医影在线
标题: CT7232:男,70岁,左侧肢体活动障碍口角向右侧歪斜2天 [打印本页]
作者: bagtf 时间: 2007-3-21 02:15
标题: CT7232:男,70岁,左侧肢体活动障碍口角向右侧歪斜2天
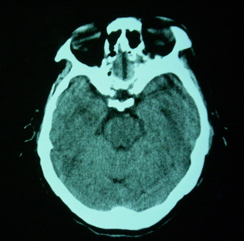
男,70岁,左侧肢体活动障碍口角向右侧歪斜2天,有高bp病史
pe:神情,能与之正常交流,吐字不清,180/90mmhg,双瞳孔无异常,左侧肢体肌力1级 b(+)
图中有个同心圆壮低密度影是ct伪影,见笑了。









自己用相机拍的质量较差,望前辈们见谅!
[本贴已被 jiajie 于 2007-3-20 19:59:59 修改过]
作者: zjzjr 时间: 2007-3-21 02:23
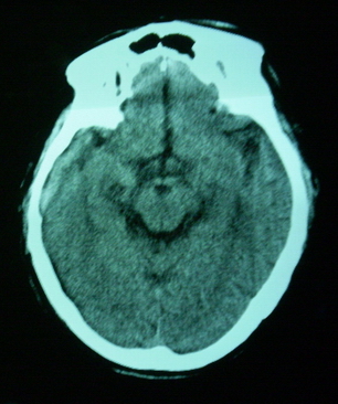
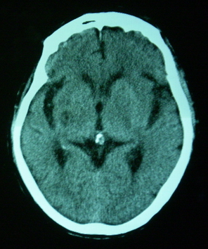
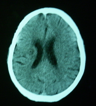
1、右侧基底区及外囊区腔隙性脑梗塞。2、脑萎缩。
作者: swyyy2007 时间: 2007-3-21 02:26
同意楼上
作者: shiqingfa 时间: 2007-3-21 02:41
右基底节内囊前支区腔隙性脑梗塞,脑萎缩
作者: zhanghua2086 时间: 2007-3-21 02:43
腔梗
作者: qiuleiyu 时间: 2007-3-21 02:45
支持右侧基底节区脑梗塞。
作者: wqs571018 时间: 2007-3-21 02:51
右侧基底区及外囊区腔隙性脑梗塞
作者: bagtf 时间: 2007-3-21 03:04
基底区低密度影中含有伪影
作者: ZHANGZHONGSHOU 时间: 2007-3-21 03:19
右基底节区脑强隙 右基底节区低密度影密度太低 边界清 不会是2天的梗赛灶
2天左右的腔隙性脑梗死ct多难以发现 何况你的机器又差 很难显示 即使显示密度应该略低影
边缘模糊
作者: jone-baby 时间: 2007-3-21 03:19
标题: [原创]
支持腔梗。
[本贴已被 jone-baby 于 2007-3-20 19:20:08 修改过]
作者: dyqct 时间: 2007-3-21 03:31
标题: 回复:男,70岁,左侧肢体活动障碍口角向右侧歪斜2天
以下是引用zjzjr在2007-3-20 18:23:00的发言:[br]1、右侧基底区及外囊区腔隙性脑梗塞。2、脑萎缩。
支持!!
作者: 余辉 时间: 2007-3-21 03:44
支持腔梗。左内囊后肢亦有病灶
作者: 13081830109 时间: 2007-3-21 03:59
脑梗塞是肯定的 你图象里的伪影建议你 空校后看看 如没有再次开机又有就查das和滤线器
作者: 王守平 时间: 2007-3-21 04:05
支持腔梗、脑萎缩
作者: jinguoji 时间: 2007-3-21 04:23
支持:1、右侧基底区及外囊区腔隙性脑梗塞。2、脑萎缩。
作者: jw-830 时间: 2007-3-21 04:58
右侧基底节区腔隙性梗塞
作者: 同 时间: 2007-3-21 05:13
典型腔梗
作者: 国窖1573 时间: 2007-3-21 05:21
支持楼上意见
作者: qc80012345 时间: 2007-3-21 05:24
支持腔梗
作者: 阿宽 时间: 2007-3-21 05:25
右侧基底节区腔隙性梗塞。
作者: 袁张锋 时间: 2007-3-21 05:31
支持腔梗、脑萎缩
作者: 天南地北 时间: 2007-3-21 05:32
支持腔梗
作者: jinning 时间: 2007-3-21 07:31
支持
作者: 拾荒者 时间: 2007-3-22 04:54
支持右侧基底节区腔梗。
作者: dongzhi--ct 时间: 2007-3-23 19:30
支持腔梗、脑萎缩 你图象里的伪影建议你 空校后看看 如没有再次开机又有就查das和滤线器
| 欢迎光临 医影在线 (http://bbs.radida.com/bbs/) |
Powered by Discuz! X3.2 |