




以下是引用dyqct在2007-3-25 15:38:00的发言:[br]考虑:1、巨块型肝癌伴出血;[br] 2、不除外胆囊癌累及肝脏伴出血。
以下是引用dyqct在2007-3-25 15:38:00的发言:[br]考虑:1、巨块型肝癌伴出血;[br] 2、不除外胆囊癌累及肝脏伴出血。
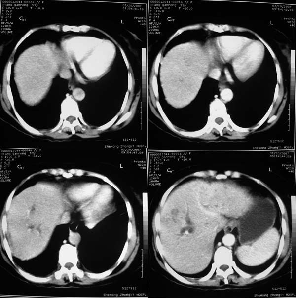
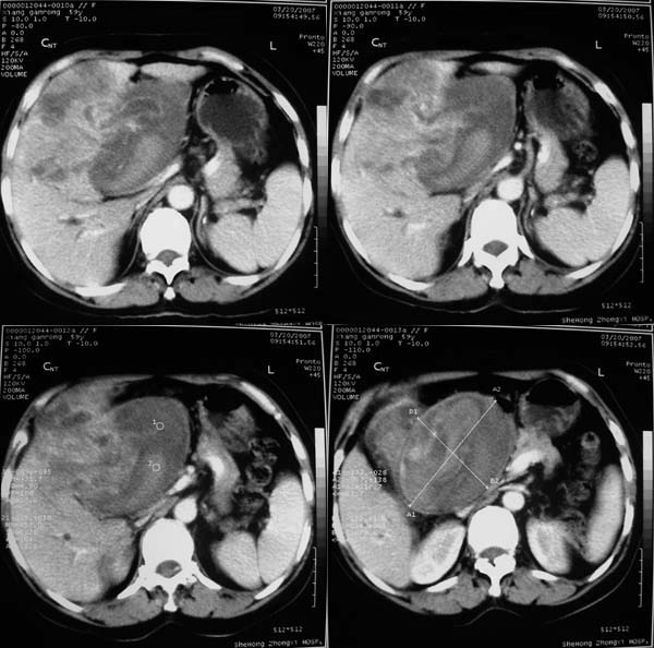
以下是引用汪涛同志在2007-3-25 15:26:00的发言:[br]1胆囊癌侵犯肝脏并门脉癌栓[br]2巨块型肝癌合并出血不除外
以下是引用蝶儿在2007-3-25 16:29:00的发言:[br]考虑;1巨块型肝癌[br] 2不除外胆囊癌
以下是引用yuhg在2007-3-25 17:31:00的发言:[br]考虑胆囊癌侵犯肝脏可能性大,因为病灶最大部分在胆囊窝,胆囊壁不规则明显增厚,肝内胆管扩张,胆总管受侵犯,肝内见转移灶,强化也支持胆囊癌,肝癌引起阻黄较少
以下是引用dyqct在2007-3-25 15:38:00的发言:[br]考虑:1、巨块型肝癌伴出血;[br] 2、不除外胆囊癌累及肝脏伴出血。
以下是引用汪涛同志在2007-3-25 15:26:00的发言:[br]1胆囊癌侵犯肝脏并门脉癌栓[br]2巨块型肝癌合并出血不除外
以下是引用expert在2007-3-25 21:06:00的发言:[br]胆囊ca外侵,累及肝左叶,肝门明显受压,致肝内胆管梗阻扩张,伴肝右叶结节转移
| 欢迎光临 医影在线 (http://bbs.radida.com/bbs/) | Powered by Discuz! X3.2 |