医影在线

标题: PED0056:男 1岁多 呕吐、腹胀、肛闭3天,小儿腹部 [打印本页]

作者: liaoqiang    时间: 2007-3-31 01:24
标题: PED0056:男 1岁多 呕吐、腹胀、肛闭3天,小儿腹部
(结果公布:http://www.radida.com/bbs/forum.php?mod=viewthread&tid=22850)
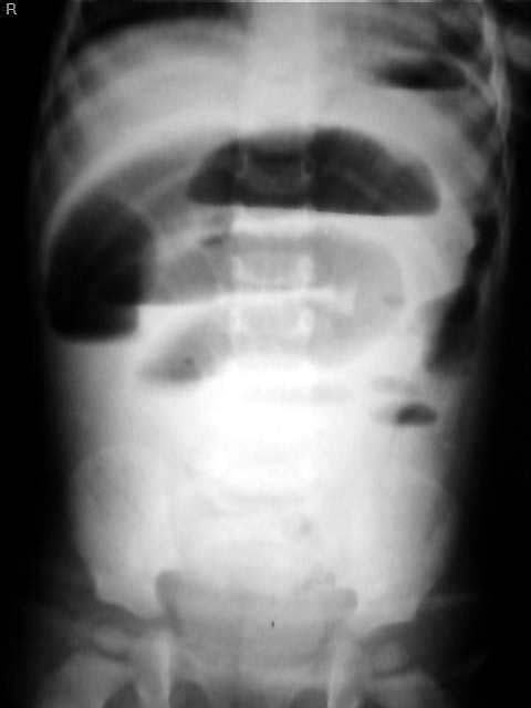
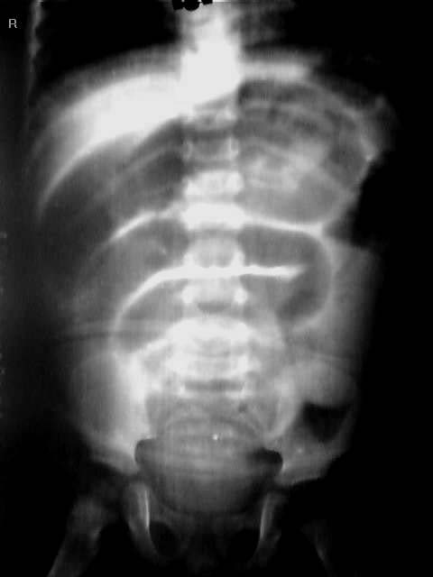
病史会诊单只提示:男 1岁多 呕吐、腹胀、肛闭3天。(没有数码相机,图片质量不好,请谅解!)






[本贴已被 jiajie 于 2007-5-13 6:38:23 修改过]

作者: 小翟    时间: 2007-3-31 04:27
肠套叠
作者: dyqct    时间: 2007-3-31 05:11
只能说是低位性肠梗阻。是不是肠套迭,要做空气灌肠才可诊断。
作者: yangyangdj521    时间: 2007-3-31 05:43
我同意楼上的意见,可以说是低位梗阻(考虑肠套叠可能性大)
作者: 天南地北    时间: 2007-3-31 05:53
只能说是低位性肠梗阻。是不是肠套迭,要做空气灌肠才可诊断。
作者: 小晟晟    时间: 2007-3-31 05:56
支持低位性肠梗阻。是不是肠套迭,要做空气灌肠才可诊断。
作者: jinguoji    时间: 2007-3-31 07:26
低位性肠梗阻。是不是肠套迭,要做空气灌肠才可诊断。
作者: 宝天曼    时间: 2007-3-31 14:45
低位性肠梗阻。是不是肠套迭,要做空气灌肠才可诊断。
作者: guoshiyu858    时间: 2007-3-31 17:42
立位腹平片和仰卧位腹平片显示:腹部气液平和小肠管积气扩张,盆腔小肠影及结肠未见气体影.考虑炎性狭窄及粘连性肠梗阻.
作者: czl    时间: 2007-3-31 20:37
肠梗阻,原因待查,建议详细询问病史。
作者: 如醉卧风    时间: 2007-4-1 07:04
转位.
作者: jiangjing    时间: 2007-4-1 07:14
考虑低位梗阻(考虑肠套叠可能性大)
作者: jinning    时间: 2007-4-2 02:34
只能说是低位性肠梗阻。
作者: 卜一    时间: 2007-4-2 05:11
低位性不全肠梗阻.
作者: liaoqiang    时间: 2007-4-3 00:26
标题: 结果
术后诊断:肠套叠。术中所见:腹腔有少量淡血性液体,全小肠充气,轻度发绀。腹腔左侧探及蜡肠样肠管约12厘米,重度发绀。
肠套叠中一重要征象是套叠肿块征。由于受到套叠发生、发展及回盲部系膜的影响,套叠肿块可位于右上腹、腹中部、左腹、甚至下腹部。本例套叠肿块位于左腹(红箭头标示)。
不对的请大家指出。感谢大家的讨论!!
作者: zyx168    时间: 2007-4-3 01:37
考虑肠套叠
作者: xufenglin    时间: 2007-4-4 05:36
低位性肠梗阻。
作者: 拾荒者    时间: 2007-4-7 04:31
谢谢楼主的好病例,如此低位的梗阻(套叠),如果早发现,充气灌肠可免手术之苦。
作者: qc80012345    时间: 2007-4-8 19:23
低位梗阻(考虑肠套叠可能性大)做空气灌肠
作者: ZHONGXINMR    时间: 2009-5-18 19:13
谢谢,学习了
作者: bmw011    时间: 2009-5-20 08:50
感谢楼主反馈结果,学习了。




欢迎光临 医影在线 (http://bbs.radida.com/bbs/) Powered by Discuz! X3.2