医影在线

标题: CT7260:[讨论]头颅CT [打印本页]

作者: wpf    时间: 2007-3-23 04:49
标题: CT7260:[讨论]头颅CT
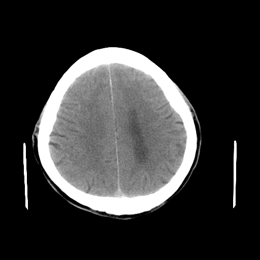
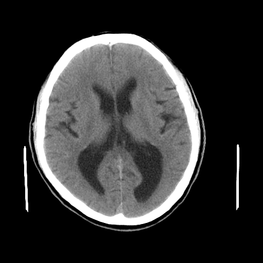
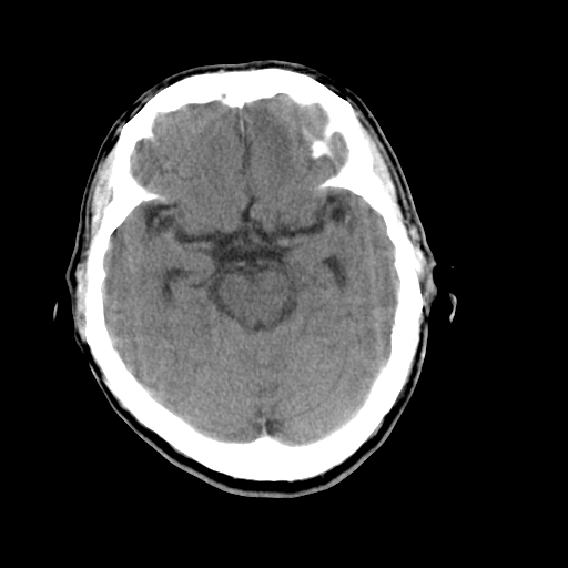
男,64岁,左侧肢体活动障碍两天。














[本贴已被 jiajie 于 2007-3-22 20:52:17 修改过]

作者: 狙击手    时间: 2007-3-23 05:03
没发现和症状相关联的问题。
作者: 13081830109    时间: 2007-3-23 05:13
未见明显异常     建议结合临床或复查
作者: 李晓阳    时间: 2007-3-23 05:16
未见异常
作者: 卜一    时间: 2007-3-23 05:27
未见明显异常
作者: 尚峰    时间: 2007-3-23 05:28
未见责任病灶。
作者: gaoxiao    时间: 2007-3-23 05:31
好像有轻度积水改变。
作者: 李晓阳    时间: 2007-3-23 05:34
有积水吗?
作者: 天南地北    时间: 2007-3-23 05:36
侧脑室有点怪怪的
作者: liuqiang    时间: 2007-3-23 05:37
拟:轻度脑积水,治疗后复查。(如果你说的时间准确的话,左侧肢体活动不便,不会是脑卒中所引起,是不是高血压引起的血管痉挛呢?请结合临床)。
作者: 黑金    时间: 2007-3-23 05:40
未见异常
作者: 22222222    时间: 2007-3-23 05:43
未见异常
作者: wnlyq8688    时间: 2007-3-23 05:45
颅脑ct平扫未见明显异常.
作者: dyqct    时间: 2007-3-23 05:49
轻度髓质脑萎缩,建议定期复查。
作者: sunxb1010    时间: 2007-3-23 06:30
ct未见异常,建议mri检查
作者: zjzjr    时间: 2007-3-23 06:39
脑萎缩.
作者: weijing    时间: 2007-3-23 06:47
脑萎缩
作者: jiangjing    时间: 2007-3-23 06:55
考虑 脑萎缩,脑积水待排
作者: 国窖1573    时间: 2007-3-23 07:21
未见异常,侧脑室后角应该是正常变异
作者: 流星1234    时间: 2007-3-23 07:51
未见异常
作者: 1983    时间: 2007-3-23 16:17
未见明显异常     建议结合临床或复查
作者: dongzhi--ct    时间: 2007-3-23 18:09
目前看是双侧侧脑室有轻度扩张,建议结合临床治疗后复查,
作者: xrw9898    时间: 2007-3-23 18:28
未见异常
作者: 王守平    时间: 2007-3-23 19:34
除侧脑室轻度扩大外无其他异常发现
作者: haha215315    时间: 2007-3-23 19:51
未见明显异常
作者: zhaochen    时间: 2007-3-23 20:31
除侧脑室轻度扩大外无其他异常发现
作者: 拾荒者    时间: 2007-3-24 03:01
颅脑平扫未见明显异常。
作者: jinning    时间: 2007-3-24 03:55
考虑轻度脑积水
作者: 宝天曼    时间: 2007-3-24 16:47
轻度髓质脑萎缩,建议定期复查。
作者: wqs571018    时间: 2007-3-25 01:43
颅脑平扫未见明显异常。
作者: 青莲居士    时间: 2007-3-25 02:09
未见异常
作者: jw-830    时间: 2007-3-25 06:54
未见明显异常
作者: 裴德医生    时间: 2007-3-25 20:43
轻度脑积水
作者: 梦在飞翔    时间: 2007-3-25 23:13
未见明显异常
作者: swyyy2007    时间: 2007-3-25 23:18
未见明显异常
作者: jinguoji    时间: 2007-4-2 17:55
颅脑平扫未见明显异常,建议结合临床或复查.




欢迎光临 医影在线 (http://bbs.radida.com/bbs/) Powered by Discuz! X3.2