医影在线

标题: CT7364:头颅CT:请各位老师会诊 [打印本页]

作者: chmb    时间: 2007-3-30 03:27
标题: CT7364:头颅CT:请各位老师会诊
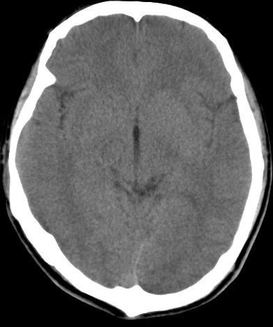
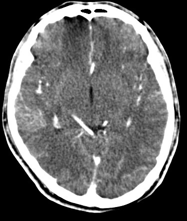
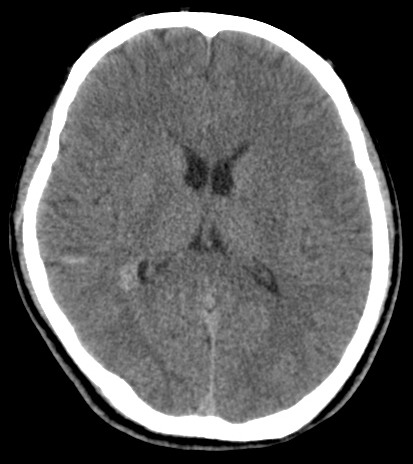
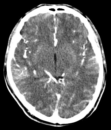
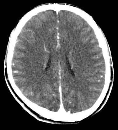
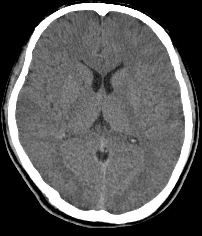
男,31岁,头疼就诊,其他不祥。





































[本贴已被 jiajie 于 2007-3-29 19:49:54 修改过]

作者: qiuleiyu    时间: 2007-3-30 03:35
考虑右颞叶脑血管畸形伴出血。avm可能大,建议dsa。
作者: 张中收    时间: 2007-3-30 03:36
平扫见右颞叶、右侧脑室后角旁略高密度影,增强未见明显病灶,基本正常。不放心做mri检查
作者: shang2    时间: 2007-3-30 03:47
支持2楼意见
作者: 卜一    时间: 2007-3-30 04:19
支持:avm可能大。
作者: jw-830    时间: 2007-3-30 04:24
考虑血管畸形伴出血可能性大
作者: 同    时间: 2007-3-30 04:55
考虑血管畸形伴出血可能性大
作者: 天南地北    时间: 2007-3-30 04:59
支持:avm可能大
作者: xulianj    时间: 2007-3-30 05:01
血管畸形可能大,建议作进一步检查。
作者: yanliang    时间: 2007-3-30 05:14
支持:avm可能大
作者: dyqct    时间: 2007-3-30 05:16
支持avm。
作者: ysxyy    时间: 2007-3-30 05:33
标题: 回复:ct7364:头颅ct:请各位老师会诊
男,31岁,头疼就诊,其他不祥。

作者: 朱亮    时间: 2007-3-30 06:02
ct强化扫描未见明显异常,建议mri
作者: 国窖1573    时间: 2007-3-30 06:53
脑血管畸形可能性大
作者: 狙击手    时间: 2007-3-30 07:20
标题: 回复:ct7364:头颅ct:请各位老师会诊
以下是引用qiuleiyu在2007-3-29 19:35:00的发言:[br]考虑右颞叶脑血管畸形伴出血。avm可能大,建议dsa。

支持!
作者: 拾荒者    时间: 2007-3-30 07:45
血管畸形可能性大,可结合mrcp检查。
作者: shuhuang2007    时间: 2007-3-30 15:54
脑血管畸形:avm?
作者: xiaoqvnmin    时间: 2007-3-30 16:52
标题: 回复:ct7364:头颅ct:请各位老师会诊
[img]/upload/forum/2007/03/300834297402.jpg[/img)
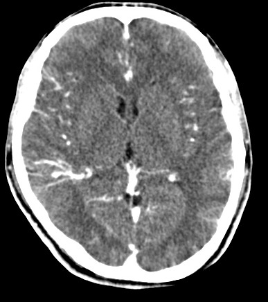
      病灶呈略高密度,周围伴环形水肿,无强化/无异常av影........
考虑为:1.脑内小血肿?   2.脑灰质异位?   建议mri检查........
作者: xiaoqvnmin    时间: 2007-3-30 16:55

      病灶呈略高密度,周围伴环形水肿,无强化/无异常av影........
考虑为:1.脑内小血肿?   2.脑灰质异位?   建议mri检查........
作者: jinning    时间: 2007-3-30 20:28
考虑血管畸形伴出血可能性大
作者: swyyy2007    时间: 2007-3-31 03:21
考虑右颞叶脑血管畸形伴出血。考虑静脉血管瘤,深部型的,avm不除外,建议dsa。
作者: jinguoji    时间: 2007-4-2 08:34
支持avm




欢迎光临 医影在线 (http://bbs.radida.com/bbs/) Powered by Discuz! X3.2