医影在线

标题: CT7268:左额顶部病变增强片. [打印本页]

作者: zjzjr    时间: 2007-3-23 23:27
标题: CT7268:左额顶部病变增强片.























[本贴已被 jiajie 于 2007-3-23 19:01:08 修改过]

作者: 3351277    时间: 2007-3-23 23:38
标题: [建议]
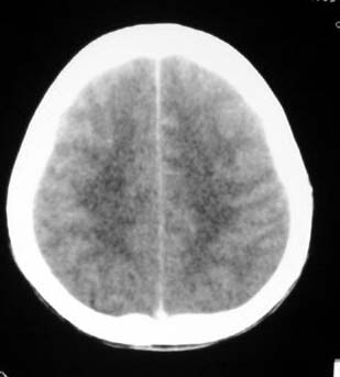
平片呢?如果有个平片让大家看看 学习下
[emb1]

[本贴已被 3351277 于 2007-3-23 15:54:03 修改过]

作者: dyqct    时间: 2007-3-23 23:40
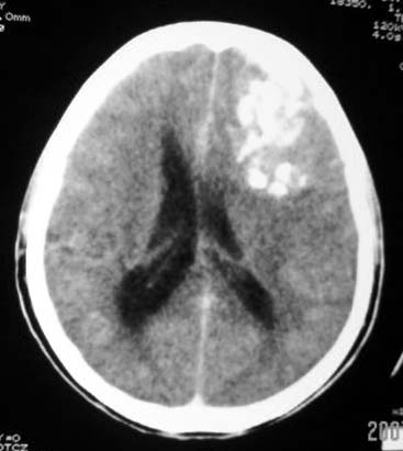
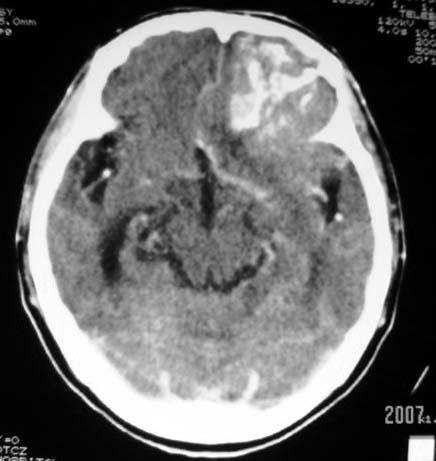
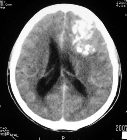
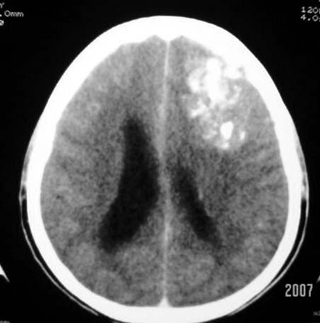
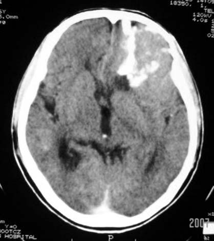
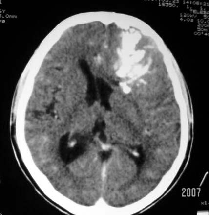
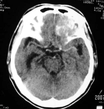
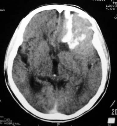
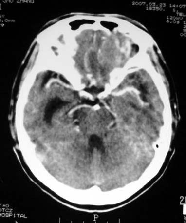
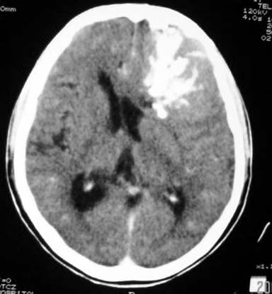
比较典型的少枝胶质细胞瘤ct表现,局部额骨垂直板有侵蚀变薄。
作者: w_jianhua    时间: 2007-3-24 00:33
少枝胶质细胞瘤
作者: kbzyycm    时间: 2007-3-24 01:34
少枝胶质细胞瘤
作者: 老爱克斯    时间: 2007-3-24 01:45
少枝胶质瘤,为什么分两次发?
作者: wfq2222    时间: 2007-3-24 03:02
少枝胶质细胞瘤,经典
作者: qiuleiyu    时间: 2007-3-24 03:07
左额叶病灶内条片状高密度是钙化吗?是的话考虑少支胶质瘤可能大。不然有脑血畸形伴出血可能。
作者: jinning    时间: 2007-3-24 03:13
少枝胶质细胞瘤
作者: 阿宽    时间: 2007-3-24 03:14
支持楼上意见!
作者: 风随意    时间: 2007-3-24 03:15
少枝胶质细胞瘤
作者: 李晓阳    时间: 2007-3-24 04:25
标题: 回复:ct7268:左额顶部病变增强片.
以下是引用3351277在2007-3-23 15:38:00的发言:[br]平片呢?如果有个平片让大家看看 学习下[br][emb1][br][br]
[本贴已被 3351277 于 2007-3-23 15:54:03 修改过]

作者: sunjianting    时间: 2007-3-24 04:40
典型少枝胶质细胞瘤
作者: 拾荒者    时间: 2007-3-24 05:05
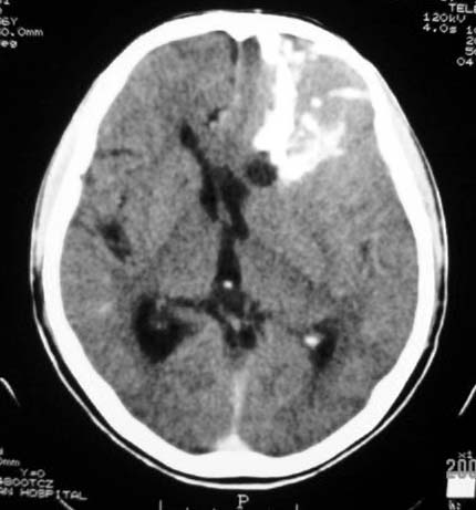
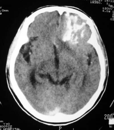
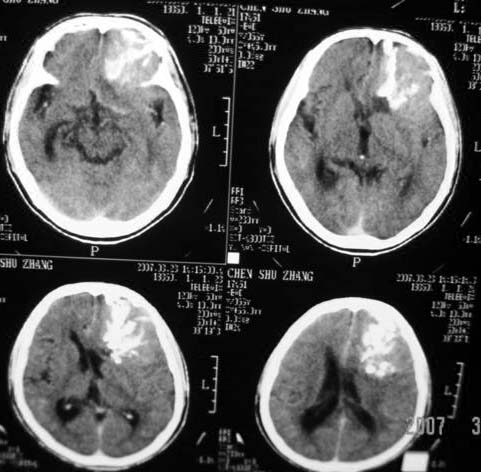
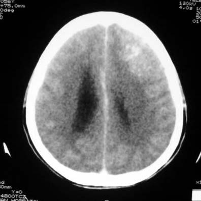
左侧额顶叶有条带状钙化的不规则形占位,增强呈不均匀轻度强化,局部颅骨受侵蚀变薄,典型的少支胶质细胞瘤。
作者: zjzjr    时间: 2007-3-24 06:36
标题: 回复:ct7268:左额顶部病变增强片.
平扫请阅ct7266,病人下午增强,所以只能分两次发.给大家带来的不便,请多多包涵.
作者: 流星1234    时间: 2007-3-24 07:21
少枝胶质细胞瘤
作者: 天南地北    时间: 2007-3-24 07:48
比较典型的少枝胶质细胞瘤ct表现,局部额骨垂直板有侵蚀变薄
作者: 宝天曼    时间: 2007-3-24 16:26
少枝胶质细胞瘤
作者: jinguoji    时间: 2007-4-2 18:45
少枝胶质细胞瘤.




欢迎光临 医影在线 (http://bbs.radida.com/bbs/) Powered by Discuz! X3.2