医影在线
标题: CT7245:颅内占位,请会诊。 [打印本页]
作者: abzzys 时间: 2007-3-21 21:50
标题: CT7245:颅内占位,请会诊。
f 13y,右侧眼视力下降1年多,头疼。




[本贴已被 gaozhengyi 于 2007-3-21 16:21:30 修改过]
作者: w_jianhua 时间: 2007-3-21 22:01
标题: [原创]
1.鞍上池脑膜瘤并出血破入三、四脑室2。少支胶质细胞瘤3.颅咽管瘤
[本贴已被 w_jianhua 于 2007-3-21 14:28:30 修改过]
作者: dyqct 时间: 2007-3-21 22:22
图像不全。
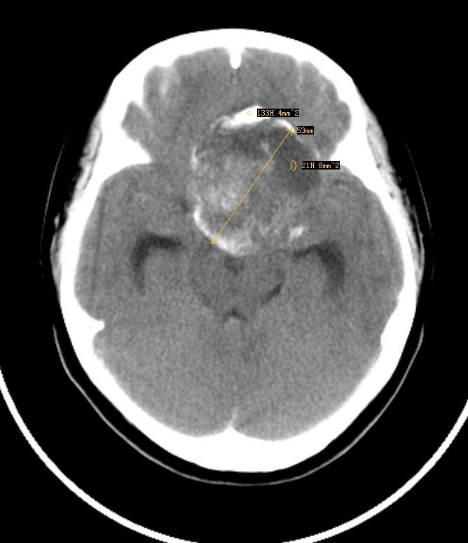
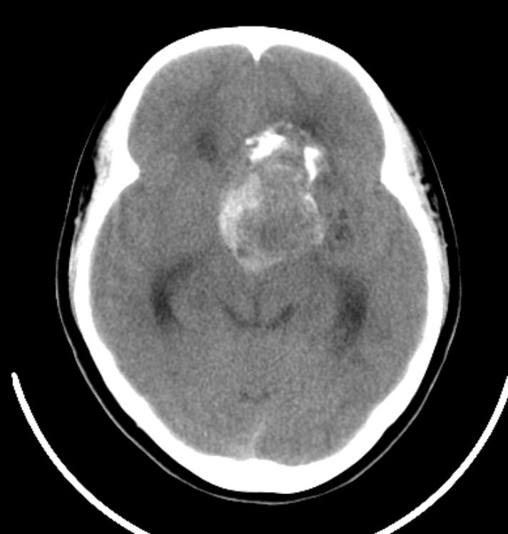
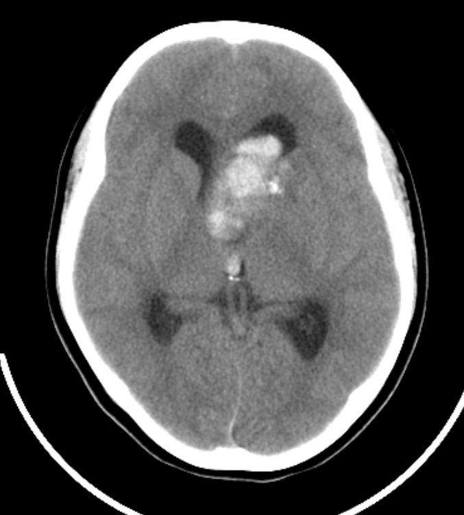
鞍上见一巨大椭圆形、分叶状高、等、低混杂密度肿块,明显占位效应,侧脑室额角、三脑室及四脑室内见高密度区,脑室系统扩大。
f 13y,右侧眼视力下降1年多,头疼。
考虑:鞍上颅咽管瘤伴出血破入脑室系统、争性梗阻性脑积水。
作者: leesen 时间: 2007-3-21 22:38
定位:鞍上池,肿块呈囊实性,并可见蛋壳样和斑块样钙化,患者13岁,有视力障碍。考虑颅咽管瘤!
理由:1、颅咽管瘤好发于20岁以下人群,70%~80%病人有视神经、视交叉受压,肿块较大时可阻塞室间孔,继而产生颅内高压症状,本例的视力下降和头痛等临床表现较符合。2、颅咽管瘤特征性ct表现为肿瘤钙化(占80%~90%),呈蛋壳样和斑块样钙化。肿瘤可呈囊实性混杂密度表现3、本例需与鞍隔脑膜瘤鉴别。
作者: 9876543210 时间: 2007-3-21 23:05
支持颅咽管瘤卒中
作者: 余辉 时间: 2007-3-21 23:24
标题: 回复:颅内占位,请会诊。
以下是引用dyqct在2007-3-21 14:22:00的发言:[br]图像不全。[br]鞍上见一巨大椭圆形、分叶状高、等、低混杂密度肿块,明显占位效应,侧脑室额角、三脑室及四脑室内见高密度区,脑室系统扩大。[br]f 13y,右侧眼视力下降1年多,头疼。[br]考虑:鞍上颅咽管瘤伴出血破入脑室系统、争性梗阻性脑积水。
支持
作者: jinning 时间: 2007-3-21 23:39
支持楼上
作者: 捉水 时间: 2007-3-21 23:41
四楼说得很好!向你学习!
从病人的年龄,肿瘤的位置,钙化的形态等方面都比较符合颅咽管瘤。
有条件做一个mri,矢状位可能更好看一点。
对于中线的生殖细胞瘤,我觉得这个病人不能除外!
作者: gzx521th 时间: 2007-3-22 01:09
以下是引用dyqct在2007-3-21 14:22:00的发言:
图像不全。
鞍上见一巨大椭圆形、分叶状高、等、低混杂密度肿块,明显占位效应,侧脑室额角、三脑室及四脑室内见高密度区,脑室系统扩大。
f 13y,右侧眼视力下降1年多,头疼。
考虑:鞍上颅咽管瘤伴出血破入脑室系统、争性梗阻性脑积水。
作者: 落魄先生 时间: 2007-3-22 01:29
标题: 回复:ct7245:颅内占位,请会诊。
以下是引用leesen在2007-3-21 14:38:00的发言:[br]定位:鞍上池,肿块呈囊实性,并可见蛋壳样和斑块样钙化,患者13岁,有视力障碍。考虑颅咽管瘤![br]理由:1、颅咽管瘤好发于20岁以下人群,70%~80%病人有视神经、视交叉受压,肿块较大时可阻塞室间孔,继而产生颅内高压症状,本例的视力下降和头痛等临床表现较符合。2、颅咽管瘤特征性ct表现为肿瘤钙化(占80%~90%),呈蛋壳样和斑块样钙化。肿瘤可呈囊实性混杂密度表现3、本例需与鞍隔脑膜瘤鉴别。
作者: swyyy2007 时间: 2007-3-22 01:52
定位:鞍上池,肿块呈囊实性,并可见蛋壳样和斑块样钙化,患者13岁,有视力障碍。考虑颅咽管瘤!
理由:1、颅咽管瘤好发于20岁以下人群,70%~80%病人有视神经、视交叉受压,肿块较大时可阻塞室间孔,继而产生颅内高压症状,本例的视力下降和头痛等临床表现较符合。2、颅咽管瘤特征性ct表现为肿瘤钙化(占80%~90%),呈蛋壳样和斑块样钙化。肿瘤可呈囊实性混杂密度表现3、本例需与鞍隔脑膜瘤鉴别。
少支细胞瘤不除外
作者: wangzhanshuang 时间: 2007-3-22 02:22
支持颅咽管瘤卒中
作者: 阿宽 时间: 2007-3-22 02:32
支持楼上意见。
作者: wnq 时间: 2007-3-22 03:29
支持
作者: 念羊经 时间: 2007-3-22 03:32
比较符合颅咽管瘤。
有条件做一个mri,矢状位可能更好看一点。
对于中线的生殖细胞瘤,我觉得这个病人不能除外!
作者: zjzjr 时间: 2007-3-22 03:33
支持颅咽管瘤卒中
作者: lisuoguo 时间: 2007-3-22 04:41
鞍上占位,肿块为囊实性,并可见蛋壳样和斑块样钙化。第三、四脑室及侧脑室前角积血,符合颅咽管瘤伴发出血。
作者: jw-830 时间: 2007-3-22 05:26
考虑鞍上颅咽管瘤并出血破入脑室系统引起梗阻性脑积水
作者: 宝天曼 时间: 2007-3-22 05:35
考虑:鞍上颅咽管瘤可能性大不排除脑膜瘤
作者: 求知若渴 时间: 2007-3-22 05:41
标题: 回复:ct7245:颅内占位,请会诊。
以下是引用leesen在2007-3-21 14:38:00的发言:[br]定位:鞍上池,肿块呈囊实性,并可见蛋壳样和斑块样钙化,患者13岁,有视力障碍。考虑颅咽管瘤![br]理由:1、颅咽管瘤好发于20岁以下人群,70%~80%病人有视神经、视交叉受压,肿块较大时可阻塞室间孔,继而产生颅内高压症状,本例的视力下降和头痛等临床表现较符合。2、颅咽管瘤特征性ct表现为肿瘤钙化(占80%~90%),呈蛋壳样和斑块样钙化。肿瘤可呈囊实性混杂密度表现3、本例需与鞍隔脑膜瘤鉴别。
作者: 同 时间: 2007-3-22 05:46
标题: 回复:ct7245:颅内占位,请会诊。
以下是引用leesen在2007-3-21 14:38:00的发言:[br]定位:鞍上池,肿块呈囊实性,并可见蛋壳样和斑块样钙化,患者13岁,有视力障碍。考虑颅咽管瘤![br]理由:1、颅咽管瘤好发于20岁以下人群,70%~80%病人有视神经、视交叉受压,肿块较大时可阻塞室间孔,继而产生颅内高压症状,本例的视力下降和头痛等临床表现较符合。2、颅咽管瘤特征性ct表现为肿瘤钙化(占80%~90%),呈蛋壳样和斑块样钙化。肿瘤可呈囊实性混杂密度表现3、本例需与鞍隔脑膜瘤鉴别。
作者: jinguoji 时间: 2007-3-22 05:49
考虑鞍上颅咽管瘤可能性大
作者: 天南地北 时间: 2007-3-22 06:00
支持:鞍上颅咽管瘤伴出血破入脑室系统。
作者: 悟空 时间: 2007-3-22 06:03
部位是颅咽管瘤好发处,且该病例有钙化及出血,易出血肿瘤为转移瘤,垂体瘤,脑膜瘤,胶质瘤等,综合考虑:1.少支胶质细胞瘤2脑膜瘤3颅咽管瘤
作者: SYR666 时间: 2007-3-22 06:33
颅咽管瘤并出血破入脑室
作者: xingwanping710 时间: 2007-3-22 07:03
我认为是颅咽管瘤.
作者: qc80012345 时间: 2007-3-22 07:53
符合颅咽管瘤。如果有骨窗就跟好了。
作者: haha215315 时间: 2007-3-22 16:44
考虑颅咽管瘤!
作者: dongsk11 时间: 2007-3-22 16:58
颅咽管瘤我支持
作者: dongsk11 时间: 2007-3-22 16:59
颅咽管瘤我支持
作者: yangzongshan 时间: 2007-3-22 17:24
蛋壳样钙化! 颅烟管瘤并出血破入脑室系统
作者: 狙击手 时间: 2007-3-22 18:08
支持颅咽管瘤卒中
作者: qiuleiyu 时间: 2007-3-22 18:38
支持颅咽管瘤伴梗阻性脑积水可能大,建议mri进一步检查。
作者: hhcckk 时间: 2007-3-22 22:31
标题: 回复:ct7245:颅内占位,请会诊。

支持颅咽管瘤,依据
1病人年龄小
2病灶内有典型的蛋壳状钙化
与鞍上其他常见肿瘤的鉴别:
1脑膜瘤,密度较高,它的钙化一般是沙粒状钙化
2垂体瘤,可以有囊变,发生钙化的少见,病变从鞍内往上发展
3脊索瘤,年龄偏大一点,可有明显的钙化,另外有一个特点就是骨质破坏,以致破坏与钙化分辨不清
作者: 过江龙 时间: 2007-3-23 00:37
标题: 回复:ct7245:颅内占位,请会诊。
以下是引用hhcckk在2007-3-22 14:31:00的发言:[br]
[br][br]支持颅咽管瘤,依据[br]1病人年龄小[br]2病灶内有典型的蛋壳状钙化[br]与鞍上其他常见肿瘤的鉴别:[br]1脑膜瘤,密度较高,它的钙化一般是沙粒状钙化[br]2垂体瘤,可以有囊变,发生钙化的少见,病变从鞍内往上发展[br]3脊索瘤,年龄偏大一点,可有明显的钙化,另外有一个特点就是骨质破坏,以致破坏与钙化分辨不清
作者: wqs571018 时间: 2007-3-23 00:41
支持颅咽管瘤卒中可能。
作者: 拾荒者 时间: 2007-3-23 04:14
标题: 回复:ct7245:颅内占位,请会诊。
以下是引用leesen在2007-3-21 14:38:00的发言:[br]定位:鞍上池,肿块呈囊实性,并可见蛋壳样和斑块样钙化,患者13岁,有视力障碍。考虑颅咽管瘤![br]理由:1、颅咽管瘤好发于20岁以下人群,70%~80%病人有视神经、视交叉受压,肿块较大时可阻塞室间孔,继而产生颅内高压症状,本例的视力下降和头痛等临床表现较符合。2、颅咽管瘤特征性ct表现为肿瘤钙化(占80%~90%),呈蛋壳样和斑块样钙化。肿瘤可呈囊实性混杂密度表现3、本例需与鞍隔脑膜瘤鉴别。
支持!
作者: dongzhi--ct 时间: 2007-3-23 18:33
支持颅咽管瘤,依据
1病人年龄小
2病灶内有典型的蛋壳状钙化
与鞍上其他常见肿瘤的鉴别:
1脑膜瘤,密度较高,它的钙化一般是沙粒状钙化
2垂体瘤,可以有囊变,发生钙化的少见,病变从鞍内往上发展
3脊索瘤,年龄偏大一点,可有明显的钙化,另外有一个特点就是骨质破坏,以致破坏与钙化分辨不清
支持过江龙 鉴别诊断的很好,
作者: 大眼睛 时间: 2007-3-23 23:02
鞍上囊实性肿瘤,瘤较大,部分生长于第三、四脑室,并向后推压中脑。其囊壁可见“壳”样钙化,实质部分有不规则斑片状钙化及出血。与周围组织有粘连。因所提供影像不全,故蝶鞍形态不明确,但蝶骨大翼骨质有破坏。
意见:颅咽管瘤,伴出血(出血源于肿瘤脑室部分,顺脑脊液弥散)。
分析:1、鞍上肿瘤表现为囊实性者应首先考虑颅咽管瘤,其余肿瘤,如脑膜瘤、生殖细胞瘤等表现为囊实性是相当罕见的。2、实质部分密度较高,对于颅咽管瘤来说,尚应考虑有钙质沉着和肿瘤内存在较多角蛋白的因素。但因三、四脑室内有高密度影,因而诊断肿瘤伴出血。
作者: 洋芋果果 时间: 2007-3-23 23:08
以下是引用leesen在2007-3-21 14:38:00的发言:
定位:鞍上池,肿块呈囊实性,并可见蛋壳样和斑块样钙化,患者13岁,有视力障碍。考虑颅咽管瘤!
理由:1、颅咽管瘤好发于20岁以下人群,70%~80%病人有视神经、视交叉受压,肿块较大时可阻塞室间孔,继而产生颅内高压症状,本例的视力下降和头痛等临床表现较符合。2、颅咽管瘤特征性ct表现为肿瘤钙化(占80%~90%),呈蛋壳样和斑块样钙化。肿瘤可呈囊实性混杂密度表现3、本例需与鞍隔脑膜瘤鉴别。
作者: juwen73 时间: 2007-3-23 23:13
支持颅咽管瘤卒中
| 欢迎光临 医影在线 (http://bbs.radida.com/bbs/) |
Powered by Discuz! X3.2 |