医影在线

标题: CT07391:急!急!急!请会诊!:肝右叶前段肝癌并腹膜后淋巴结 [打印本页]

作者: zhiqiang    时间: 2007-3-31 01:20
标题: CT07391:急!急!急!请会诊!:肝右叶前段肝癌并腹膜后淋巴结
(增强图片:http://www.radida.com/bbs/forum.php?mod=viewthread&tid=22893
(结果公布:http://www.radida.com/bbs/forum.php?mod=viewthread&tid=22894
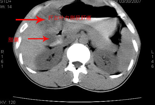
患者 、男性、32岁。病史:小三阳病史5年余。右肋胀痛半年余。
超声检查:肝右前叶可探及大小约58mmx58mm稍强回声反射,轮廓清,形态规则,cdfi:周边及内部可见点状血流信号。
ct:肝右叶前段可见团块状混杂密度影,大小约58mmx58mm,腹膜后可见肿大淋巴结。该患者拒绝增强。请会诊!明天予穿刺明确诊断.ct诊断意见:肝右叶前段肝癌并腹膜后淋巴结转移。

00943737 (229 KB, 下载次数: 440)

a01.jpg

00943738 (196 KB, 下载次数: 458)

a02.jpg

00943739 (167 KB, 下载次数: 481)

a03.jpg

00943740 (152 KB, 下载次数: 450)

a04.jpg

作者: 天南地北    时间: 2007-3-31 02:13
支持楼主意见
期待结果。
作者: wqs571018    时间: 2007-3-31 02:27
支持!
作者: 柯长存    时间: 2007-3-31 02:46
建议增强
作者: swyyy2007    时间: 2007-3-31 02:50
支持
作者: 国窖1573    时间: 2007-3-31 02:55
支持
作者: dyqct    时间: 2007-3-31 03:00
支持肝左叶内侧段占位性病变,以肝癌可能性大。
作者: qiuleiyu    时间: 2007-3-31 03:05
建议增强。
作者: 求知若渴    时间: 2007-3-31 03:32
标题: 回复:ct7391急!急!急!请会诊!:肝右叶前段肝癌并腹膜后

作者: w_jianhua    时间: 2007-3-31 03:33
支持肝左叶内侧段占位性病变,以肝癌可能性大。
作者: 同    时间: 2007-3-31 03:56
支持肝左叶内侧段占位性病变,肝癌可能性大。
作者: jw-830    时间: 2007-3-31 04:50
肝左叶内侧段占位性病变,考虑肝癌可能性大,建议增强扫描以明确诊断
作者: 念羊经    时间: 2007-3-31 05:14
支持肝左叶内侧段占位性病变
作者: wxy7406    时间: 2007-3-31 05:16
高度怀疑肝癌,是否有腹部淋巴转移看不出。
作者: 悟空    时间: 2007-3-31 05:41
查afp,若持续明显增高更有意义。
作者: tanjiuzhe313    时间: 2007-3-31 06:08
腹部大血管周围界线不清,隐约可见肿大的淋巴结,再加上左肝内叶的低密度灶,肝内恶性占位的可能性大.
作者: zjzjr    时间: 2007-3-31 07:06
支持肝左叶内侧段占位性病变,以肝癌可能性大。
作者: liuyue    时间: 2007-3-31 07:40
支持肝癌伴腹膜后淋巴结转移
作者: 狙击手    时间: 2007-3-31 07:46
支持肝癌伴腹膜后淋巴结转移
作者: jinguoji    时间: 2007-3-31 08:23
支持肝左叶内侧段占位性病变,以肝癌可能性大。建议增强。
作者: ayi    时间: 2007-3-31 08:27
考虑胃窦部占位并腹膜后淋巴结转移,请结合临床。
作者: 宝天曼    时间: 2007-3-31 14:09
支持肝左叶内侧段占位性病变,以肝癌可能性大
作者: 拾荒者    时间: 2007-4-1 03:02
支持肝左叶内侧段占位性病变,以肝癌可能性大。
作者: jinning    时间: 2007-4-1 03:57
支持肝左叶内侧段占位性病变,以肝癌可能性大。
作者: 李晓阳    时间: 2007-4-1 05:41
支持肝癌
作者: sunxb1010    时间: 2007-4-1 07:40
支持肝癌
作者: zhanglixian1985    时间: 2007-4-5 01:48
支持
作者: 小猫钓鱼    时间: 2009-4-20 05:39
支持肝癌!
作者: gule    时间: 2009-4-20 07:19
支持肝左叶内侧段占位性病变,以肝癌可能性大。查afp。
作者: pysylhj    时间: 2009-4-20 17:18
支持,
作者: dr.yang    时间: 2012-6-24 16:18
学习了




欢迎光临 医影在线 (http://bbs.radida.com/bbs/) Powered by Discuz! X3.2