医影在线
标题: CT7382:[原创]上腹部CT平扫 [打印本页]
作者: 同 时间: 2007-3-30 20:53
标题: CT7382:[原创]上腹部CT平扫
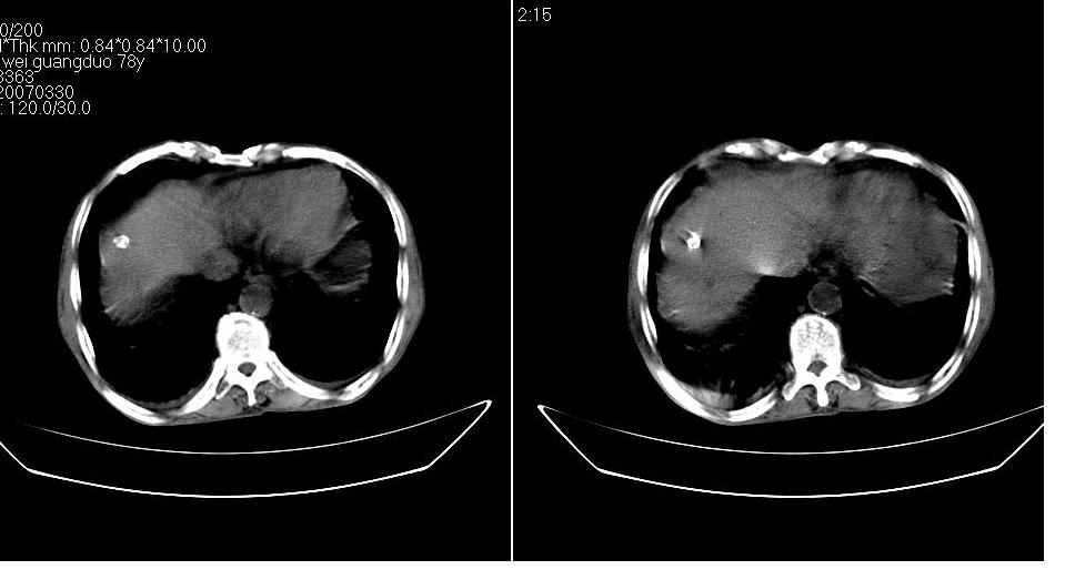
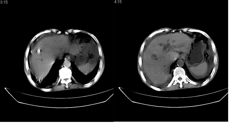
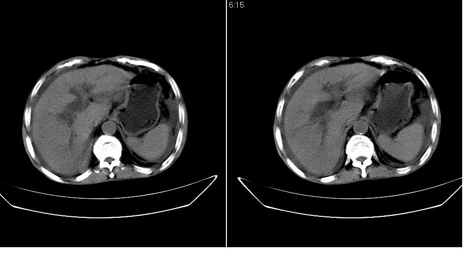
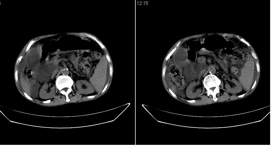
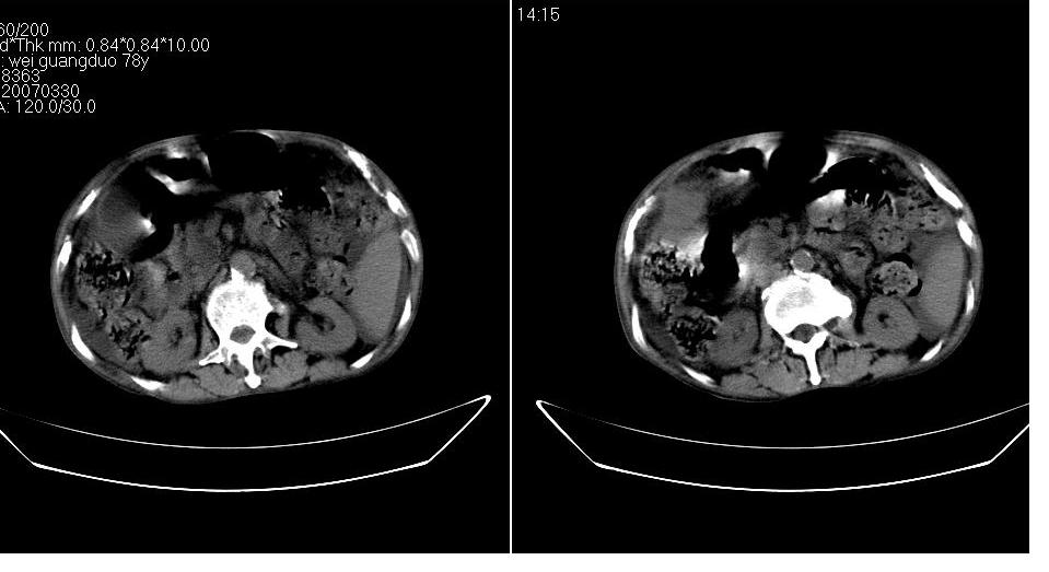
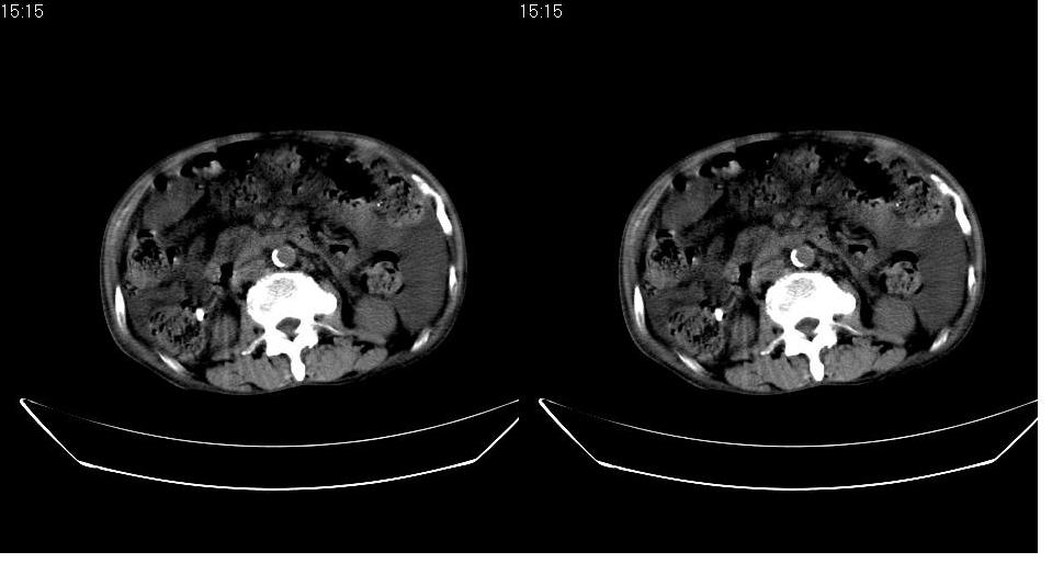
男 78岁,全身黄染,病人家属拒绝增强。








[本贴已被 gaozhengyi 于 2007-3-30 13:29:37 修改过]
[本贴已被 翁志蓬 于 2007-3-30 13:58:47 修改过]
作者: dyqct 时间: 2007-3-30 23:19
胆总管下端梗阻(原因待查)伴肝内外胆管扩张、胆囊积水。
作者: 卜一 时间: 2007-3-30 23:55
肝周 脾周 胆囊窝内明显积液,胆囊扩大,胆囊壁模糊,肝内胆管扩张。考虑;胆囊癌周边侵润伴腹水。
作者: 天南地北 时间: 2007-3-31 02:18
支持:胆囊癌周边侵润伴腹水。
作者: jinning 时间: 2007-3-31 02:29
支持:胆囊癌周边侵润伴腹水。
作者: 拾荒者 时间: 2007-3-31 06:24
周 脾周 胆囊窝内明显积液,胆囊扩大,胆囊壁模糊,肝内胆管扩张。考虑;胆囊癌周边侵润伴腹水。
支持!
作者: jinguoji 时间: 2007-3-31 08:03
支持胆囊癌周边侵润伴腹水。
作者: ayi 时间: 2007-3-31 08:57
1、梗阻性黄疸(胆总管下段病变或十二指肠病变)。
2、胆囊炎,腹水。
3、肝内钙化灶(寄生虫?)。
4、建议mri检查。
作者: 宝天曼 时间: 2007-3-31 14:04
考虑;胆囊癌周边侵润伴腹水。
| 欢迎光临 医影在线 (http://bbs.radida.com/bbs/) |
Powered by Discuz! X3.2 |