医影在线

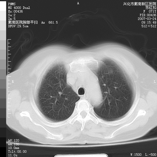
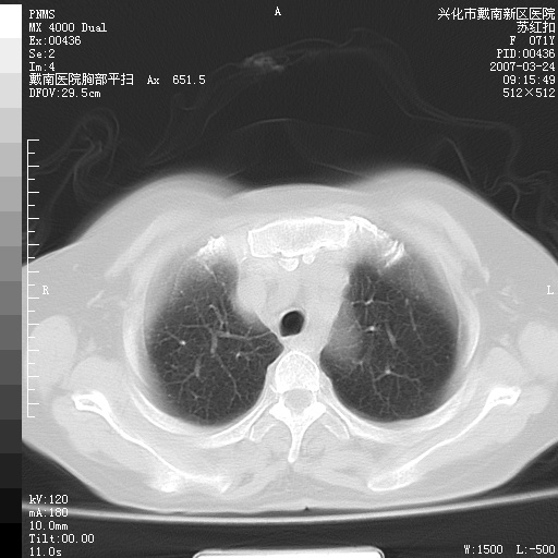
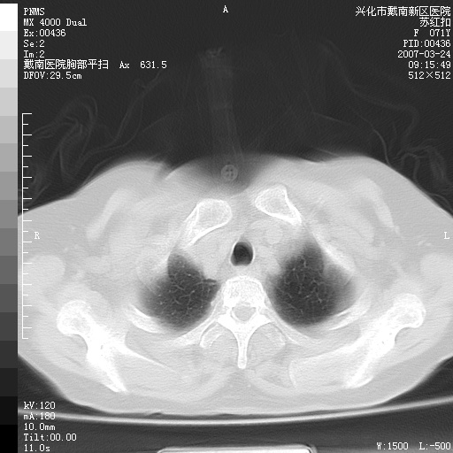
标题: CT7355:咳嗽咳痰六个月 [打印本页]

作者: zhuyoucao    时间: 2007-3-28 21:57
标题: CT7355:咳嗽咳痰六个月








[本贴已被 jiajie 于 2007-3-28 19:31:58 修改过]

作者: wxy7406    时间: 2007-3-29 04:29
支持一下,赶快接着发,把病例完成来。
作者: jw-830    时间: 2007-3-29 04:48
片子太少接着发
作者: 李晓阳    时间: 2007-3-29 05:00
图像不错
作者: swyyy2007    时间: 2007-3-29 05:30
这能说明什么问题吗
作者: shenhs    时间: 2007-3-29 05:37
片子太少
作者: liuzheng_9326    时间: 2007-3-29 06:07
性别?年龄?
图片质量不错,接着发呀!
作者: 拾荒者    时间: 2007-3-30 06:58
继续!
作者: jinning    时间: 2007-3-30 20:50
片子太少
作者: jinguoji    时间: 2007-4-2 10:09
片子太少,接着发呀!




欢迎光临 医影在线 (http://bbs.radida.com/bbs/) Powered by Discuz! X3.2