医影在线

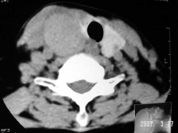
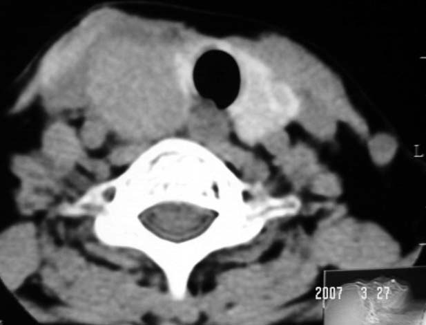
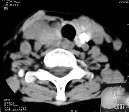
标题: CT7324:女57岁,右颈部肿物2年. [打印本页]

作者: zjzjr    时间: 2007-3-27 20:45
标题: CT7324:女57岁,右颈部肿物2年.















[本贴已被 jiajie 于 2007-3-27 18:24:02 修改过]

作者: wmsyy    时间: 2007-3-27 21:14
右侧甲状腺腺瘤可能性大,建议增强
作者: 刘明    时间: 2007-3-27 22:33
触之有搏动吗?
作者: dyqct    时间: 2007-3-27 22:45
支持右侧甲状腺腺瘤。
作者: wangzhanshuang    时间: 2007-3-27 23:19
支持右侧甲状腺腺瘤
作者: 国窖1573    时间: 2007-3-27 23:19
支持右侧 甲状腺腺瘤
作者: 山佳    时间: 2007-3-27 23:30
支持右侧 甲状腺腺瘤,建议彩超/穿刺活检。
作者: zyx168    时间: 2007-3-27 23:46
右侧 甲状腺腺瘤
作者: wqs571018    时间: 2007-3-28 01:06
右侧 甲状腺腺瘤.
作者: ZHANGZHONGSHOU    时间: 2007-3-28 01:18
右甲状腺腺瘤可能性大
作者: qc80012345    时间: 2007-3-28 01:26
比较明显的甲状腺腺瘤
作者: yyg1960    时间: 2007-3-28 03:40
右甲状腺腺瘤可能性大 应该做增强扫描
作者: chenqiong    时间: 2007-3-28 04:02
甲状腺腺瘤可能大
作者: liuyue    时间: 2007-3-28 04:41
右甲状腺腺瘤可能性大
作者: 李晓阳    时间: 2007-3-28 05:05
双侧结甲、右侧腺瘤
作者: 1983    时间: 2007-3-28 05:09
支持右侧 甲状腺腺瘤,建议彩超/穿刺活检
作者: 宝天曼    时间: 2007-3-28 05:17
右甲状腺内占位密度均匀边缘规整考虑腺瘤可能性大
作者: 拾荒者    时间: 2007-3-28 05:35
右侧甲状腺区均匀密度软组织肿块,无坏死及钙化,边缘光整,与周围组织分界清晰,病史较长,首先考虑右侧甲状腺腺瘤。
作者: 天南地北    时间: 2007-3-28 06:08
支持右侧甲状腺腺瘤。
作者: yuhg    时间: 2007-3-28 06:49
支持建议增强
作者: 狙击手    时间: 2007-3-28 07:06
支持右侧 甲状腺腺瘤
作者: jinning    时间: 2007-3-31 04:55
右侧甲状腺腺瘤可能性大
作者: zhlk5352    时间: 2007-3-31 05:21
我也支持甲状腺腺瘤
作者: jinguoji    时间: 2007-4-2 08:18
右甲状腺腺瘤可能性大.




欢迎光临 医影在线 (http://bbs.radida.com/bbs/) Powered by Discuz! X3.2