医影在线
标题: CT7269:[原创] 咳嗽,咳痰,大家讨论右肺病变的部位 [打印本页]
作者: xclzq_910 时间: 2007-3-23 23:41
标题: CT7269:[原创] 咳嗽,咳痰,大家讨论右肺病变的部位



























[本贴已被 jiajie 于 2007-3-23 19:01:35 修改过]
作者: 3351277 时间: 2007-3-23 23:51
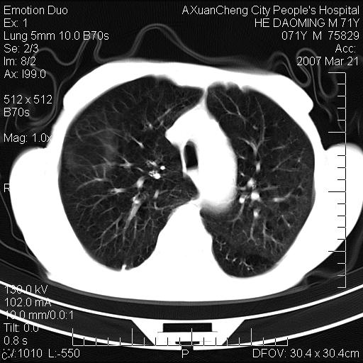
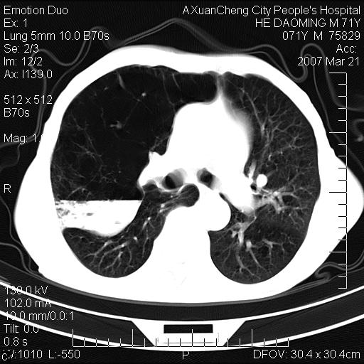
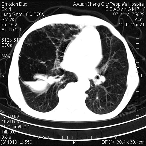
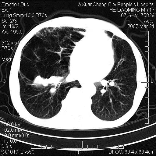
1.慢支肺气肿 肺心病 肺大泡;2.叶间裂积液,前胸膜粘连
作者: xclzq_910 时间: 2007-3-23 23:54
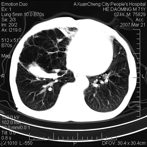
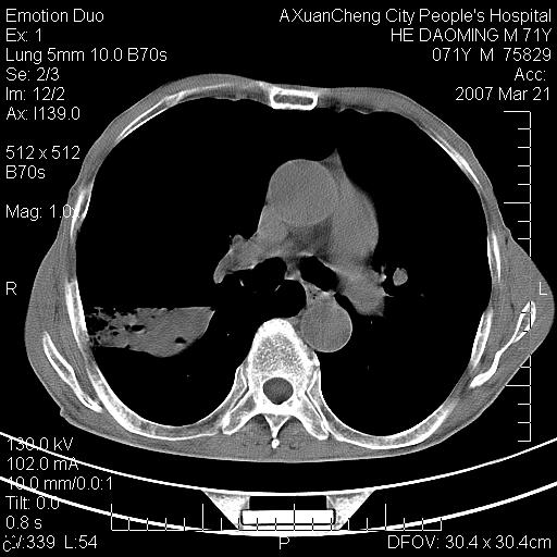
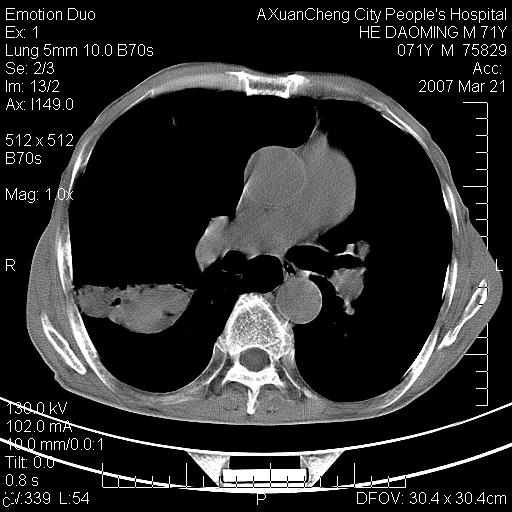
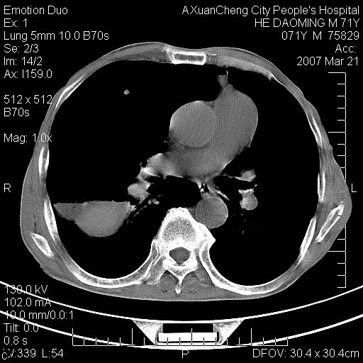
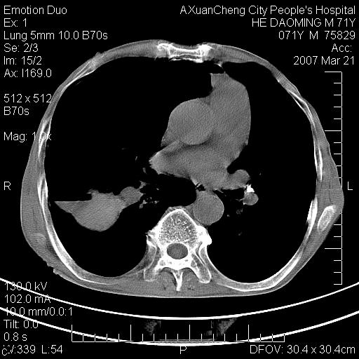
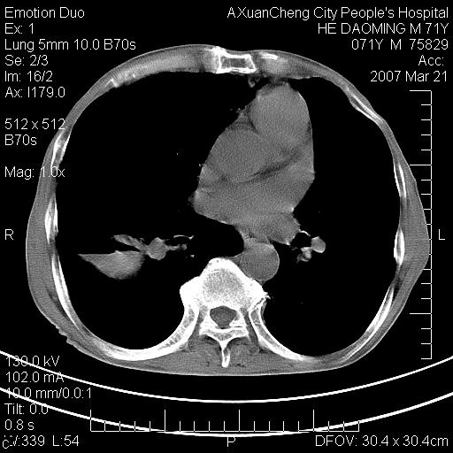
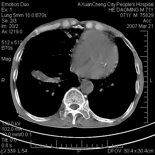
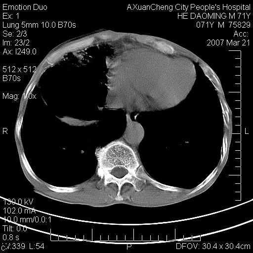
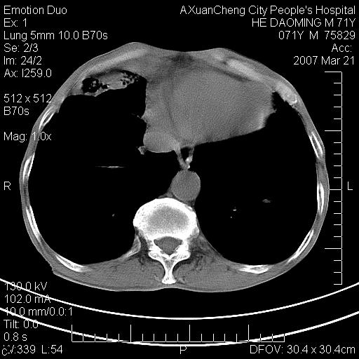
右侧相当于叶间软组织样密度ct值约50hu,请大家讨论是什么性者病变
作者: 3351277 时间: 2007-3-23 23:57
标题: [成人]
[emb5]
[本贴已被 3351277 于 2007-3-23 15:57:43 修改过]
作者: liuzheng_9326 时间: 2007-3-24 00:02
右下肺大囊肿伴感染.肺气肿,肺大泡.
作者: dyqct 时间: 2007-3-24 00:25
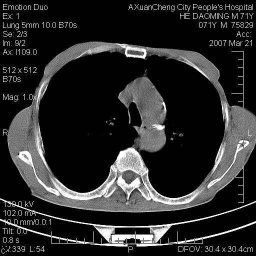
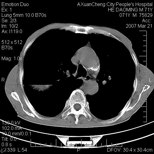
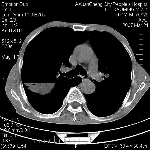
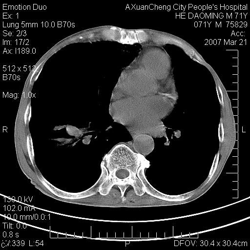
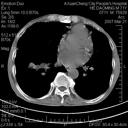
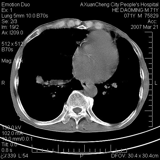
考虑:慢性支气管炎合并全小型肺气肿、肺大泡、间质纤维化、感染,右斜裂积液。
作者: w_jianhua 时间: 2007-3-24 00:42
支持 考虑:慢性支气管炎合并全小型肺气肿、肺大泡、间质纤维化、感染,右斜裂积液。
作者: jone-baby 时间: 2007-3-24 01:01
考虑:慢性支气管炎合并全小型肺气肿、肺大泡、间质纤维化、感染,右斜裂积液. 冠状动脉硬化(冠心病)
作者: zjzjr 时间: 2007-3-24 01:29
考虑:慢性支气管炎合并全小型肺气肿、肺大泡、间质纤维化、感染,右斜裂积液。
作者: 老爱克斯 时间: 2007-3-24 01:58
慢性支气管炎,全小叶性肺气肿,右肺上.中叶肺大泡,伴有感染.支气管扩张.
作者: wfq2222 时间: 2007-3-24 02:52
标题: 回复:[原创] 咳嗽,咳痰,大家讨论右肺病变的部位
以下是引用dyqct在2007-3-23 16:25:00的发言:[br]考虑:慢性支气管炎合并全小型肺气肿、肺大泡、间质纤维化、感染,右斜裂积液。
支持
作者: jinning 时间: 2007-3-24 03:17
支持
作者: 阿宽 时间: 2007-3-24 03:42
考虑慢支,肺气肿,肺大泡,间质纤维化;右侧斜裂液气胸考虑(可能因为肺大泡破裂破入斜裂所致).
作者: LP3keli 时间: 2007-3-24 04:03
考虑病变以右上中肺多发肺大泡为主并感染。请结合临床考虑慢支肺气肿,肺心病。
作者: jw-830 时间: 2007-3-24 04:13
1双肺慢性支气管炎并全小叶型肺气肿肺大泡2间质性纤维化3右侧斜裂积液
作者: 拾荒者 时间: 2007-3-24 05:19
考虑:慢性支气管炎合并右侧全小型肺气肿、肺大泡并感染、双肺间质纤维化,右斜裂积液。
如果患者变化一下体位扫描可分辨液平与斜裂的关系。
作者: 求知若渴 时间: 2007-3-24 06:12
考虑:慢性支气管炎合并右侧全小型肺气肿、肺大泡并感染、双肺间质纤维化,右斜裂积液。右侧斜裂液气胸考虑(可能因为肺大泡破裂破入斜裂所致).
如果患者变化一下体位扫描可分辨液平与斜裂的关系。
作者: 宝天曼 时间: 2007-3-24 16:29
慢性支气管炎合并全小型肺气肿、肺大泡、间质纤维化、感染,右斜裂积液。
作者: tao772 时间: 2007-3-24 17:32
考虑:慢性支气管炎合并全小型肺气肿、肺大泡、间质纤维化、感染,右斜裂积液。
作者: jinguoji 时间: 2007-4-2 18:41
慢性支气管炎合并全小型肺气肿、肺大泡、间质纤维化、感染,右斜裂积液。
| 欢迎光临 医影在线 (http://bbs.radida.com/bbs/) |
Powered by Discuz! X3.2 |