医影在线

标题: CT7372:脂肪肝?外伤? [打印本页]

作者: glyy    时间: 2007-3-30 16:57
标题: CT7372:脂肪肝?外伤?
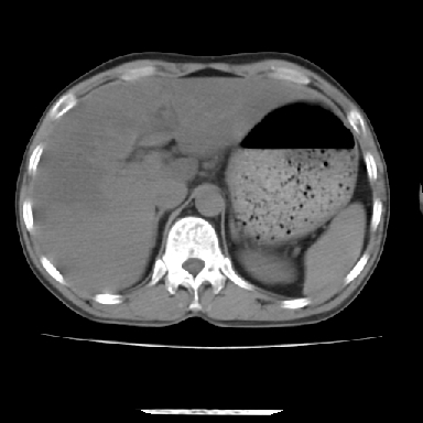
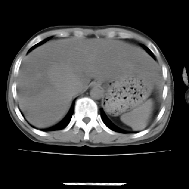
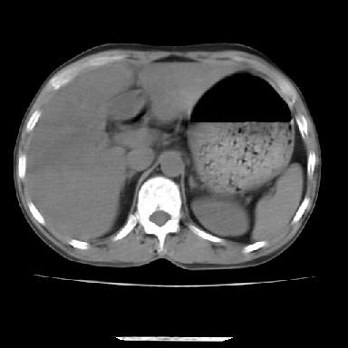
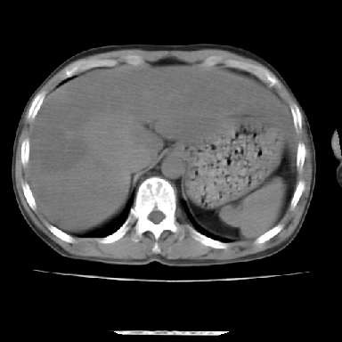
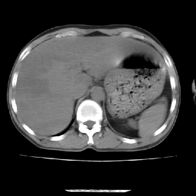
m 45 车祸,硬膜下血肿














[本贴已被 jiajie 于 2007-3-30 9:42:27 修改过]

作者: liaoqiang    时间: 2007-3-30 17:08
考虑脂肪肝。
作者: ZHANGZHONGSHOU    时间: 2007-3-30 17:10
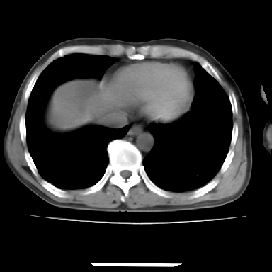
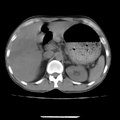
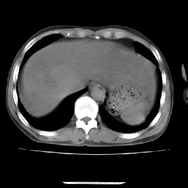
窗宽太宽,调低点就好了,应该是不均质脂肪肝表现,请结合临床,单纯肝挫伤  其内无出血灶很少见,必要时做mri检查
作者: hezhonghu    时间: 2007-3-30 17:21
窗宽太大,对比度太差了。局限性脂肪肝也有可能,但是亦不排除外伤性改变,增强扫描应该也还可以鉴别的。
作者: 朱亮    时间: 2007-3-30 17:54
脂肪肝
作者: qiu999    时间: 2007-3-30 18:25
肝内未见出血灶,但不能除外外伤性肝损伤,所示层面应考虑弥漫性脂肪肝.请结合临床必要时做mir检查
作者: gbj8004    时间: 2007-3-30 18:26
多考虑为脂肪肝
作者: dyqct    时间: 2007-3-30 18:58
考虑不均匀性脂肪肝,建议增强扫描进一步检查除外合并其它病变。
作者: w_jianhua    时间: 2007-3-30 19:24
脂肪肝可能性大,建议增强
作者: jinning    时间: 2007-3-30 19:58
考虑不均匀性脂肪肝
作者: 同    时间: 2007-3-30 20:47
考虑局限性脂肪肝
作者: 碧水蓝天    时间: 2007-3-30 20:56
标题: 回复:ct7372:脂肪肝?外伤?
以下是引用同在2007-3-30 12:47:00的发言:[br]考虑局限性脂肪肝

建议强化
作者: 天南地北    时间: 2007-3-30 21:01
考虑不均匀性脂肪肝,建议增强扫描进一步检查除外合并其它病变
作者: swyyy2007    时间: 2007-3-30 22:52
考虑不均匀性脂肪肝,建议增强扫描进一步检查除外合并其它病变
作者: zsl6918    时间: 2007-3-31 00:12
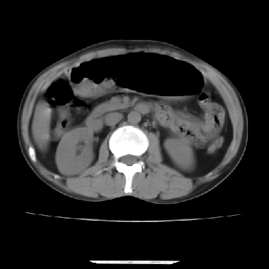
肋骨无骨折,腹腔未见游离液体,所以不均匀脂肪肝首先考虑,但如果病人情况允许还是做个增强检查放心
作者: 哎呀叮叮    时间: 2007-3-31 01:13
脂肪肝
作者: 拾荒者    时间: 2007-3-31 05:07
考虑不均匀性脂肪肝,肝包膜下光整,肋骨无异常,无腹水征,不支持肝挫伤。
作者: 宝天曼    时间: 2007-3-31 14:37
考虑不均匀性脂肪肝,
建议增强扫描进一步检查除外合并其它病变。
作者: tao772    时间: 2007-3-31 16:24
考虑不均匀性脂肪肝,建议增强扫描进一步检查除外合并其它病变。
作者: qc80012345    时间: 2007-3-31 17:11
考虑不均匀性脂肪肝,建议增强扫描进一步检查除外合并其它病变
作者: jinguoji    时间: 2007-4-2 07:52
考虑脂肪肝.




欢迎光临 医影在线 (http://bbs.radida.com/bbs/) Powered by Discuz! X3.2