医影在线

标题: CT7246: F,30岁,下腰痛,同事的片子,请老师们看看,初 [打印本页]

作者: pjnjyy    时间: 2007-3-21 20:21
标题: CT7246: F,30岁,下腰痛,同事的片子,请老师们看看,初
























[本贴已被 jiajie 于 2007-3-21 17:11:35 修改过]

作者: 天南地北    时间: 2007-3-21 20:32
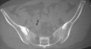
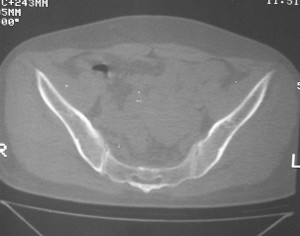
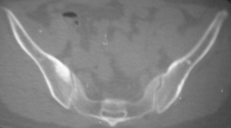
典型的致密性髂骨炎
作者: jinning    时间: 2007-3-21 20:38
支持楼上
作者: zjzjr    时间: 2007-3-21 21:03
典型的双侧骶髂关节致密性骨炎.
作者: 晓杰    时间: 2007-3-21 21:14
典型的双侧骶髂关节致密性骨炎.
作者: zyx168    时间: 2007-3-21 21:46
典型的致密性髂骨炎
作者: 文莱    时间: 2007-3-21 22:11
髂骨致密性骨炎
作者: dyqct    时间: 2007-3-21 22:13
典型的双侧髂骨致密性髂骨炎。
作者: leesen    时间: 2007-3-21 22:46
支持髂骨炎!!比较典型。
作者: PING2    时间: 2007-3-21 23:34
致密性骨炎。
作者: 余辉    时间: 2007-3-21 23:38
一至,相当支持致密性骨炎
作者: hql1975    时间: 2007-3-22 00:35
支持致密性骨炎
作者: sdw662    时间: 2007-3-22 00:40
支持髂骨炎,比较典型。
作者: 捉水    时间: 2007-3-22 00:55
支持,致密性骨炎。经产妇占绝大多数,站立工作人员发病较高!
致密的骨质可以逐渐消失而趋于正常!
作者: wangzhanshuang    时间: 2007-3-22 02:25
典型的双侧骶髂关节致密性骨炎
作者: 阿宽    时间: 2007-3-22 02:28
两侧骶髂关节致密性骨炎。
作者: 长白山    时间: 2007-3-22 03:02
窒密性髂骨炎
作者: wnq    时间: 2007-3-22 03:13
双侧骶髂关节致密性骨炎
作者: jian-5587    时间: 2007-3-22 03:43
双侧致密性骨炎。
作者: jone-baby    时间: 2007-3-22 04:44
典型的双侧髂骨致密性髂骨炎。
作者: xb    时间: 2007-3-22 05:21
致密性骨炎
作者: 同    时间: 2007-3-22 05:28
典型的双侧骶髂关节致密性骨炎。
作者: jinguoji    时间: 2007-3-22 05:42
典型的双侧髂骨致密性髂骨炎。
作者: 宝天曼    时间: 2007-3-22 05:44
典型的双侧骶髂关节致密性骨炎.
作者: qnandy    时间: 2007-3-22 06:06
典型致密性髂骨炎
作者: hhcckk    时间: 2007-3-22 17:37
大家的意见一致,我也支持
致密性骨炎,好发于骶髂关节的髂骨侧的耳状面(少见部位有骶骨,耻骨联合,甚至锁骨也有报道),好发于育龄期的妇女,多对称发病
作者: 狙击手    时间: 2007-3-22 18:06
典型的双侧髂骨致密性髂骨炎
作者: wqs571018    时间: 2007-3-23 00:45
双侧髂骨致密性髂骨炎。
作者: 拾荒者    时间: 2007-3-23 04:22
典型的髂骨致密性骨炎。
    何谓髂骨致密性骨炎?髂骨致密性骨炎是发生于髂骨耳状关节部分的骨质密度增高性疾病。病因迄今不明,可能与妊娠、机械性劳损、病灶性炎症有关。本病好发于20~35岁的育龄妇女,偶见男性。

髂骨致密性骨炎的临床表现与体征:腰骶部疼痛,多呈慢性、间歇性酸痛、隐痛,可向一侧或双侧臀部及大腿后侧扩散,但不沿坐骨神经方向放射,步行、站立、负重及劳累后加重,咳嗽、打喷嚏不能使疼痛明显加重,休息后症状减轻。患者腰骶角加大,局部有压痛和肌紧张,骨盆分离和挤压试验阳性,“4”字试验阳性,化验检查多在正常范围内。x线检查,骶髂关节间隙整齐清晰,靠近骶髂关节面中的髂骨耳状关节部分骨质密度增高,呈均匀浓白边缘清晰的骨质致密带,骨小梁消失,无骨质破坏。本病应注意与早期强直性脊柱炎、骶髂关节结核相鉴别。




欢迎光临 医影在线 (http://bbs.radida.com/bbs/) Powered by Discuz! X3.2