医影在线

标题: CT7374:肺部病变,请市讨论肿块性质 [打印本页]

作者: haogandian    时间: 2007-3-30 18:38
标题: CT7374:肺部病变,请市讨论肿块性质
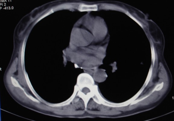
女,60岁咳嗽咳痰7天,痰中带血,有发热史,血象大约6000


































[本贴已被 jiajie 于 2007-3-30 10:48:27 修改过]

作者: huxuelong    时间: 2007-3-30 18:51
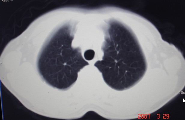
考虑双肺结核伴左侧病灶内空洞形成
作者: ZHANGZHONGSHOU    时间: 2007-3-30 18:52
左肺脓肿  双肺炎症 建议抗炎治疗后复查
作者: meng-msp001    时间: 2007-3-30 18:58
双肺多发病灶,呈多形性,多叶分布,左上叶尖后段靠胸壁病灶伴有空洞,边缘模糊,与胸壁呈刀切征.
考虑混合感染以tb为主.
作者: w_jianhua    时间: 2007-3-30 19:19
双肺tb并左肺下叶空洞形成可能性大,建议痰检。期待结果
作者: 天南地北    时间: 2007-3-30 20:54
考虑双肺结核伴左侧病灶内空洞形成
作者: 碧水蓝天    时间: 2007-3-30 22:38
右肺结核,左肺炎症
作者: swyyy2007    时间: 2007-3-30 22:42
考虑双肺结核伴左侧病灶内空洞形成
作者: zsl6918    时间: 2007-3-30 23:44
多灶,多形,少聚,少块。卫星灶,空洞影,树芽征,结核可能性大
作者: chmb    时间: 2007-3-30 23:54
双肺结核左侧空洞形成,建议查痰。
作者: 哎呀叮叮    时间: 2007-3-31 01:04
胸膜下结节伴空洞,结核!
作者: jinning    时间: 2007-3-31 02:48
胸膜下结节伴空洞,结核!
作者: 拾荒者    时间: 2007-3-31 05:16
标题: 回复:ct7374:肺部病变,请市讨论肿块性质
以下是引用meng-msp001在2007-3-30 10:58:00的发言:[br]双肺多发病灶,呈多形性,多叶分布,左上叶尖后段靠胸壁病灶伴有空洞,边缘模糊,与胸壁呈刀切征.[br]考虑混合感染以tb为主.

支持,建议痰检及ppd检查。
作者: 宝天曼    时间: 2007-3-31 14:36
考虑双肺结核伴左侧病灶内空洞形成
作者: tao772    时间: 2007-3-31 16:28
以下是引用meng-msp001在2007-3-30 10:58:00的发言:
双肺多发病灶,呈多形性,多叶分布,左上叶尖后段靠胸壁病灶伴有空洞,边缘模糊,与胸壁呈刀切征.
考虑混合感染以tb为主.


支持,建议痰检及ppd检查。
作者: qc80012345    时间: 2007-3-31 17:09
ot试验;支持结核诊断。
作者: shuqiang1    时间: 2007-3-31 18:28
支持双肺结核,左肺空洞形成。
作者: jinguoji    时间: 2007-4-2 07:43
双肺结核,左肺空洞形成。建议痰检




欢迎光临 医影在线 (http://bbs.radida.com/bbs/) Powered by Discuz! X3.2