医影在线
标题: CT7390:[讨论] [打印本页]
作者: yanliang 时间: 2007-3-31 01:19
标题: CT7390:[讨论]
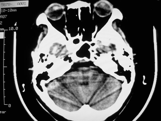
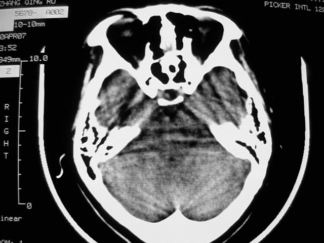
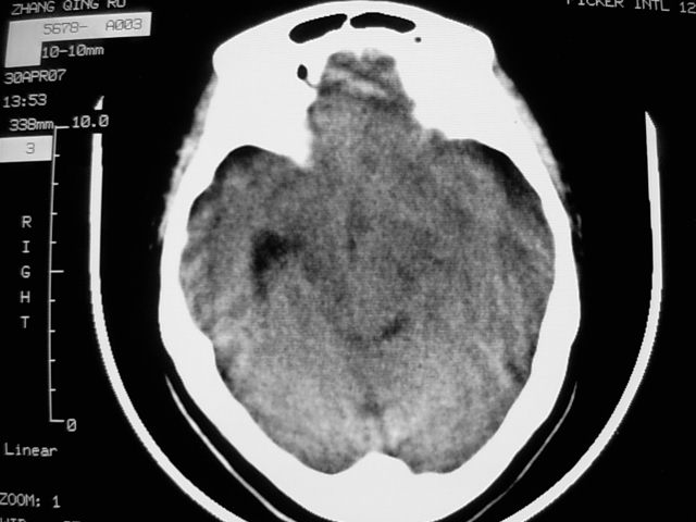
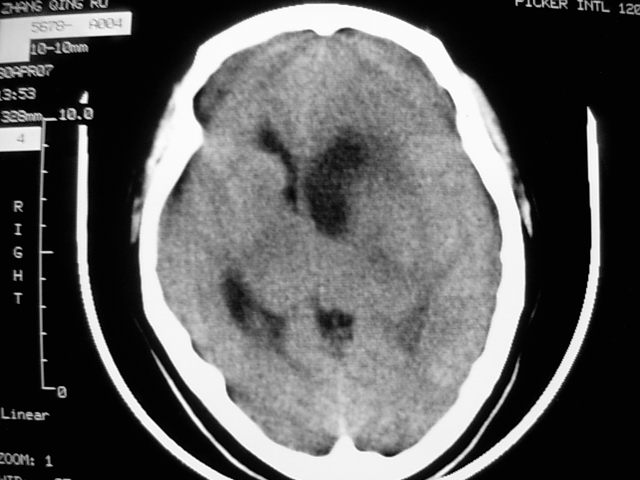
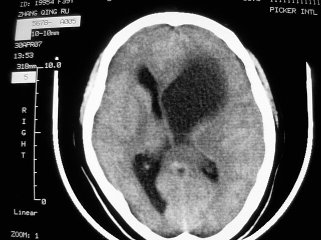
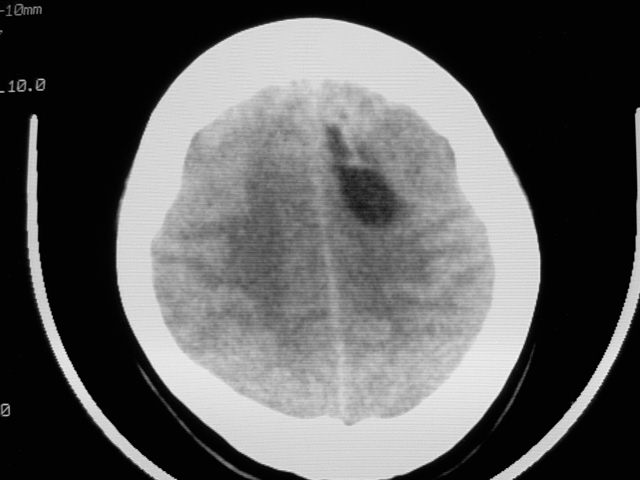
f39y,头疼、眩晕。患者拒绝强化。










[本贴已被 翁志蓬 于 2007-3-30 17:47:09 修改过]
[本贴已被 翁志蓬 于 2007-3-30 17:49:38 修改过]
作者: 老爱克斯 时间: 2007-3-31 02:36
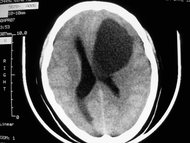
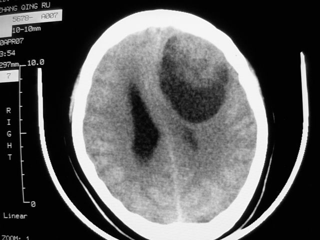
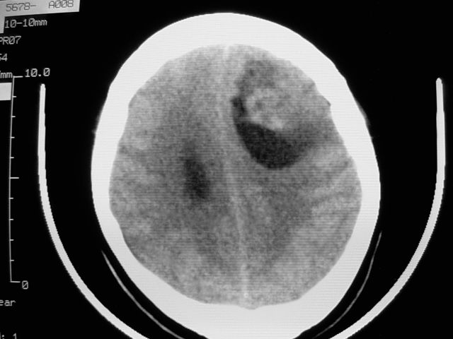
左侧脑室增大,前角明显,中线向右移位,左侧脑室内见一肿块,密度不均,1室管膜瘤?2脑囊虫?
作者: dyqct 时间: 2007-3-31 02:58
左额叶见一巨大椭圆形略低、低密度混杂密度肿块,边界清楚,似与侧脑室额角相通,明显占位效应,左侧侧脑室受压变形,右侧侧脑室扩大,中线结构向右明显弧形移位。鞍上池闭塞。
考虑:1、左额叶良性占位性病变,以皮样囊肿可能性大,伴镰下疝。
2、建议增强扫描或mri进一步检查。
作者: swyyy2007 时间: 2007-3-31 02:59
左侧脑室增大,前角明显,中线向右移位,左侧脑室内见一肿块,密度不均,内见钙化,1室管膜瘤?2脑囊虫?
作者: qiuleiyu 时间: 2007-3-31 03:01
室管膜瘤可能大。胶质瘤不除外。
作者: 3351277 时间: 2007-3-31 03:10
请楼主和我联系 qq3351277
作者: 卜一 时间: 2007-3-31 03:27
标题: 回复:ct7390:[讨论]
类圆形低密度病灶与脑室内密度明显有差别,考虑:低密度病灶压迫四脑室形成的特殊影像。支持:皮样囊肿。
作者: w_jianhua 时间: 2007-3-31 03:39
1.室管膜瘤2。皮样囊肿,期待结果
作者: 同 时间: 2007-3-31 03:52
考虑 1 室管目瘤 2 皮样囊肿 期待结果。
作者: wxy7406 时间: 2007-3-31 05:07
肿瘤不再脑室内,左侧的脑室受压了;从平扫考虑两种可能:1.脑膜瘤;2.囊型胶质瘤。
作者: 念羊经 时间: 2007-3-31 05:38
期待结果
作者: 天南地北 时间: 2007-3-31 05:41
考虑:1、左额叶良性占位性病变,以皮样囊肿可能性大,伴镰下疝。
2、建议增强扫描或mri进一步检查。
支持
作者: 狙击手 时间: 2007-3-31 06:00
感觉病灶位于侧脑室前角内,而体部受压,病灶形态同前角一致,右侧脑室前角变形并不太严重,病灶呈混杂密度,考虑皮样囊肿或室管膜瘤可能性大一些。
作者: zjzjr 时间: 2007-3-31 07:12
病灶前外侧似可见软组织密度影,考虑囊性星形细胞瘤,建议增强或mr.
作者: liuyue 时间: 2007-3-31 07:44
皮样囊肿可能性大
作者: 宝天曼 时间: 2007-3-31 14:25
1.室管膜瘤2。皮样囊肿,期待结果
作者: tao772 时间: 2007-3-31 16:48
左侧脑室增大,前角明显,中线向右移位,左侧脑室内见一肿块,密度不均,1室管膜瘤?
作者: qc80012345 时间: 2007-3-31 16:54
室管膜瘤
作者: jinning 时间: 2007-4-1 04:00
考虑 1 室管目瘤 2 皮样囊肿 期待结果。
作者: jinguoji 时间: 2007-4-2 07:26
皮样囊肿可能性大,期待结果.
| 欢迎光临 医影在线 (http://bbs.radida.com/bbs/) |
Powered by Discuz! X3.2 |