医影在线
标题: CT7385:[讨论]上腹部CT! [打印本页]
作者: ayi 时间: 2007-3-30 21:23
标题: CT7385:[讨论]上腹部CT!
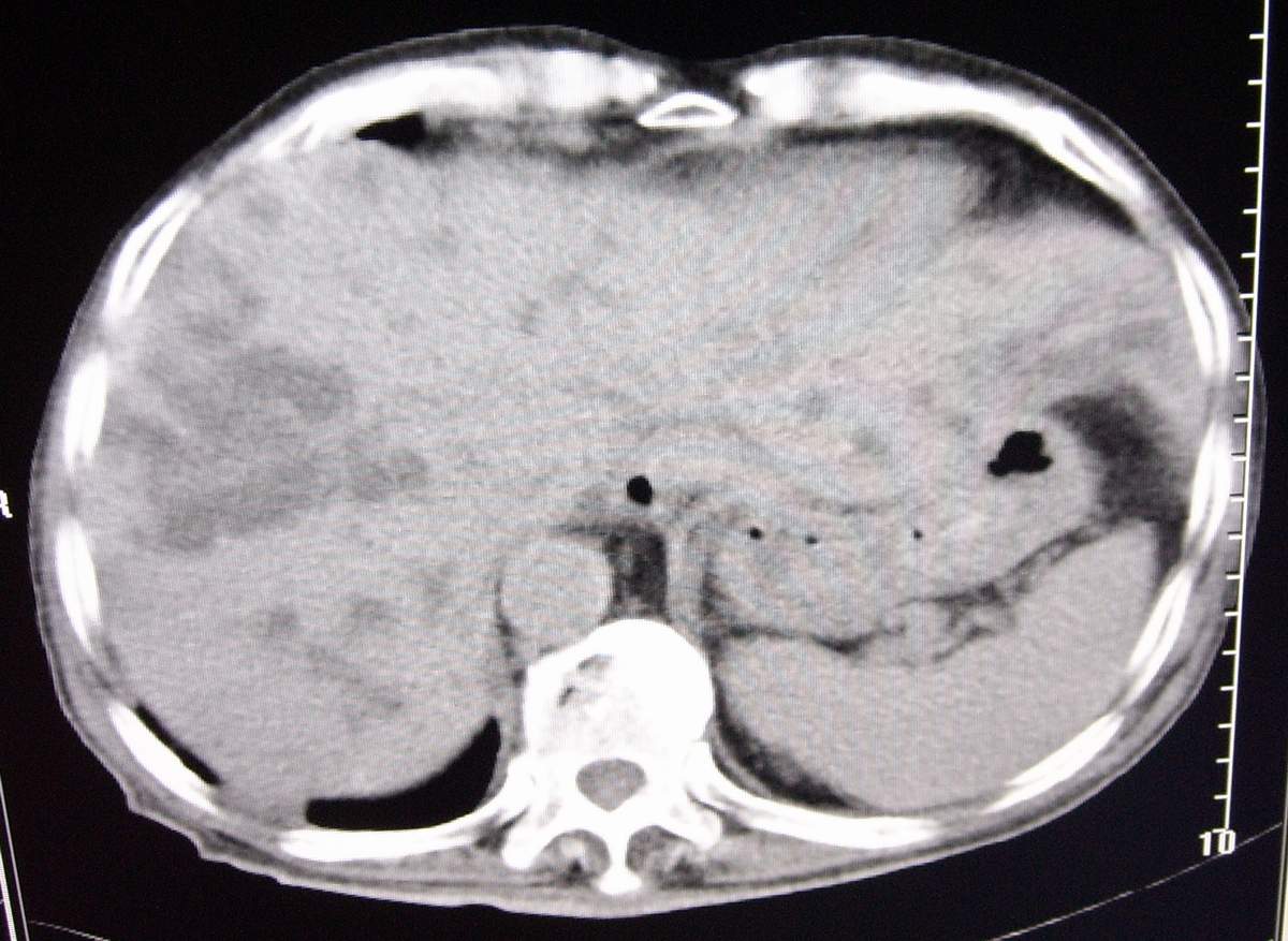
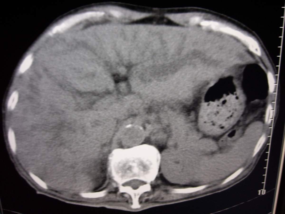
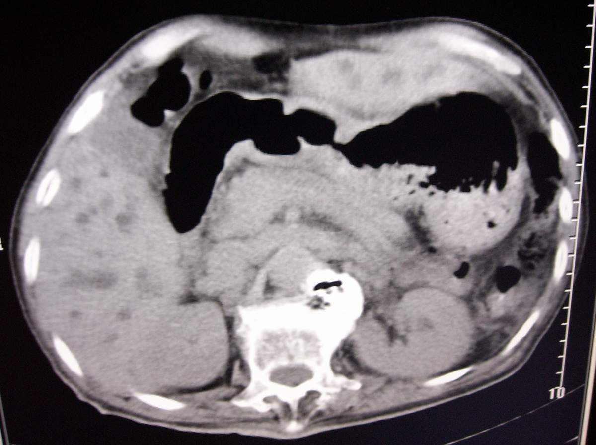
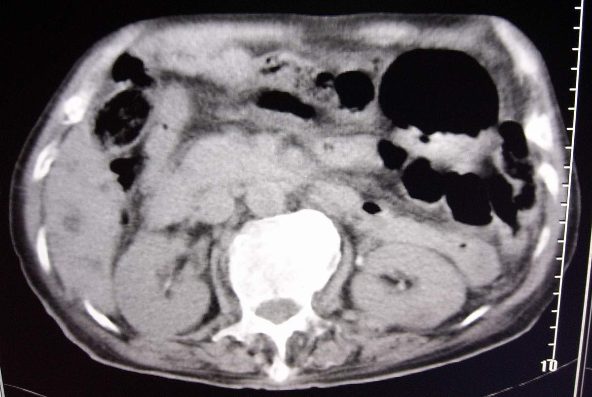
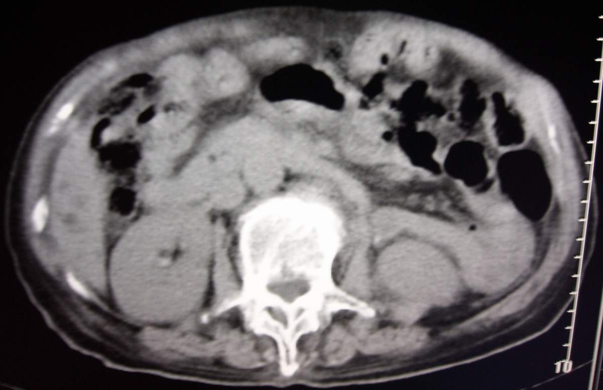
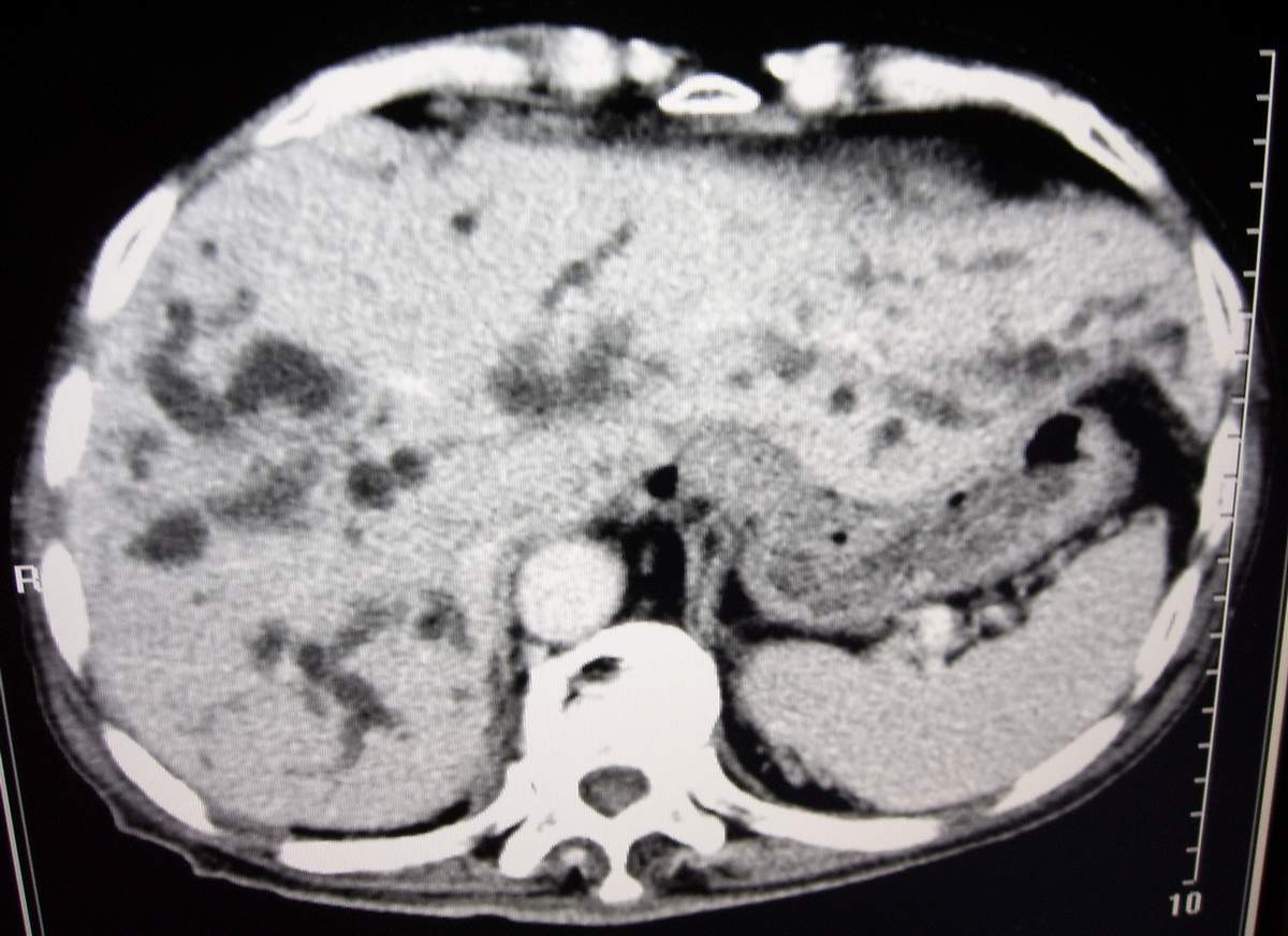
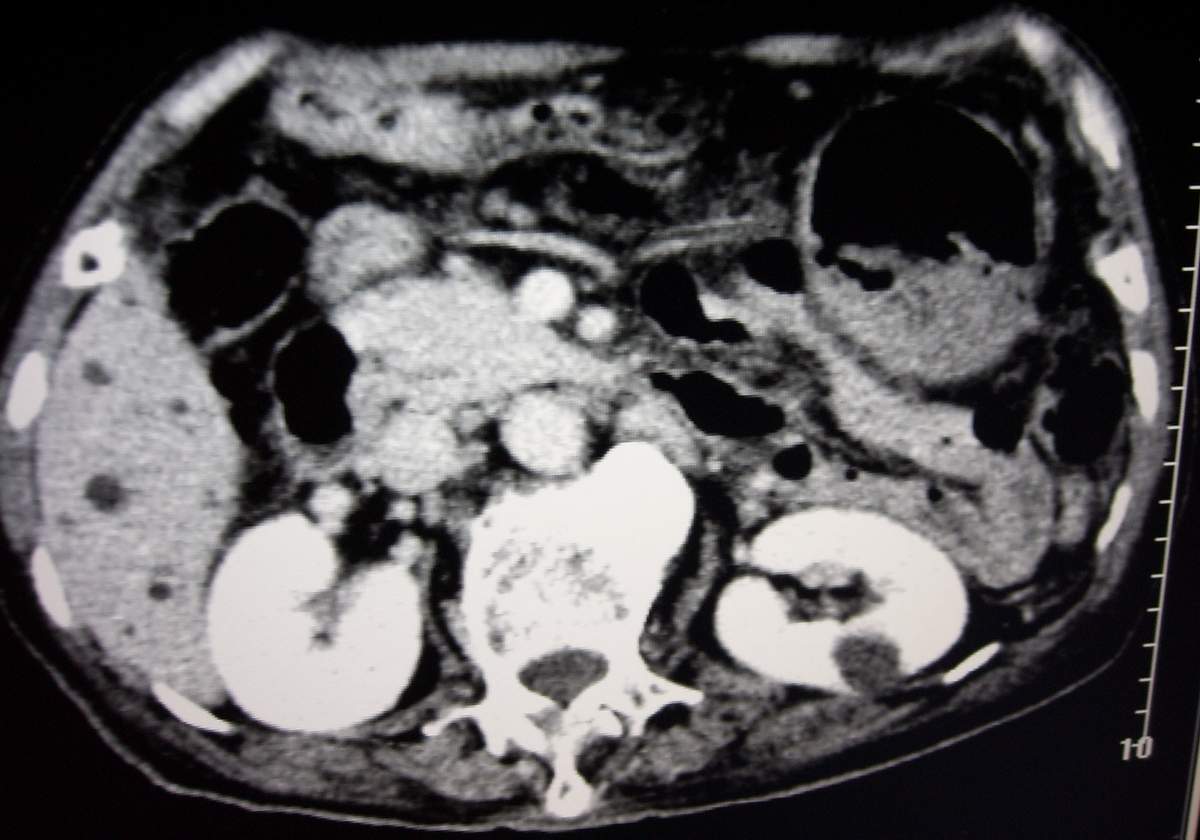
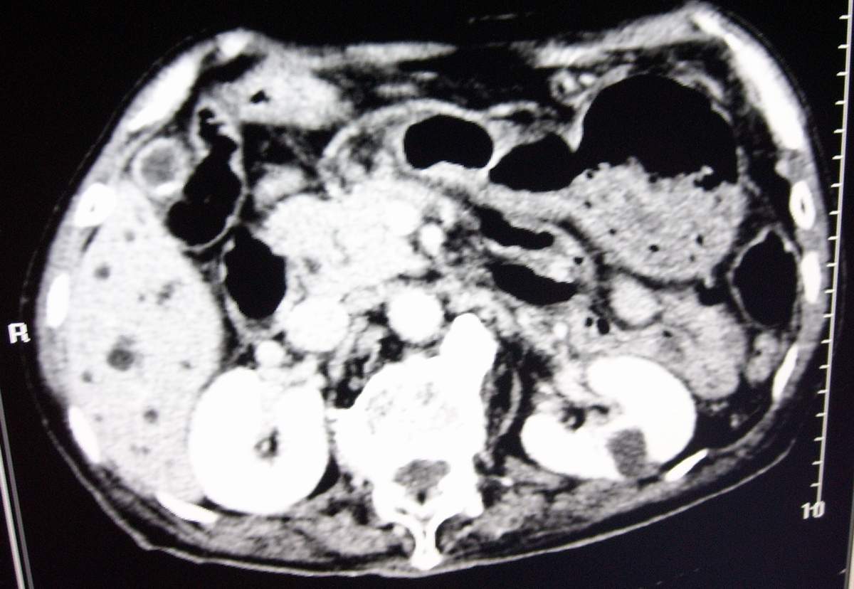
男,77岁,病史不详。













[本贴已被 gaozhengyi 于 2007-3-30 13:34:24 修改过]
[本贴已被 翁志蓬 于 2007-3-30 14:00:57 修改过]
作者: ZHANGZHONGSHOU 时间: 2007-3-30 21:40
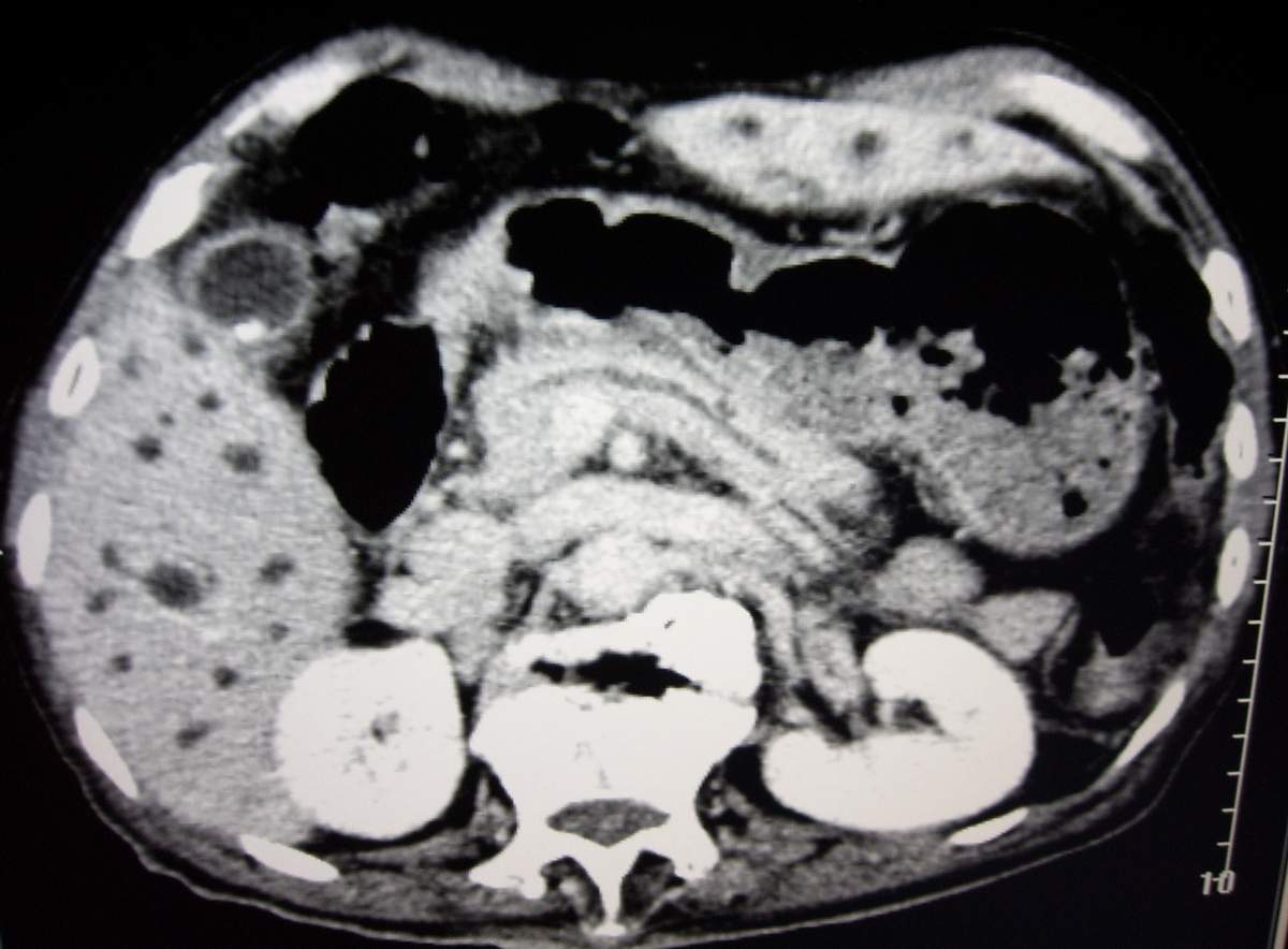
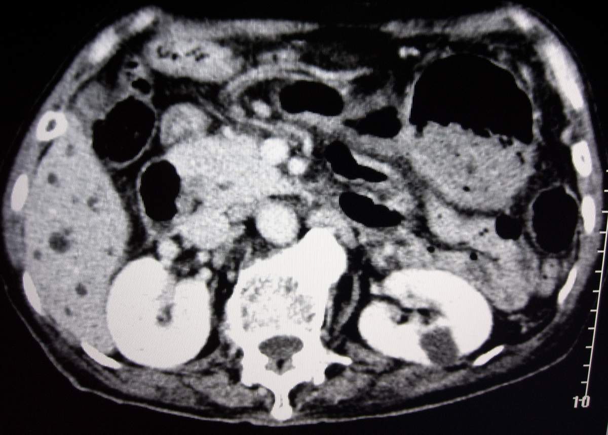
肝内胆管扩张、主胰管扩张 ,胰头影大,考虑胰头癌或胆管下端癌侵犯胰腺可能性大
建议mrcp检查。
另外见:胆囊结石 左肾囊肿
作者: swyyy2007 时间: 2007-3-30 21:44
肝内外胆管明显扩张,但是程度较轻,应该是个慢性的过程,增强扫描后未见明显异常强化,胰管增宽、扩张考虑为胰头部占位性病变。
作者: 碧水蓝天 时间: 2007-3-30 21:46
慢性胆囊炎,胆结石,左肾囊肿肝内胆管扩张,胰头大,考虑胰头癌
作者: jone-baby 时间: 2007-3-30 22:32
肝内外胆管明显扩张,但是程度较轻,应该是个慢性的过程,增强扫描后未见明显异常强化,胰管增宽、扩张考虑为胰头部占位性病变。
作者: zjzjr 时间: 2007-3-30 22:56
慢性胆囊炎,胆结石,左肾囊肿,胰头癌伴肝内胆管、胰管扩张,不除外侵犯肠系膜上静脉的可能。
作者: 卜一 时间: 2007-3-30 23:29
肝内外胆管明显扩张,肝门区见软组织密度肿块,胆囊壁增厚,胆囊扩大。胰头不大。考虑:肝门区胆管细胞癌。
作者: dyqct 时间: 2007-3-30 23:30
考虑:1、华枝睾吸虫肝病(肝外胆管未见扩张,肝内胆管不成比例扩张,也就是失去分支规律的扩张,呈
外部呈柱状或囊状扩张,中部无明显扩张,而且边界不清);
2、胆囊结石、胆囊炎;
3、左肾小囊肿;
4、病人是何方人士?
作者: husiling 时间: 2007-3-31 00:03
肝内胆管扩张明显,cbd未见明显扩张,胰管轻度扩张,肝门部胆总管癌?
作者: 哎呀叮叮 时间: 2007-3-31 00:23
肝内胆管普遍扩张,呈串珠状改变,走行不规则,且右叶胆管周围肝实质密度呈条片状减低,未见占位性病变,外周胆管及胰管扩张不及肝内胆管.胰腺钩突形态正常,胰十二指肠区域未见明显结节及肿块,初步考虑慢性胆管炎可能性大.请结合临床病史.另外用宽窗看一下吉氏筋膜有无增厚.
作者: liaoqiang 时间: 2007-3-31 00:27
1肝门区域软组织影,肝内胆管明显扩张,胰管轻度扩张。考虑肝门区胆管细胞癌。2胆囊结石。3左肾小囊肿。
作者: 国窖1573 时间: 2007-3-31 01:40
1 肝内外胆管扩张,肝内明显,胰管扩张,胰头明显增大,符合胰头癌双管征。2 胆囊壁略增厚,胆囊内可见高密度结石影,胆囊炎、胆结石3 左肾囊肿
作者: 裴德医生 时间: 2007-3-31 01:47
肝内胆管普遍扩张,呈串珠状改变,走行不规则,且右叶胆管周围肝实质密度呈条片状减低,未见占位性病变,外周胆管及胰管扩张不及肝内胆管.胰腺钩突形态正常,胰十二指肠区域未见明显结节及肿块,初步考虑慢性胆管炎可能性大.请结合临床病史.另外用宽窗看一下吉氏筋膜有无增厚.
作者: 天南地北 时间: 2007-3-31 02:12
标题: 回复:ct7385:[讨论]上腹部ct!
以下是引用dyqct在2007-3-30 15:30:00的发言:[br]考虑:1、华枝睾吸虫肝病(肝外胆管未见扩张,肝内胆管不成比例扩张,也就是失去分支规律的扩张,呈[br] 外部呈柱状或囊状扩张,中部无明显扩张,而且边界不清);[br] 2、胆囊结石、胆囊炎;[br] 3、左肾小囊肿;[br] 4、病人是何方人士?[br]
作者: jinning 时间: 2007-3-31 02:16
符合胰头癌双管征。2 胆囊壁略增厚,胆囊内可见高密度结石影,胆囊炎、胆结石3 左肾囊肿
作者: 拾荒者 时间: 2007-3-31 03:19
标题: 回复:ct7385:[讨论]上腹部ct!
[quote]以下是引用哎呀叮叮在2007-3-30 16:23:00的发言:[br]肝内胆管普遍扩张,呈串珠状改变,走行不规则,且右叶胆管周围肝实质密度呈条片状减低,未见占位性病变,外周胆管及胰管扩张不及肝内胆管.胰腺钩突形态正常,胰十二指肠区域未见明显结节及肿块,初步考虑慢性胆管炎可能性大.请结合临床病史.另外还有、胆囊炎、胆囊结石,左肾囊肿。
支持!当然,肝门区胆管细胞癌不能排除。期待随访结果。
作者: qiuleiyu 时间: 2007-3-31 03:53
标题: 回复:ct7385:[讨论]上腹部ct!
以下是引用卜一在2007-3-30 15:29:00的发言:[br]肝内外胆管明显扩张,肝门区见软组织密度肿块,胆囊壁增厚,胆囊扩大。胰头不大。考虑:肝门区胆管细胞癌。
作者: zhanghua2086 时间: 2007-3-31 03:55
肝管及胰管扩张 建议做个ercp
作者: 求知若渴 时间: 2007-3-31 03:56
肝内胆管普遍扩张,呈串珠状改变,走行不规则,且右叶胆管周围肝实质密度呈条片状减低,未见占位性病变,外周胆管及胰管扩张不及肝内胆管.胰腺钩突形态正常,胰十二指肠区域未见明显结节及肿块,初步考虑慢性胆管炎可能性大.请结合临床病史.另外还有、胆囊炎、胆囊结石,左肾囊肿。
支持!当然,肝门区胆管细胞癌不能排除。期待随访结果。
作者: 宝天曼 时间: 2007-3-31 14:38
慢性胆囊炎,胆结石,左肾囊肿肝内胆管扩张,胰头大,考虑胰头癌
作者: qc80012345 时间: 2007-3-31 17:39
左肾小囊肿;胆囊结石、胆囊炎;肝内外胆管明显扩张;胰管增宽[炎性病变所致]。
作者: jinguoji 时间: 2007-4-2 07:54
慢性胆囊炎,胆结石,左肾囊肿肝内胆管扩张,胰头大,考虑胰头癌
| 欢迎光临 医影在线 (http://bbs.radida.com/bbs/) |
Powered by Discuz! X3.2 |