医影在线

标题: CT7320:脑出血 [打印本页]

作者: wmsyy    时间: 2007-3-27 19:20
标题: CT7320:脑出血
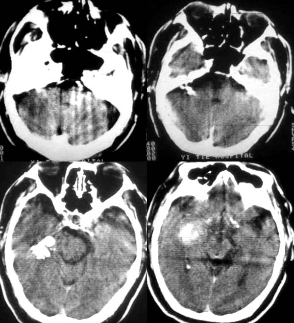
男53岁,既往有腔梗病史。突然昏迷。是多发脑出血吗?都是什么位置的?




[本贴已被 翁志蓬 于 2007-3-27 16:42:25 修改过]

作者: 一棵树    时间: 2007-3-27 19:56
右侧基底节区出血,双侧基底节区腔隙性脑梗塞,左侧基底节区脑软化灶。
作者: ZHANGZHONGSHOU    时间: 2007-3-27 19:59
右基底节区脑出血  双基底节区脑腔隙
作者: xuming0123    时间: 2007-3-27 20:14
标题: 回复:脑出血
那请问下在脑桥小脑角池的梭性高密度影是什么啊?跟对侧不对称啊!是不是考虑也是出血病灶啊!
作者: ZHANGZHONGSHOU    时间: 2007-3-27 20:22
脑桥小脑角的高密度灶与基底节区出血灶相连的   是一个出血灶延伸的
作者: jinguoji    时间: 2007-3-27 20:46
右侧基底节区出血,双侧基底节区腔隙性脑梗塞.
作者: zjzjr    时间: 2007-3-27 21:02
右侧基底节区出血,双侧基底节区腔隙性脑梗塞伴脑萎缩.
作者: dyqct    时间: 2007-3-27 22:53
典型的右侧颞叶、基底节区原发性脑出血。
作者: bin917    时间: 2007-3-28 00:25
右侧基底节区出血,双侧基底节区腔隙性脑梗塞伴脑萎缩
作者: wqs571018    时间: 2007-3-28 00:51
右侧基底节区出血,双侧基底节区腔隙性脑梗塞伴脑萎缩.
作者: qc80012345    时间: 2007-3-28 01:35
右侧颞叶、基底节区原发性脑出血;腔隙性脑梗塞;局限性脑萎缩。
作者: 青莲居士    时间: 2007-3-28 02:27
右基底节区脑出血  双基底节区脑腔隙
作者: 拾荒者    时间: 2007-3-28 04:36
1. 右侧基底节区出血,双侧基底节区腔隙性脑梗塞伴脑萎缩。
2.右侧桥小脑角区及右侧颞骨岩部内上缘高密度灶边缘太过锐利,不知ct值是多少?不太像出血。
作者: 天南地北    时间: 2007-3-28 06:26
右侧基底节区出血,双侧基底节区腔隙性脑梗塞伴脑萎缩.
作者: 狙击手    时间: 2007-3-28 06:37
右侧桥小脑角区及右侧颞骨岩部内上缘高密度灶边缘太过锐利,不知ct值是多少?不太像出血。应是运动性伪影。
作者: zws38    时间: 2007-3-28 09:48
右外囊血肿;双基底节腔梗;皮脑;脑萎缩
作者: jinning    时间: 2007-3-31 05:06
右侧基底节区出血,双侧基底节区腔隙性脑梗塞
作者: dr.yang    时间: 2008-11-19 06:45
右侧颞叶、基底节区原发性脑出血。
作者: aomeilazuo    时间: 2008-11-19 09:08
右侧基底节区出血,双侧基底节区腔隙性脑梗塞
作者: yuhongjun    时间: 2008-11-19 15:08
右基底节区脑出血  双基底节区脑腔隙




欢迎光临 医影在线 (http://bbs.radida.com/bbs/) Powered by Discuz! X3.2