医影在线

标题: PED0046:[原创]头颅CT片,请各位老师帮忙看看! [打印本页]

作者: li7hua    时间: 2007-3-25 05:33
标题: PED0046:[原创]头颅CT片,请各位老师帮忙看看!
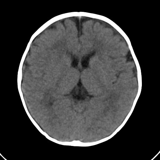
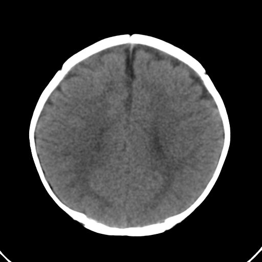
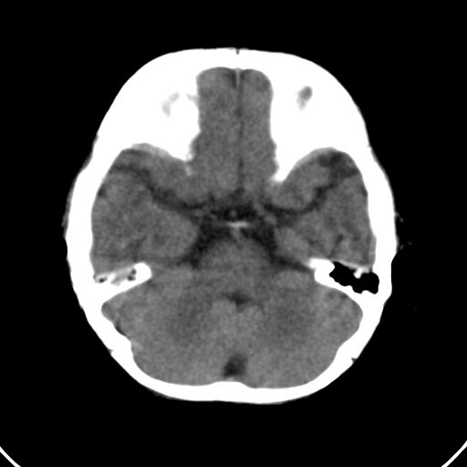
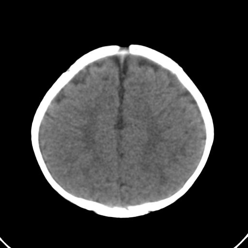
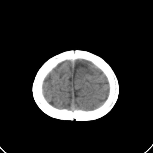
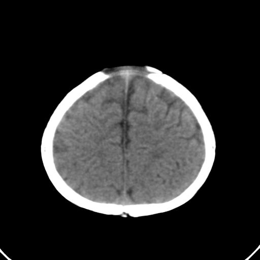
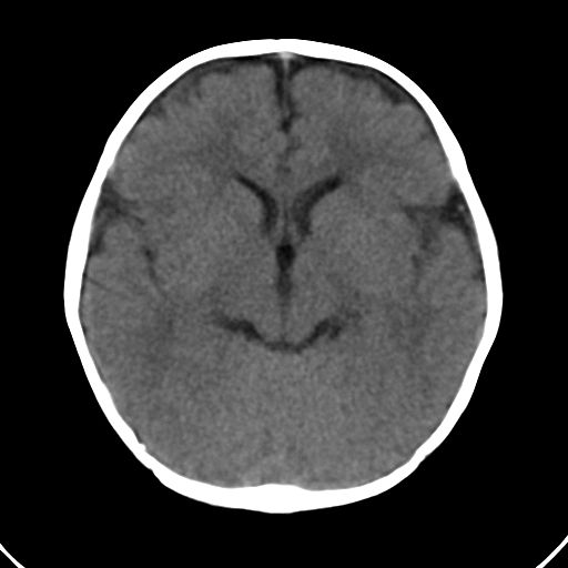
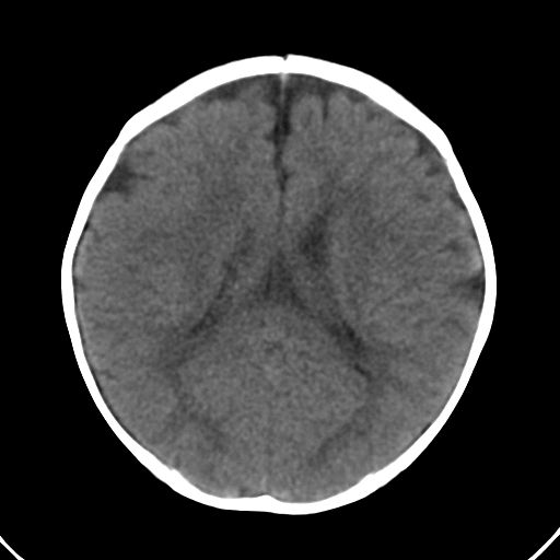
男,10月,足月剖腹产,无缺氧病史,当时评分均正常,学走路时脚后跟不着地!
  小孩子片子,看得少,请各位老师看看有问题没?













[本贴已被 jiajie 于 2007-3-25 8:26:03 修改过]

作者: gaoxiao    时间: 2007-3-25 05:46
未见明显异常。
作者: 阿宽    时间: 2007-3-25 05:50
未见明显异常。
作者: jinning    时间: 2007-3-25 05:52
未见明显异常。
作者: 9876543210    时间: 2007-3-25 05:53
正常。
作者: sunjianting    时间: 2007-3-25 05:54
未见明显异常。
作者: 李晓阳    时间: 2007-3-25 05:59
外部性脑积水
作者: xiaoniu    时间: 2007-3-25 06:16
诊断:颅脑ct平扫未见明显异常。
作者: 天南地北    时间: 2007-3-25 06:34
颅脑ct平扫未见明显异常。
呵呵,支持
作者: jiangjing    时间: 2007-3-25 06:37
考虑外部性脑积水
作者: 如醉卧风    时间: 2007-3-25 06:40
双侧脑鹅叶发育不良.
作者: zjzjr    时间: 2007-3-25 06:41
诊断:颅脑ct平扫未见明显异常。
作者: 石光    时间: 2007-3-25 07:14
未见明显异常
作者: 宝天曼    时间: 2007-3-25 14:52
未见明显异常。
作者: kbzyycm    时间: 2007-3-25 15:46
未见明显异常。
作者: 克山    时间: 2007-3-25 18:28
正常婴儿颅脑ct表现。
作者: cefcmj    时间: 2007-3-25 18:58
颅脑ct平扫未见明显异常。
作者: 我爱影像    时间: 2007-3-25 19:00
未见明显异常
作者: dyqct    时间: 2007-3-26 01:08
颅脑ct平扫目前未见异常.
作者: 一片云    时间: 2007-3-26 04:03
未见明显异常
作者: czl    时间: 2007-3-26 06:41
看上去像是正常。
作者: lnhsdm    时间: 2007-3-26 17:30
正常ct图像
作者: 狙击手    时间: 2007-3-26 18:00
未见异常,10个月学走路是不是早了一点?脚后跟不着地可能是害怕或重心不稳,等等,14个月后看看。
作者: 卜一    时间: 2007-3-27 04:08
未见明显异常。
作者: jiujiu2008    时间: 2007-3-27 04:17
轻度脑外脑积水表现.
作者: hzb1980    时间: 2007-3-27 05:13
不是脑子问题去查查四肢吧!
作者: 石猴兽医    时间: 2007-3-27 05:29
ok
作者: wwp    时间: 2007-3-27 06:12
诊断:颅脑ct平扫未见明显异常。
作者: zyx168    时间: 2007-3-29 02:13
未见明显异常。
作者: 同    时间: 2007-3-29 05:05
考虑外部性脑积水
作者: yuhongjun    时间: 2010-11-12 07:17
颅脑ct平扫未见明显异常。




欢迎光临 医影在线 (http://bbs.radida.com/bbs/) Powered by Discuz! X3.2