医影在线

标题: PED0050:[原创] 足月顺产婴儿5天,急诊求救 [打印本页]

作者: xclzq_910    时间: 2007-3-28 04:21
标题: PED0050:[原创] 足月顺产婴儿5天,急诊求救
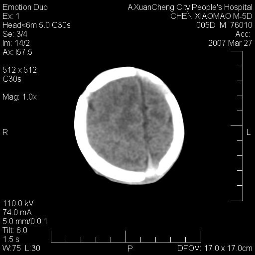
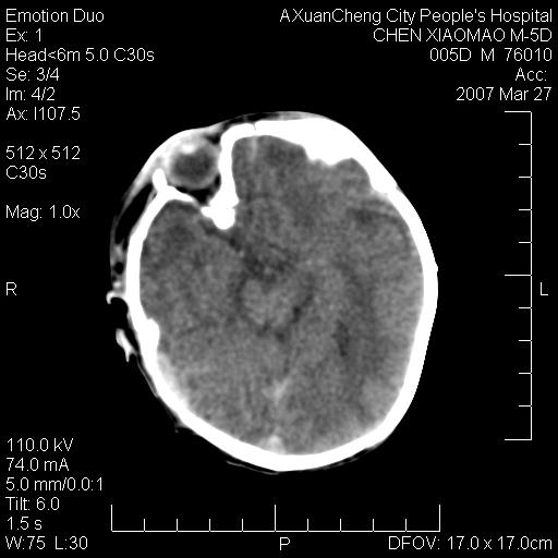
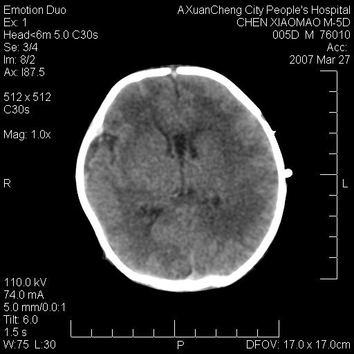
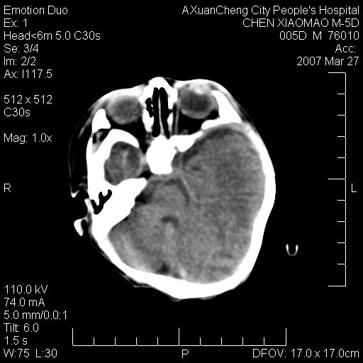
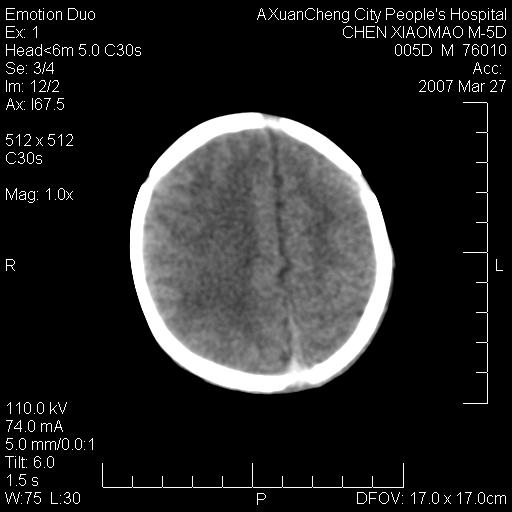
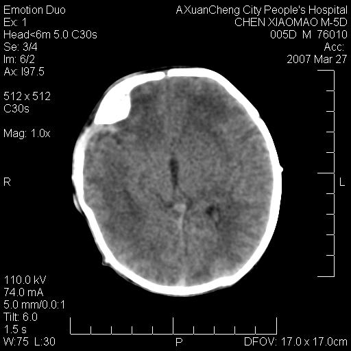
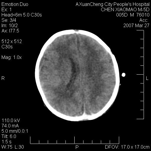
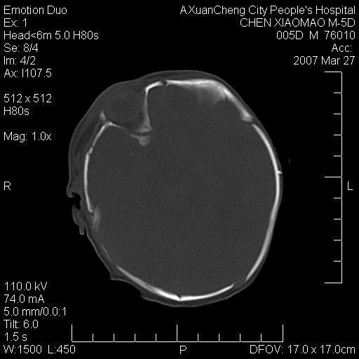
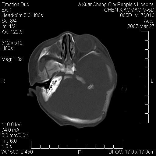
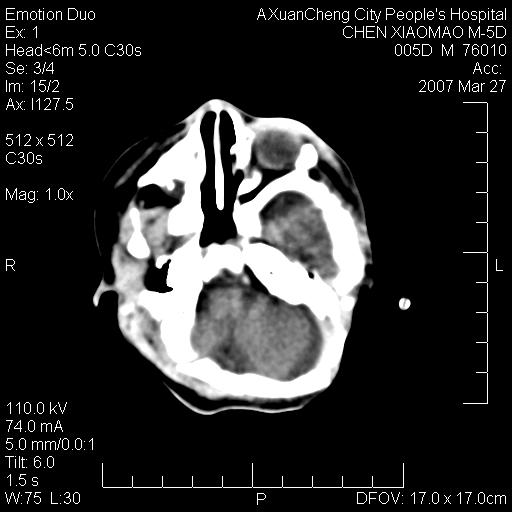
大家看看可有出血?另外枕骨中央是骨缝还是骨折






















[本贴已被 翁志蓬 于 2007-3-28 16:30:37 修改过]

作者: 龙在野    时间: 2007-3-28 04:29
是正常的
作者: 李晓阳    时间: 2007-3-28 04:32
缝是正常的,但患儿有hie
作者: dyqct    时间: 2007-3-28 04:38
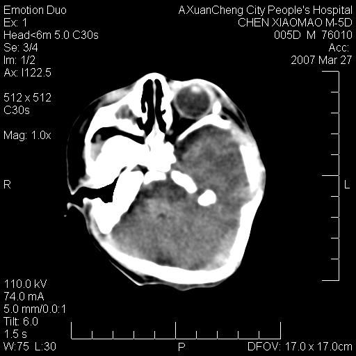
位置太不标准了。
颅内未见明显异常。枕骨鳞部应为假缝(颅外软组织无肿胀),有外伤吗?
作者: ping2    时间: 2007-3-28 04:58
颅内未见明显异常
作者: 宝天曼    时间: 2007-3-28 05:11
颅内未见明显异常
作者: xclzq_910    时间: 2007-3-28 05:27
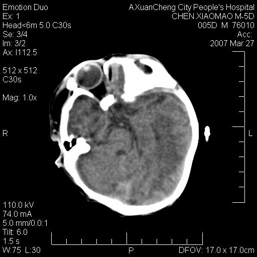
大家看看可有hie ?还有左侧枕部胡形高密度ct为45~53hu,可有硬膜下血肿?
作者: pysylhj    时间: 2007-3-28 05:30
hie.............
作者: 天南地北    时间: 2007-3-28 05:49
颅内未见明显异常。
作者: ZHANGZHONGSHOU    时间: 2007-3-28 06:08
左颞枕部有出血,枕骨有骨折
作者: 狙击手    时间: 2007-3-28 07:00
枕骨骨折可以下,应该比较明显,颅内还是正常的,不放心的话,短期随访。
作者: zjzjr    时间: 2007-3-28 07:24
颅内未见明显异常。
作者: fangzheng    时间: 2007-3-28 07:54
标题: 回复:[原创] 足月顺产婴儿5天,急诊求救
以下是引用宝天曼在2007-3-27 21:11:00的发言:[br]颅内未见明显异常

作者: jinguoji    时间: 2007-3-31 07:39
颅内未见明显异常。
作者: jinning    时间: 2007-4-2 02:09
颅内未见明显异常
作者: 余辉    时间: 2007-4-2 03:13
标题: 回复:ped0050:[原创] 足月顺产婴儿5天,急诊求救
未见明显异常,,那是横窦影,“缝”是后囟
作者: yuhongjun    时间: 2010-11-7 06:45
颅内未见明显异常
作者: 风云lpd    时间: 2010-11-10 16:38
正常。




欢迎光临 医影在线 (http://bbs.radida.com/bbs/) Powered by Discuz! X3.2