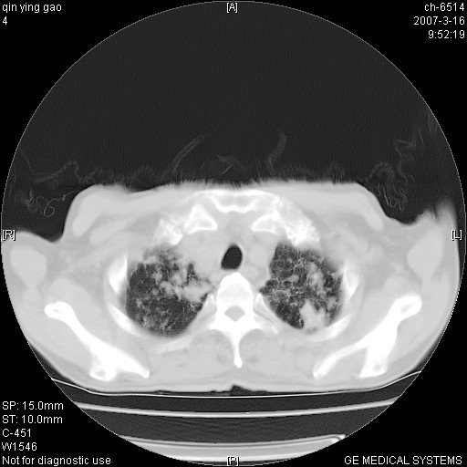
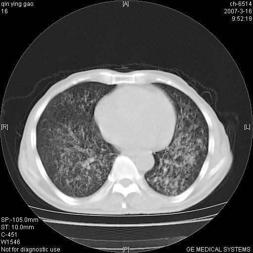
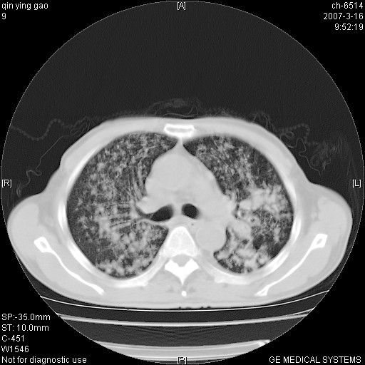
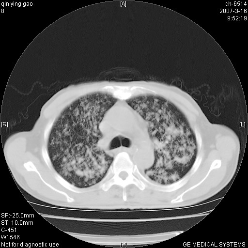
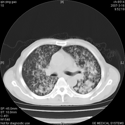
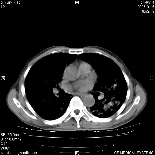
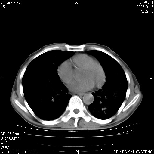
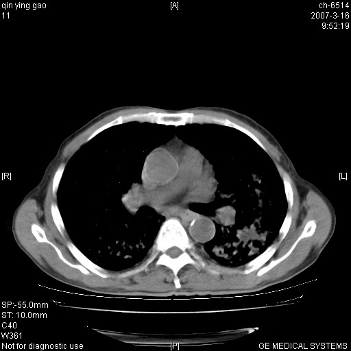
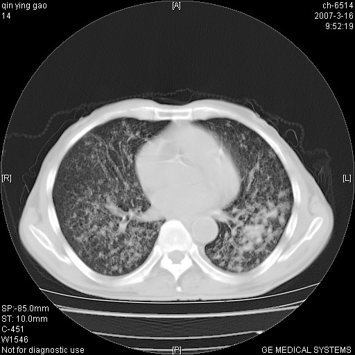
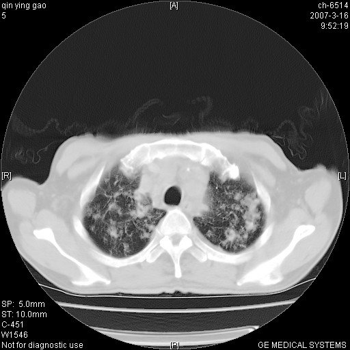
男,64岁.乏力2个月,畏寒、发热1月余。体重下降。血沉加快,白细胞不高。

































[本贴已被 翁志蓬 于 2007-3-16 22:23:07 修改过]

作者: qian    时间: 2007-3-17 05:33
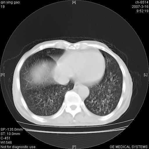
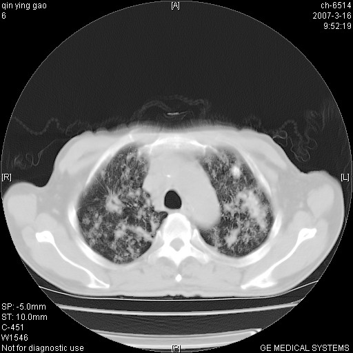
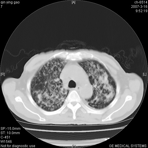
两中上肺见有广泛新老不一的结节灶,并伴有纤维索条影,血沉加快,白细胞不高,首先考虑结核。
作者: zwx    时间: 2007-3-17 05:47
双肺弥漫性病变,首先考虑细支气管肺胞癌,结核待排,建议进一步查痰或做一些相关的检查
作者: fox952    时间: 2007-3-17 05:48
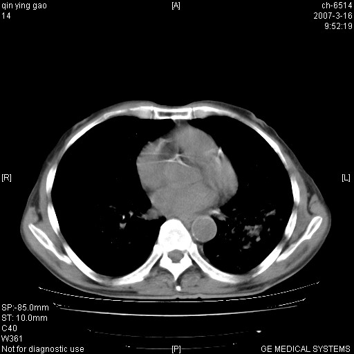
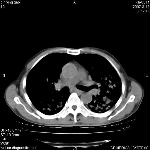
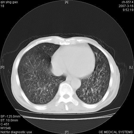
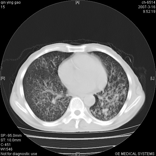
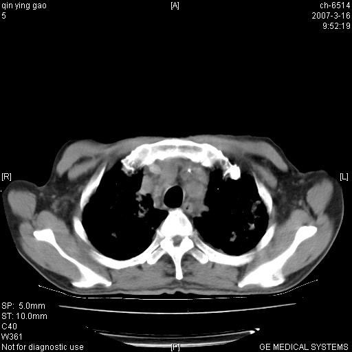
双肺以中上肺野为著斑片状.结节壮密度增高影 左上肺前段可见小类圆钙化灶 纵隔淋巴结无明显肿大
1.肺结核
2.支气管肺泡癌待排
3.主动脉弓.冠状动脉钙化形成
建议进一步检查
作者: 如醉卧风    时间: 2007-3-17 05:50
细支气管肺泡癌纵隔转移.
作者: 天南地北    时间: 2007-3-17 05:51
考虑特殊感染--霉菌?
病人有没有糖尿病??楼主有没有更详细的病史?
作者: 石光    时间: 2007-3-17 06:23
同意以上同行的分析
作者: 郭凯    时间: 2007-3-17 06:27
考虑细支气管肺泡癌
作者: zjzjr    时间: 2007-3-17 06:38
双肺可见大小不等结节状密度增高影,密度不均,分布不均(双肺上叶为著),亚急性血行播散性肺结核.
作者: wmsyy    时间: 2007-3-17 06:49
支持楼上的诊断
作者: jiangjing    时间: 2007-3-17 08:21
考虑 感染,特殊感染可能性大[结核或真菌]  。肿瘤可能性小
作者: ayi    时间: 2007-3-17 08:31
双肺以中上肺野为著斑片状.结节壮密度增高影,纵隔淋巴结无明显肿大。考虑:
1、肺结核。
2、主动脉、冠状动脉硬化。
作者: wqs_120    时间: 2007-3-17 08:50
考虑肺泡癌
作者: jw-830    时间: 2007-3-17 15:45
双肺弥漫性病变,考虑双肺转移瘤可能,建议进一步检查
作者: hhcckk    时间: 2007-3-17 16:10
标题: 回复:ct7174:两肺弥漫性病变,请讨论

作者: jinning    时间: 2007-3-17 16:58
考虑1:慢性血型播散型肺结核;2:肺泡癌待排
作者: 卜一    时间: 2007-3-17 17:24
考虑 感染,特殊感染可能性大[结核或真菌]  。肿瘤可能性小。支持!
(本例特征:以大小不等结节为主,主要分布在双上肺,并部分病灶融合成较大结节,期间搀杂诸多细小结节。从病灶特点与分布形式分析,更趋向于感染。)
作者: haha215315    时间: 2007-3-17 17:40
双肺以中上肺野为著斑片状.结节壮密度增高影 左上肺前段可见小类圆钙化灶 纵隔淋巴结无明显肿大1.肺结核2.支气管肺泡癌待排
作者: anbo5502    时间: 2007-3-17 17:56
男,64岁.乏力2个月,畏寒、发热1月余。体重下降。血沉加快,白细胞不高。 双肺可见大小不等结节状密度增高影,密度不均,分布不均(双肺上叶为著),亚急性血行播散性肺结核.
作者: lxt1219    时间: 2007-3-17 18:36
以双肺上叶为主的弥漫型斑片状密度增高影,边界欠清晰,其中伴有钙化灶,病人有发热史,首先考虑感染性病变:1特殊类型感染,2结核。建议治疗后随诊复查,除外肺泡癌
作者: dyqct    时间: 2007-3-17 18:42
标题: 回复:ct7174:两肺弥漫性病变,请讨论
以下是引用zjzjr在2007-3-16 22:38:00的发言:[br]双肺可见大小不等结节状密度增高影,密度不均,分布不均(双肺上叶为著),亚急性血行播散性肺结核.

支持!需除外霉菌感染。
作者: mmg94    时间: 2007-3-17 19:22
考虑结核可能性大,因为病变是沿肺纹理走行发展的。
作者: 同    时间: 2007-3-17 20:59
标题: 回复:ct7174:两肺弥漫性病变,请讨论
以下是引用jiangjing在2007-3-17 0:21:00的发言:[br]考虑 感染,特殊感染可能性大[结核或真菌]  。肿瘤可能性小

作者: 宝天曼    时间: 2007-3-17 21:46
考虑:慢性血型播散型肺结核可能性大;
作者: qc80012345    时间: 2007-3-17 21:46
亚急型肺结核,其特点是三不均。支持结核的诊断,查一下用药情况;排除霉菌性感染的可能性。
作者: duguo    时间: 2007-3-17 21:56
腺癌转移.淀粉样变.
作者: 一棵树    时间: 2007-3-17 22:38
考虑血行播散型肺结核,不除外细支气管肺泡癌。
作者: 国窖1573    时间: 2007-3-17 23:28
考虑1 肥结核  2  肺泡癌不除外
作者: zhanghua2086    时间: 2007-3-17 23:35
我觉得应该是结核,支气管肺泡癌多以双肺中下野多见,结核上野多见
作者: czdingwei    时间: 2007-3-17 23:45
矽肺应首先考虑但要问一下病史.另外肺泡癌不除外.
作者: w_jianhua    时间: 2007-3-18 00:43
两肺弥漫分布的斑片状影,部分融合,左肺及纵隔淋巴结见钙化影,考虑1。tb,2。肺泡细胞癌,建议查痰检
作者: YXR97    时间: 2007-3-18 00:58
病变主要集中中上肺,考虑1、结核?2、霉菌感染?建议完善相关检查!
作者: 一片云    时间: 2007-3-18 01:59
两肺弥漫分布的斑片状影,部分融合,主要集中中上肺.考虑1、结核?2、非特异性炎症
作者: 拾荒者    时间: 2007-3-18 03:07
两中上肺见有广泛分布大小不一的结节灶及斑片状影,部分融合,双下肺未见异常密度影,纵隔无明显肿大淋巴结,血沉加快,白细胞不高,首先考虑结核。 建议结合ppd检查或痰培养排除其他非特异性炎症。
作者: 黑金    时间: 2007-3-18 03:14
结核可能性大
作者: qiuleiyu    时间: 2007-3-18 04:09
病变四不象,多考虑肺真菌感染。查痰或两性霉素试治。
作者: 123zhangming    时间: 2007-3-18 05:27
1.肺结核
2.支气管肺泡癌待排
作者: jiangrishing    时间: 2007-3-18 05:49
中上肺野密布棉团状影,以胸膜下区为界,边缘模糊,可能是小叶或腺泡渗出及实变。全肺野弥漫分布网线样影及细小粟粒样影,可能是细支气管炎及间质内炎症。综合分析应首先考虑气道播散性感染,而肺内多处斑点性钙化,强烈提示陈旧结核复发并支气管播散。建议详细讯问病史
作者: 裴德医生    时间: 2007-3-18 17:31
病变以两肺上野为著,部分病灶有钙化,纵隔窗显示病灶有新老不一,这个首先和结核脱不了干系,还有部分病灶有融洽的倾向,肿瘤也不能完全排出
作者: wqs571018    时间: 2007-3-18 17:39
1.亚急性血行播散性肺结核.2.霉菌感染;
作者: ly09chenhao    时间: 2007-3-28 23:05
支持亚急性血行播散性肺结核的诊断
作者: ZHANGZHONGSHOU    时间: 2007-3-28 23:30
细支气管肺泡癌不支持,结核不符合,可能为霉菌感染或特殊菌感染
作者: adaxupu    时间: 2007-3-29 03:01
两肺弥漫性病变  病灶分布不均匀
   部分密度增高 有融合
   考虑:
     1.亚急性血行播散性肺结核
     2.  看看有没有粉尘接触史
作者: swyyy2007    时间: 2007-3-29 04:10
肺可见大小不等结节状密度增高影,密度不均,分布不均(双肺上叶为著),亚急性血行播散性肺结核.  
  
不除外细支气管肺泡癌
作者: jinguoji    时间: 2007-4-2 10:26
1.肺结核
2.支气管肺泡癌待排




欢迎光临 医影在线 (http://bbs.radida.com/bbs/) Powered by Discuz! X3.2