医影在线

标题: CT7371:[讨论]肺部病变! [打印本页]

作者: ayi    时间: 2007-3-30 08:04
标题: CT7371:[讨论]肺部病变!
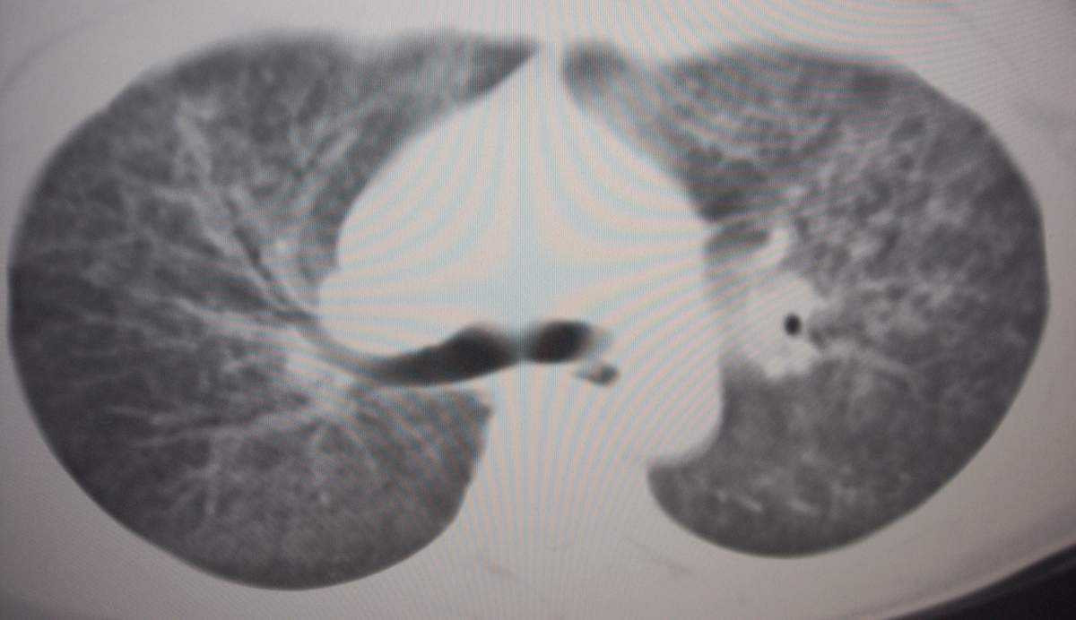
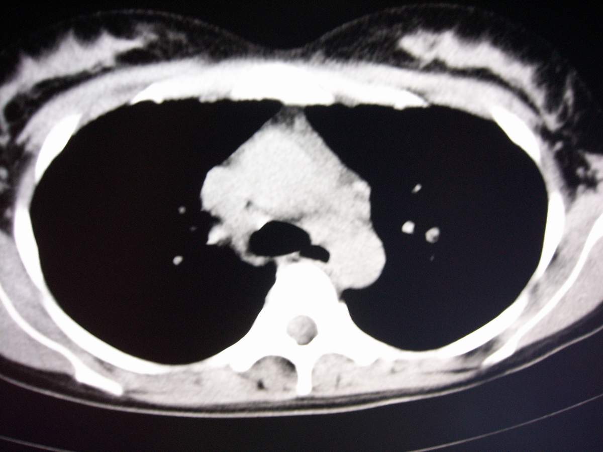
女,咳嗽、气喘2月余。











[本贴已被 jiajie 于 2007-3-30 9:42:01 修改过]

作者: mmg94    时间: 2007-3-30 08:32
肺泡蛋白沉着征?
作者: liuyue    时间: 2007-3-30 14:45
首先考虑: 肺泡蛋白沉着征。
作者: shuhuang2007    时间: 2007-3-30 15:40
两肺弥漫性病变,考虑:1。肺水肿。2。肺蛋白沉积症。
作者: 卜一    时间: 2007-3-30 16:09
双肺纹理增多,紊乱,呈网格状,期间搀杂斑片及磨玻璃样阴影.考虑;感染性病变_首先考虑:特殊感染:嗜酸性肺病.
作者: zyx168    时间: 2007-3-30 16:58
考虑;感染性病变
作者: ZHANGZHONGSHOU    时间: 2007-3-30 17:16
双肺弥漫性病变, 冠状重建肺血管增粗,建议继续上传详细临床资料,x线片
作者: 朱亮    时间: 2007-3-30 17:41
肺水肿
作者: zsl6918    时间: 2007-3-30 18:35
双肺弥漫性病变是肺部疾病诊断的难点和重点,需要很好的结合临床,如发烧不?心功能如何?免疫功能如何?另外我们影像科也应进一步把工作做细,如本病例应行高分辨扫描。
作者: dyqct    时间: 2007-3-30 18:56
双肺弥漫磨玻璃样影,边界不清,似蝶翼征。肺纹理增多。
考虑:肺泡蛋白沉积症。建议临床进一步检查。
作者: DUGUO    时间: 2007-3-30 19:08
肺水肿。
作者: 文莱    时间: 2007-3-30 19:48
肺泡蛋白沉着征
作者: jinning    时间: 2007-3-30 19:56
考虑;感染性病变
作者: 天南地北    时间: 2007-3-30 21:03
考虑;感染性病变_首先考虑:特殊感染。
作者: 碧水蓝天    时间: 2007-3-30 21:10
考虑肺泡蛋白沉积症
作者: 拾荒者    时间: 2007-3-31 03:25
标题: 回复:ct7371:[讨论]肺部病变!
以下是引用dyqct在2007-3-30 10:56:00的发言:[br]双肺弥漫磨玻璃样影,边界不清,似蝶翼征。肺纹理增多。[br]考虑:肺泡蛋白沉积症。建议临床进一步检查。

作者: jinguoji    时间: 2007-4-2 08:31
首先考虑:特殊感染。




欢迎光临 医影在线 (http://bbs.radida.com/bbs/) Powered by Discuz! X3.2