医影在线
标题: CT7208:[推荐]胸CT 发热一月,咯痰胸闷气短. [打印本页]
作者: liuzheng_9326 时间: 2007-3-19 19:16
标题: CT7208:[推荐]胸CT 发热一月,咯痰胸闷气短.
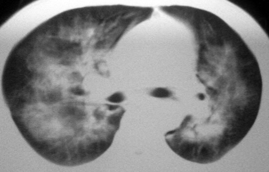
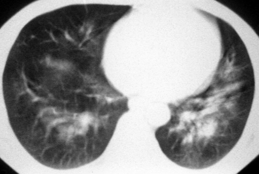
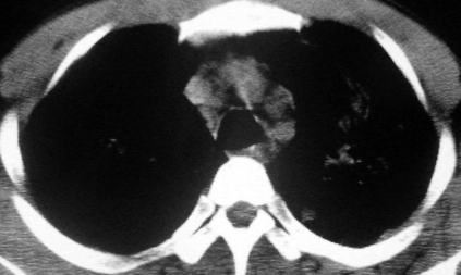
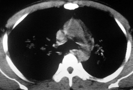
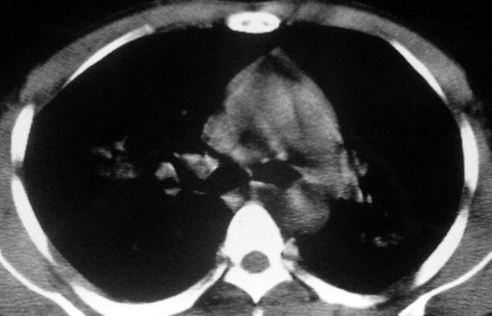
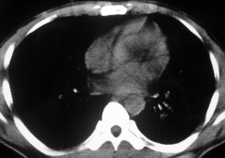
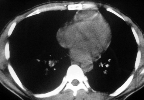
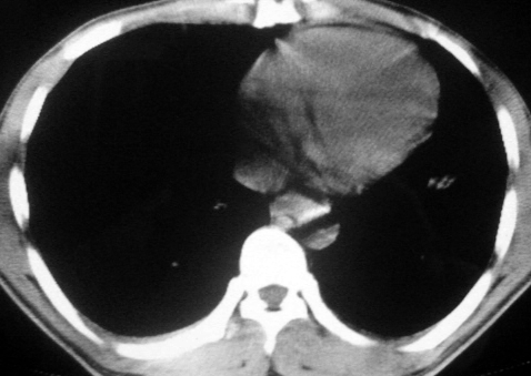
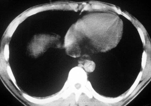
男,36岁,一月前醉酒淋雨后发热咳嗽,气短进行性加重.
抗生素治疗无效,痰检(一).
影像诊断:结核? 还有其他考虑吗?
参照http://www.sdhct.com.cn/radinet/read.php?tid=22509结果
































[本贴已被 jiajie 于 2007-3-19 18:34:07 修改过]
[本贴已被 liuzheng_9326 于 2007-3-26 15:04:47 修改过]
作者: 天南地北 时间: 2007-3-19 19:43
不支持结核
还是考虑感染可能性大
建议做抗生素敏感试验。
作者: jinning 时间: 2007-3-19 20:06
考虑结核并感染
作者: 医博云天 时间: 2007-3-19 20:26
感染,抗病毒试试?
作者: jone-baby 时间: 2007-3-19 22:00
还是考虑感染可能性大
作者: haha215315 时间: 2007-3-19 22:03
不支持结核。还是细菌感染。病毒性肺炎不排除。
作者: dyqct 时间: 2007-3-19 22:33
双肺内中部见略不对称性蝶翼状高密度区,边界不清,部分呈磨玻璃样密度,并可见含气支气管征。肺门、纵隔内未见肿大淋巴结影。无胸腔积液。
考虑:1、肺炎,建议进一步查冷凝集试验除外支原体肺炎;
2、不除外霉菌感染。
作者: 忧郁王子 时间: 2007-3-19 23:04
支持结核。
作者: 国窖1573 时间: 2007-3-19 23:07
考虑感染
作者: yangzongshan 时间: 2007-3-19 23:22
肺炎(药敏/痰检)
作者: guzhongliangddd 时间: 2007-3-19 23:31
标题: 回复:[推荐]胸ct 发热一月,咯痰胸闷气短.
以下是引用dyqct在2007-3-19 14:33:00的发言:[br]双肺内中部见略不对称性蝶翼状高密度区,边界不清,部分呈磨玻璃样密度,并可见含气支气管征。肺门、纵隔内未见肿大淋巴结影。无胸腔积液。[br]考虑:、肺炎,建议进一步查冷凝集试验除外支原体肺炎;[br]
由于机体抵抗力减低所致
作者: w_jianhua 时间: 2007-3-19 23:58
支持炎症,建议做药敏试验
作者: heidaoren 时间: 2007-3-20 00:12
支持炎症
作者: cy8888 时间: 2007-3-20 00:49
肺水肿
作者: zyx168 时间: 2007-3-20 00:51
支持炎症
作者: 石光 时间: 2007-3-20 01:00
标题: 回复:[推荐]胸ct 发热一月,咯痰胸闷气短.
以下是引用dyqct在2007-3-19 14:33:00的发言:[br]双肺内中部见略不对称性蝶翼状高密度区,边界不清,部分呈磨玻璃样密度,并可见含气支气管征。肺门、纵隔内未见肿大淋巴结影。无胸腔积液。[br]考虑:1、肺炎,建议进一步查冷凝集试验除外支原体肺炎;[br] 2、不除外霉菌感染。
作者: sunjianting 时间: 2007-3-20 01:05
双肺炎性病灶.不除外霉菌及病毒感染
作者: zjzjr 时间: 2007-3-20 01:13
双肺炎性病灶.不除外霉菌及病毒感染
作者: 老爱克斯 时间: 2007-3-20 01:43
双肺斑片状密度均匀病灶,边界模糊可见充气支气管征,上野多于下野,不支持结核,1肺内感染,2查肾功,中心型肺水肿待除外.
作者: yanliang 时间: 2007-3-20 01:51
支持肺炎诊断,建议痰培养做药敏试验。
作者: 宝天曼 时间: 2007-3-20 02:18
单从影象学表现考虑肺水肿
作者: longzhanghui 时间: 2007-3-20 02:34
同意肺炎诊断,至于病因,几乎可以除外结核,可以考虑病毒性、细菌性、霉菌性。
作者: 1983 时间: 2007-3-20 02:54
虑感染可能性大
建议做抗生素敏感试验
作者: 玉真 时间: 2007-3-20 03:08
支持7 楼
作者: zydct 时间: 2007-3-20 03:25
影象学表现考虑肺水肿,
作者: 李晓阳 时间: 2007-3-20 03:31
炎症,霉菌感染?艾滋病?请查心脏除外肺淤血
作者: yytbzjw 时间: 2007-3-20 03:34
过敏性肺炎
作者: yuhg 时间: 2007-3-20 03:43
建议活检,以除外肺癌
作者: zhangyuanmr 时间: 2007-3-20 03:49
考虑感染,建议做药敏
作者: shuangjidao111 时间: 2007-3-20 04:03
请问痰是什么颜色,性状,成形吗
作者: shuangjidao111 时间: 2007-3-20 04:11
高热还是低热?
作者: 同 时间: 2007-3-20 04:14
双肺炎性病灶,不除外霉毒及病毒感染。
作者: 王守平 时间: 2007-3-20 04:51
符合肺水肿表现,请临床进一步检查。
作者: 顺心 时间: 2007-3-20 05:05
肺炎(药敏/痰检
作者: 拾荒者 时间: 2007-3-20 05:24
双肺中上野对称分布蝶翼样不均匀密度增高影,有支气管充气征,纵隔未见肿大淋巴结,发病突然,抗炎治疗无效,还是要考虑结核。
作者: ☆步惊云 时间: 2007-3-20 07:02
还是支持tb并感染!
作者: 吴克权 时间: 2007-3-20 07:07
还是考虑肺水肿!蝶翼征.肺门增大,肺血管影增粗,!!病变累及中内带为主!要排外支原体感染.
作者: ruthan 时间: 2007-3-20 08:59
像革兰氏阳性球菌的重症感染.明确病原不能光靠痰培养,还建议尽早做肺穿培养.请发贴者有病原学结果尽快上传,大家共同学习提高!
作者: 余辉 时间: 2007-3-20 17:35
还是考虑感染可能性大
作者: 晓杰 时间: 2007-3-20 18:20
支持: 双肺内中部见略不对称性蝶翼状高密度区,边界不清,部分呈磨玻璃样密度,并可见含气支气管征。肺门、纵隔内未见肿大淋巴结影。无胸腔积液。
考虑:1、肺炎,建议进一步查冷凝集试验除外支原体肺炎;
2、不除外霉菌感染。
作者: jw-830 时间: 2007-3-20 21:32
考虑感染
作者: liuzheng_9326 时间: 2007-3-26 22:56
结果已另传,注意!
作者: dglq 时间: 2007-3-26 23:11
感染性病变,不支持tb,也不象普通细菌感染,霉菌,支原体感染可能性大.
作者: jinguoji 时间: 2007-4-2 17:01
考虑感染可能性大.
| 欢迎光临 医影在线 (http://bbs.radida.com/bbs/) |
Powered by Discuz! X3.2 |