医影在线

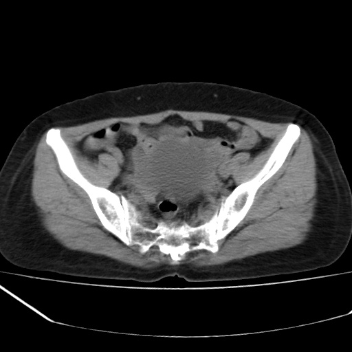
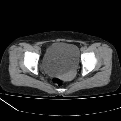
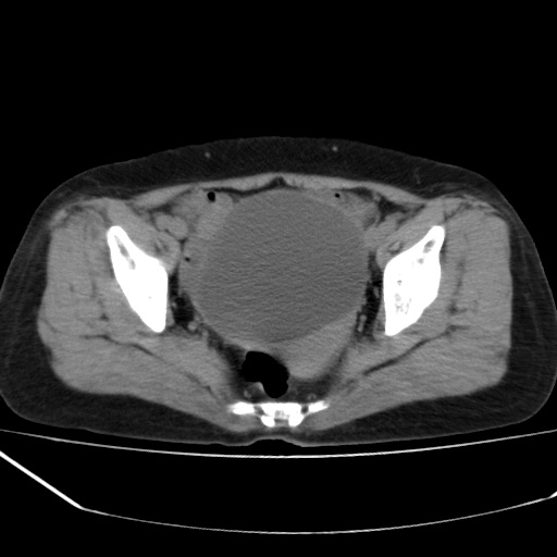
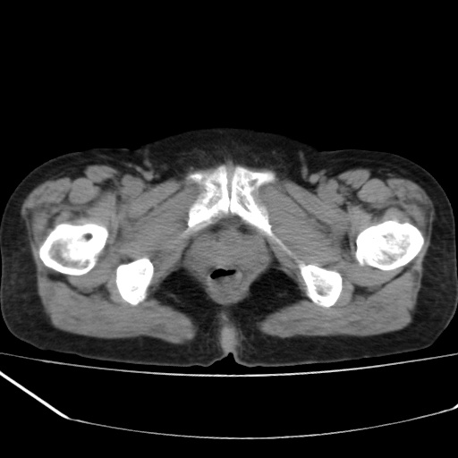
标题: CT7373:盆腔肿块待查 [打印本页]

作者: zhuyoucao    时间: 2007-3-30 18:14
标题: CT7373:盆腔肿块待查























[本贴已被 jiajie 于 2007-3-30 10:20:13 修改过]

作者: zhuyoucao    时间: 2007-3-30 18:17
下午病人等开刀
作者: ZHANGZHONGSHOU    时间: 2007-3-30 18:59
没见到肿块呀
作者: dyqct    时间: 2007-3-30 19:01
不好定性,只能说盆腔内囊性占位。为什么不增强呀!
作者: zhuyoucao    时间: 2007-3-30 19:18
病人不肯增强,是不是膀胱右前方那一个
作者: meng-msp001    时间: 2007-3-30 19:22
盆腔右前壁囊性占位,右耻骨轻微骨质吸收.性质选定,建议增扫或病理!!!!!
直肠右侧壁似有不规则增厚,ct值不详,境扫可鉴别有无异常.
附:病情,年龄很重要,本例未提供.影像不光是图像,也必须结合临床.
作者: zhuyoucao    时间: 2007-3-30 20:13
我只好报盆腔右前壁囊性占位,性质选定,建议增扫或病理.
作者: jinning    时间: 2007-3-30 20:14
膀胱右前方占位
作者: 同    时间: 2007-3-30 20:49
支持6楼战友
作者: 天南地北    时间: 2007-3-30 21:00
标题: 回复:ct7373:盆腔肿块待查

作者: swyyy2007    时间: 2007-3-30 22:57
是啊
增强或者等手术吧
作者: yemin92007    时间: 2007-3-30 23:14
定位可以,定性困难,建议强化或手术病理定性。
作者: 拾荒者    时间: 2007-3-31 05:34
病史?临床表现?膀胱右前方囊性占位,边缘光整,考虑良性,建议结合b超检查,既然要做手术,等手术结果吧,只是觉得手术仓促了些。
作者: 宝天曼    时间: 2007-3-31 14:33
我只好报盆腔右前壁囊性占位,性质选定,建议增扫或病理
作者: qc80012345    时间: 2007-3-31 17:45
盆腔内囊性占位;加强不配合可穿刺?
作者: jinguoji    时间: 2007-4-2 07:47
膀胱右前壁囊性占位,性质难定,要做手术,那就等手术结果吧.




欢迎光临 医影在线 (http://bbs.radida.com/bbs/) Powered by Discuz! X3.2