医影在线

标题: PED0043:头颅平扫 男12岁.典型结节性硬化 [打印本页]

作者: sunjianting    时间: 2007-3-24 03:27
标题: PED0043:头颅平扫 男12岁.典型结节性硬化
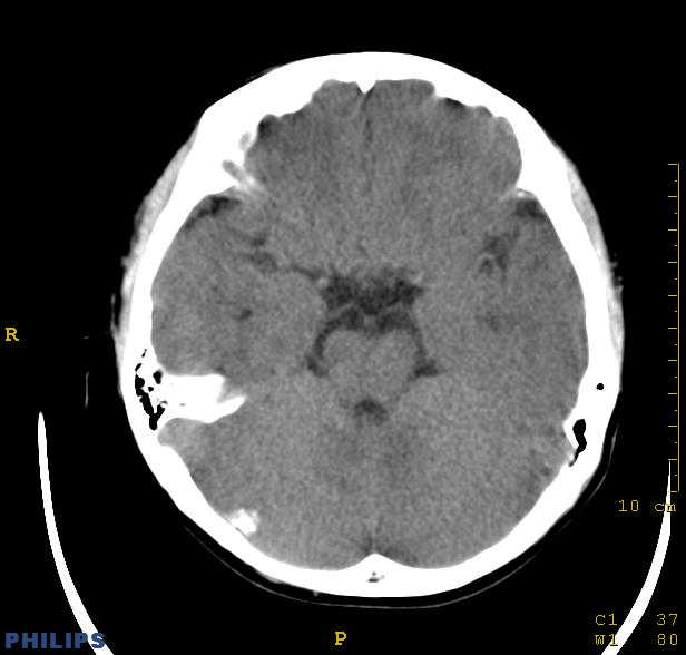
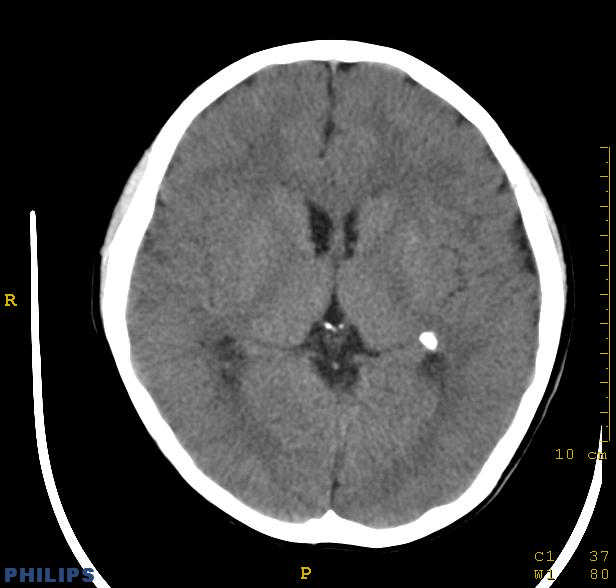
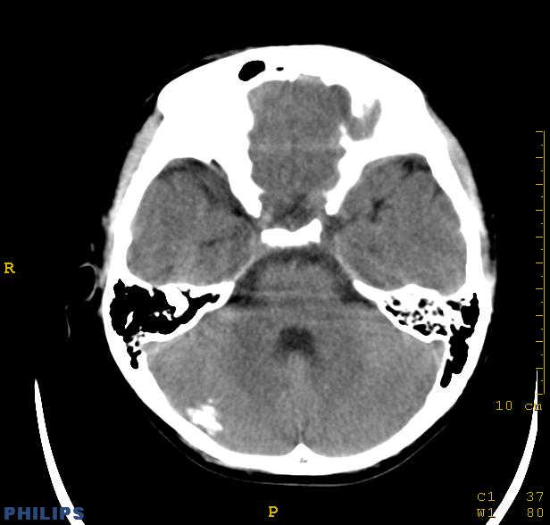
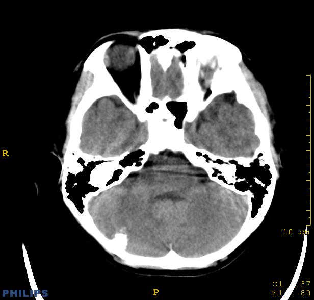
典型结节性硬化












[本贴已被 jiajie 于 2007-3-23 19:31:24 修改过]

作者: 同    时间: 2007-3-24 05:03
支持楼主诊断,典型结节硬化。
作者: jinning    时间: 2007-3-24 05:05
支持楼主诊断,典型结节硬化。
作者: 天南地北    时间: 2007-3-24 05:50
支持楼主诊断,典型结节硬化
学习了
作者: 宝天曼    时间: 2007-3-24 17:04
支持楼主诊断,典型结节硬化
作者: dyqct    时间: 2007-3-24 17:25
典型!!时时学习。
作者: jone-baby    时间: 2007-3-24 17:53
支持楼主诊断,典型结节硬化
学习了
作者: 小晟晟    时间: 2007-3-25 02:20
典型的结节性硬化
作者: wj2039    时间: 2007-3-25 03:17
支持楼主诊断,典型结节硬化。
作者: jw-830    时间: 2007-3-25 06:35
支持楼主诊断
作者: LIMMM    时间: 2007-3-25 17:30
支持楼主诊断,典型结节硬化。
作者: cefcmj    时间: 2007-3-25 19:04
典型结节硬化。
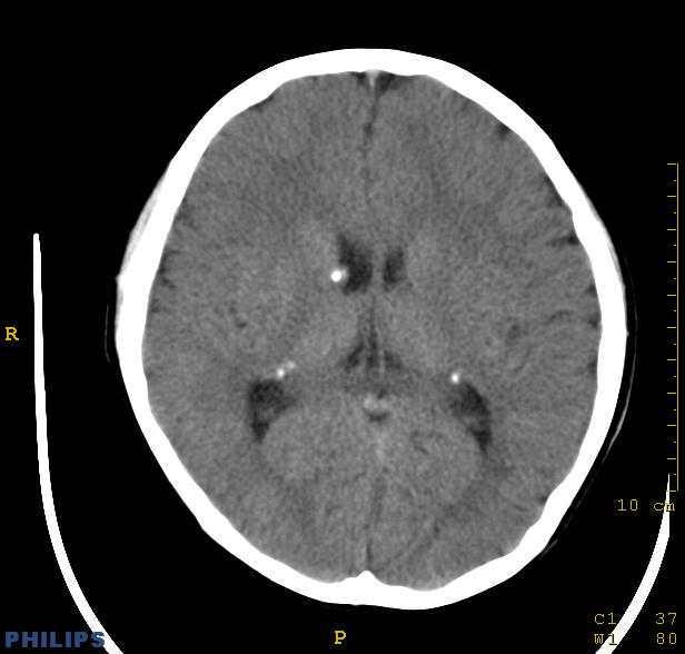
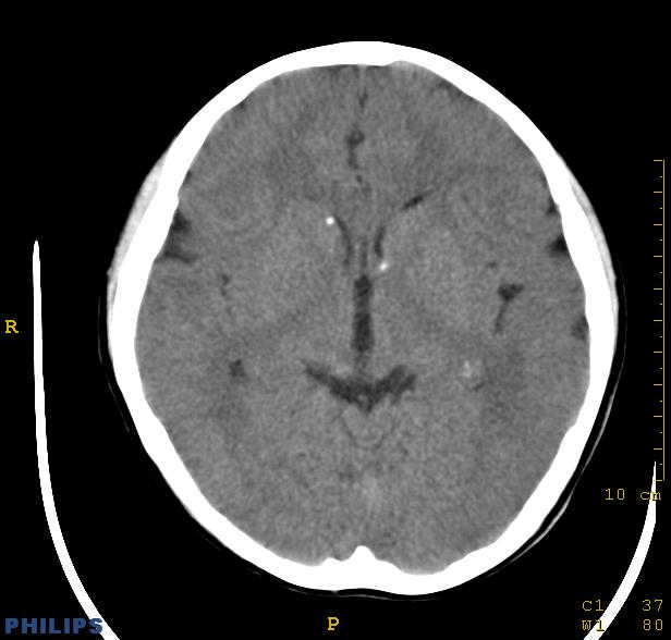
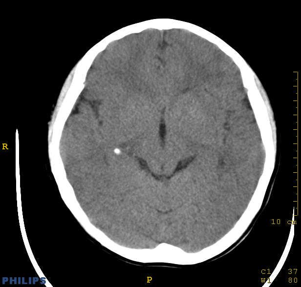
[病因病理]
    结节硬化是常染色体显性遗传缺陷或基因突变引起的疾病,脑部病理可见神经胶质增生性硬化结节,位于大脑皮质、基底核及侧脑室壁的室管膜下。结节质地较硬,多有钙化。室管膜下结节可演变为巨细胞星形细胞瘤,亦可发生皮质错构瘤,常合并有其他器官畸形和肿瘤。
[临床表现]  
    儿童多见,在许多器官中有错构瘤生长,以皮肤、神经系统受累为主。典型临床表现为面部皮脂腺瘤、癫痫发作及智力低下。
[影像学表现]  
    1.ct表现:
    ①室管膜下有多发性小结节状钙化影,也可为单发、不强化;小结节亦可未钙化;突入脑室可以强化;但有钙化者居多,颅内异常钙化高达90%。一般出生后2年即呈典型钙化。
    ②10%-15%的病例可能恶变为室管膜下巨细胞星形细胞瘤或其他胶质瘤。前者常位于室间孔附近,生长缓慢,增强扫描可产生异常强化。
    ③可见白质区脱髓鞘的低密度区。
    ④可伴脑灰质异位。
    ⑤脑室扩大系阻塞性脑积水或脑发育不良所致。
    2.mr表现:
    ①双侧大脑白质、皮层和室管膜下区多发结节样异常信号影。t1加权呈等或略低信号,少部分呈较高信号,可能与含钙盐有关。t2加权呈高信号,钙化的结节呈低信号。
    ②脑白质内可见不规则分布的小片样t1加权略低,t2加权高信号影,为髓鞘形成不良或胶质增生所致。  
[鉴别诊断]
    结节性硬化还应与其他原因引起的多发性室管膜下钙化鉴别:如甲状腺功能减退、fahr病、弓形虫体病或巨细胞包涵体病等。
作者: 梦在飞翔    时间: 2007-3-25 22:38
典型病列,其它器官有检查结果么?
作者: 狙击手    时间: 2007-3-26 17:49
收到,谢谢。
作者: 石猴兽医    时间: 2007-3-27 05:41
谢谢楼主。
作者: wangzhanshuang    时间: 2007-3-28 04:10
支持楼主诊断,典型结节硬化。
作者: yuhongjun    时间: 2010-11-12 07:14
支持楼主诊断,典型结节硬化。




欢迎光临 医影在线 (http://bbs.radida.com/bbs/) Powered by Discuz! X3.2