医影在线

标题: MRI0859:[原创]腰椎,男,78岁,右下肢跛行两月 [打印本页]

作者: liuzheng_9326    时间: 2007-3-22 06:55
标题: MRI0859:[原创]腰椎,男,78岁,右下肢跛行两月
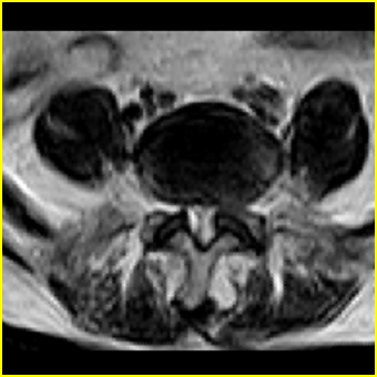
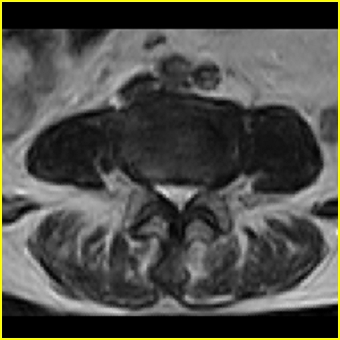
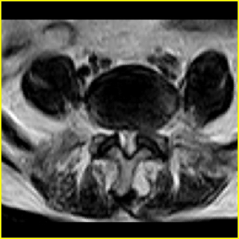
男,78岁,右下肢跛行两月.
































[本贴已被 jiajie 于 2007-5-7 11:15:14 修改过]

作者: 龙在野    时间: 2007-3-22 16:31
马尾神经炎
作者: sn4187189    时间: 2007-3-22 19:05
右侧黄韧带肥厚或钙化,压迫马尾神经所致。必要时行ct扫描。
作者: 尚峰    时间: 2007-3-23 02:18
腰间盘膨出、黄韧带肥厚、可疑先天性腰椎管狭窄。
作者: 李晓阳    时间: 2007-3-23 02:25
退行性骨关节病:增生、椎间盘变性、膨出...
作者: jiangjing    时间: 2007-3-23 06:47
退行性病变:增生、椎间盘变性、膨出[l4-5、l5-s1 椎间盘膨出]
作者: zyx168    时间: 2007-3-23 16:53
标题: 回复:mri0859:[原创]腰椎mri
以下是引用jiangjing在2007-3-22 22:47:00的发言:[br]退行性病变:增生、椎间盘变性、膨出[l4-5、l5-s1 椎间盘膨出]

支持!
作者: 小风    时间: 2007-3-24 06:08
标题: 回复:mri0859:[原创]腰椎mri
以下是引用jiangjing在2007-3-22 22:47:00的发言:[br]退行性病变:增生、椎间盘变性、膨出[l4-5、l5-s1 椎间盘膨出]


我认为这一层面椎间盘应该合并左外侧型突出。
作者: yxwsd    时间: 2007-3-26 05:42
退行性骨关节病:增生、椎间盘变性、膨出..黄韧带肥厚.
作者: 卜一    时间: 2007-3-27 02:03
退行性骨关节病:增生、椎间盘变性、膨出..黄韧带肥厚.支持!
作者: zyx168    时间: 2008-3-30 05:17
黄韧带肥厚.




欢迎光临 医影在线 (http://bbs.radida.com/bbs/) Powered by Discuz! X3.2