医影在线
标题: CT7317:左额叶占位 路过地看看讪…… [打印本页]
作者: 应项雪 时间: 2007-3-27 06:04
标题: CT7317:左额叶占位 路过地看看讪……
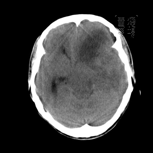
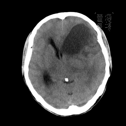
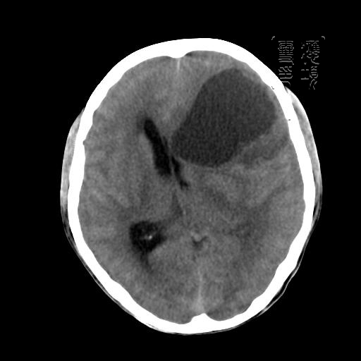
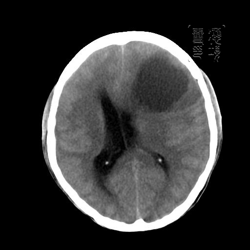
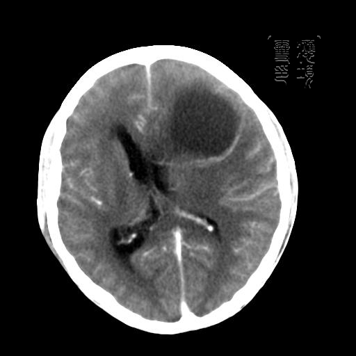
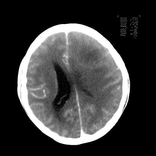
m 52y
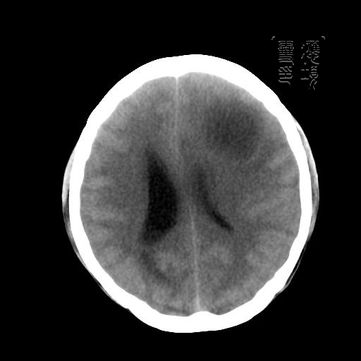
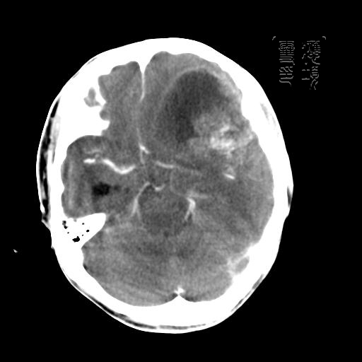
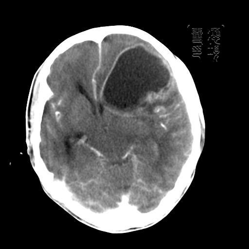
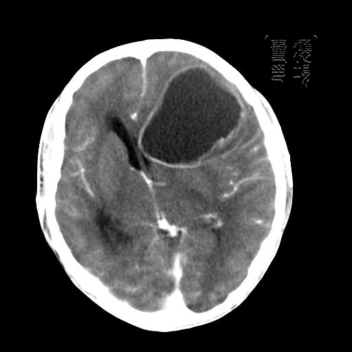
二月前癫痫入院, 无既往史,现头痛、呕吐、视力减退、复视行ct平扫及增强检查。













[本贴已被 jiajie 于 2007-3-26 22:08:09 修改过]
flash
[本贴已被 应项雪 于 2007-3-26 22:44:14 修改过]
作者: 狙击手 时间: 2007-3-27 06:11
见环形,结节样强化,考虑囊性星型细胞瘤。
作者: 如醉卧风 时间: 2007-3-27 06:16
标题: 回复:ct7317:左额叶占位 路过地看看讪……
以下是引用狙击手在2007-3-26 22:11:00的发言:[br]见环形,结节样强化,考虑囊性星型细胞瘤。
或胶质母细胞瘤.
作者: cefcmj 时间: 2007-3-27 06:23
标题: 回复:ct7317:左额叶占位 路过地看看讪……

作者: wwp 时间: 2007-3-27 06:28
见环形,结节样强化,考虑囊性星型细胞瘤。
作者: 天山影士 时间: 2007-3-27 07:17
考虑囊性星型细胞瘤,ct征象大囊小结节.
作者: 拾荒者 时间: 2007-3-27 07:33
标题: 回复:ct7317:左额叶占位 路过地看看讪……
以下是引用cefcmj在2007-3-26 22:23:00的发言:[br]
[br]
作者: 哎呀叮叮 时间: 2007-3-27 07:48
血管母细胞瘤,不除外囊性星形细胞瘤
作者: chmb 时间: 2007-3-27 07:54
考虑囊性星形细胞瘤可能性大
作者: guzhongliangddd 时间: 2007-3-27 08:49
标题: 回复:ct7317:左额叶占位 路过地看看讪……
以下是引用chmb在2007-3-26 23:54:00的发言:[br]考虑囊性星形细胞瘤可能性大
左额叶囊实性占位,以囊性为主,并见明显强化不规则壁结节,占位效应明显,首先考虑是囊性星形细胞瘤.
从发病部位及年龄都不考虑是血管母细胞瘤,还有可能是胶质瘤.
作者: liuyue 时间: 2007-3-27 14:42
考虑:囊性星形细胞瘤可能性大 。
作者: 宝天曼 时间: 2007-3-27 15:22
考虑囊性星型细胞瘤可能性大。
不排除脓肿可能性
作者: zjzjr 时间: 2007-3-27 16:12
支持囊性星形细胞瘤.
作者: 卜一 时间: 2007-3-27 16:26
支持:考虑星型细胞瘤。
作者: 卜一 时间: 2007-3-27 16:46
支持:考虑星型细胞瘤。
作者: dyqct 时间: 2007-3-27 17:01
可能为左额叶恶性胶质母细胞瘤。
作者: 龙在野 时间: 2007-3-27 17:59
为什么不考虑转移瘤
作者: xuming0123 时间: 2007-3-27 20:34
标题: 回复:ct7317:左额叶占位 路过地看看讪……
环形强化,壁薄、完整、光滑,而且有结节强化,个人考虑不典型脑脓肿多!
作者: jinguoji 时间: 2007-3-27 20:51
见环形,结节样强化,考虑囊性星型细胞瘤。
作者: wangzhanshuang 时间: 2007-3-27 23:31
标题: 回复:ct7317:左额叶占位 路过地看看讪……
以下是引用cefcmj在2007-3-26 22:23:00的发言:[br]
[br]
作者: bin917 时间: 2007-3-28 00:26
见环形,结节样强化,考虑囊性星型细胞瘤
作者: wqs571018 时间: 2007-3-28 01:02
考虑:囊性星形细胞瘤可能性大 。期待结果!
作者: qc80012345 时间: 2007-3-28 01:09
囊性星形细胞瘤;胶母细胞瘤不出外。
作者: brave26 时间: 2007-3-28 01:35
胶质母细胞瘤的花边状强化及出血的特点这组片中没体现出来.还是支持囊性星型细胞瘤.
作者: 天南地北 时间: 2007-3-28 06:30
考虑囊性星形细胞瘤可能性大
作者: pysylhj 时间: 2007-3-28 07:22
支持囊性星形细胞瘤
作者: 应项雪 时间: 2007-3-30 03:05
谢谢楼上的朋友们!
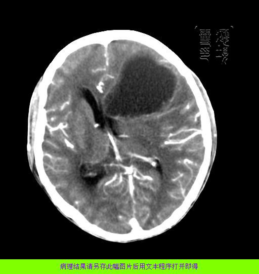
结果已经在最后一幅图片内,感兴趣的,另存此图用记事本打开,往下拉就可看到。
作者: jinning 时间: 2007-3-31 05:13
考虑囊性星型细胞瘤。
| 欢迎光临 医影在线 (http://bbs.radida.com/bbs/) |
Powered by Discuz! X3.2 |