医影在线

标题: CT7248:女 80 肝脏 请讨论 [打印本页]

作者: 网事随风    时间: 2007-3-22 00:05
标题: CT7248:女 80 肝脏 请讨论

















[本贴已被 jiajie 于 2007-3-21 17:10:07 修改过]

作者: 网事随风    时间: 2007-3-22 00:11
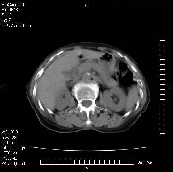
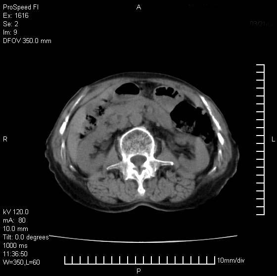
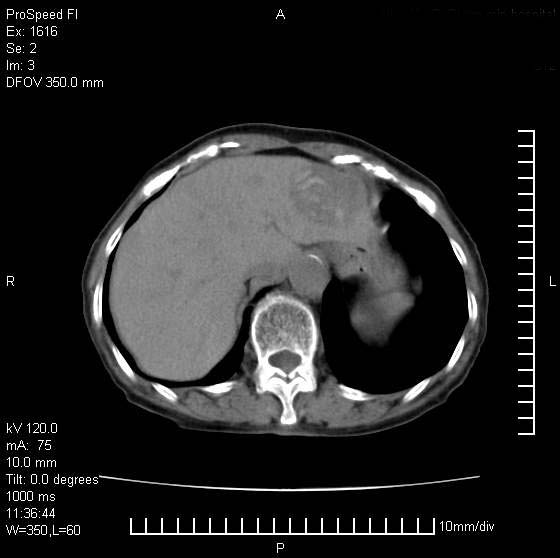
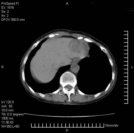
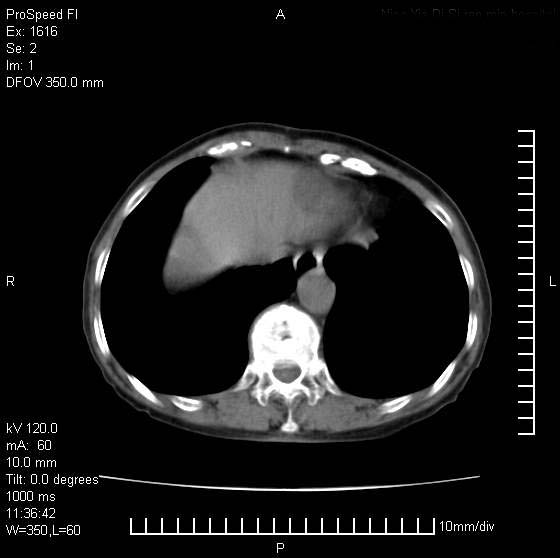
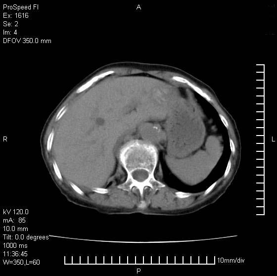
患者无明显临床症状,肝左叶发现一个圆形密度不均的低密度灶,边界较清楚,大小37x45mm,ct值35-70,患者犹豫做增强,如有增强片,我再发上,现先请各位老师会诊.
作者: 余辉    时间: 2007-3-22 00:16
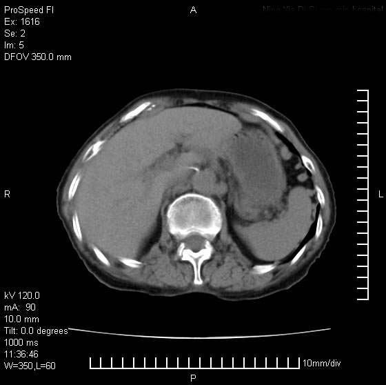
左肝外叶可见较大圆形低密度影,病灶可见较光整清晰边界,病灶内可见多量条状稍高密度影,右肝前叶亦可见圆形结节状低密度影,边界清晰,密度均匀,考虑1肝多发囊肿,左肝囊肿内出血2肝包虫病3左巨块型肝癌出血合并右肝转移或合并右肝囊肿
作者: jinning    时间: 2007-3-22 00:28
左肝外叶可见较大圆形低密度影,病灶可见较光整清晰边界,病灶内可见多量条状稍高密度影
考虑:肝包虫病
作者: 捉水    时间: 2007-3-22 00:38
有可能不是一个病灶,毕竟层面太靠上,
作者: jw-830    时间: 2007-3-22 02:35
肝左叶类圆形低密度影,内可见略高密度影,边界清晰周边可见环形低密度带,考虑肝腺瘤可能,建议增强扫描除外肝血管瘤与肝癌
作者: 北方的狼    时间: 2007-3-22 02:49
条带壮高密度影好象胃窦粘膜?考虑:1-慢性肝脓肿.2-胃窦溶积效应
作者: 吴克权    时间: 2007-3-22 03:22
肝血管瘤可能性最大,另外肝腺瘤,肝包虫病(病史询问,居住和生活史)也要考虑.
作者: zhanghua2086    时间: 2007-3-22 03:52
血管瘤
作者: only    时间: 2007-3-22 05:26
楼主增强没做,还是把病史问详细点好些.
肝门区有点乱,但是我怎么没找到胆囊呢?是否做过手术?
病灶内高密度影,从ct值上看是血的密度还是某种纤维组织呢?似乎有内缘有包膜,肝脏各叶比例略失调,脾脏有点大.
废话说了不少了,还是出个意见吧.
印诊:肝癌并出血;肝腺瘤瘤并出血;肝血吸虫病.
囊肿出血\\血管瘤我觉得都不太象.
作者: jinguoji    时间: 2007-3-22 05:29
肝左叶类圆形低密度影,内可见略高密度影,边界清晰周边可见环形低密度带,考虑肝血管瘤
可能,建议增强扫描
作者: 宝天曼    时间: 2007-3-22 05:31
肝血管瘤可能性最大,另外肝腺瘤,肝包虫病(病史询问,居住和生活史)也要考虑.
作者: 悟空    时间: 2007-3-22 05:41
hcc(巨块型)伴出血,突破肝包膜,肝胃韧带内,腹主动脉旁淋巴结转移;肝硬化
作者: dyqct    时间: 2007-3-22 05:42
不做增强不好定性,只能说可能为良性肿瘤伴出血。
作者: 天南地北    时间: 2007-3-22 05:49
考虑肝癌(合并出出血)可能性大,建议增强扫描。
期待结果。
作者: dongsk11    时间: 2007-3-22 16:38
没有增强呀
作者: 王守平    时间: 2007-3-22 18:36
不做强化只能猜
作者: qiuleiyu    时间: 2007-3-22 18:40
建议增强。
作者: yxq    时间: 2007-3-22 20:50
还是做个增强再说
作者: 同    时间: 2007-3-22 21:02
考虑肝血管瘤可能性大
作者: zsm911    时间: 2007-3-22 21:09
肝左叶病灶不能排除胆管细胞癌可能,建议增强结合病史
作者: 红樱枪    时间: 2007-3-22 23:03
先考虑血管瘤,增强再说
作者: 卜一    时间: 2007-3-22 23:33
肝内明显占位性病灶,不增强连自己都搞不明白,为什么不做增强?建议强化后,再讨论!
作者: swyyy2007    时间: 2007-3-22 23:43
肝内明显占位性病灶,不增强连自己都搞不明白,为什么不做增强?建议强化后,再讨论!
作者: 拾荒者    时间: 2007-3-23 05:27
肝左叶不均匀占位,内有斑片状高密度出血灶,内侧缘似有假包膜,腹主动脉周围及肝门区结构紊乱,似有增大淋巴结,考虑:肝左叶hcc并淋巴结转移。建议增强扫描除外其他。
作者: dongzhi--ct    时间: 2007-3-23 18:28
增强后把结果上传,
作者: xrw9898    时间: 2007-3-23 18:32
结合临床病史,建议做增强




欢迎光临 医影在线 (http://bbs.radida.com/bbs/) Powered by Discuz! X3.2