医影在线

标题: CT7421:脑出血? [打印本页]

作者: clcts    时间: 2007-4-1 09:15
标题: CT7421:脑出血?
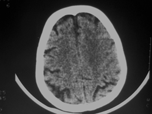
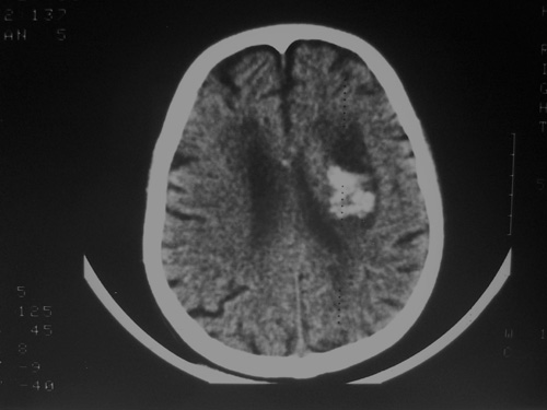
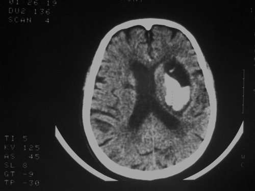
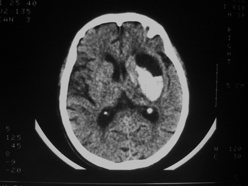
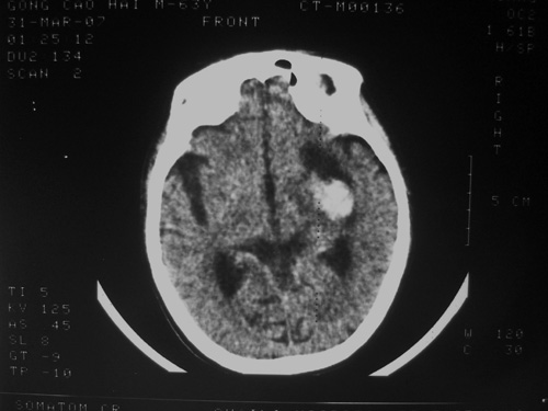
患者63岁,男。左侧肢体活动不灵一小时来诊。bp:175/75;家人否定有脑出血、脑梗死及其他病史。有嗜酒习惯。ct:右侧外囊区见不规则高密度影,边清,肯定是出血。可其周围低密度,边清,ct值与脑脊液相近,不像是水肿影,好似一软化灶形成。这种混合型病灶少见,请老师给予指导一下。







[本贴已被 jiajie 于 2007-4-1 8:40:40 修改过]

作者: luo6762    时间: 2007-4-1 12:37
考虑脑软化灶并出血。
作者: 宝天曼    时间: 2007-4-1 15:08
支持楼上
作者: ZHANGZHONGSHOU    时间: 2007-4-1 15:43
高密度灶为新鲜出血,临近低密度区为软化灶,可能为陈旧性梗塞或出血致。
作者: wfaqltj    时间: 2007-4-1 16:39
软化灶出血,左侧脑室轻度受压。
作者: dyqct    时间: 2007-4-1 16:45
标题: 回复:ct7421:脑出血?
以下是引用zhangzhongshou在2007-4-1 7:43:00的发言:[br]高密度灶为新鲜出血,临近低密度区为软化灶,可能为陈旧性梗塞或出血致。

支持!!
作者: 卜一    时间: 2007-4-1 17:31
以下是引用zhangzhongshou在2007-4-1 7:43:00的发言:
高密度灶为新鲜出血,临近低密度区为软化灶,可能为陈旧性梗塞或出血致。
作者: gzx521th    时间: 2007-4-1 17:32
以下是引用zhangzhongshou在2007-4-1 7:43:00的发言:
高密度灶为新鲜出血,临近低密度区为软化灶,可能为陈旧性梗塞或出血致。
作者: jone-baby    时间: 2007-4-1 17:43
首先考虑脑软化灶并出血。
囊性胶质瘤破裂出血不完全排除.
作者: jinguoji    时间: 2007-4-1 17:56
标题: 回复:ct7421:脑出血?
以下是引用zhangzhongshou在2007-4-1 7:43:00的发言:[br]高密度灶为新鲜出血,临近低密度区为软化灶,可能为陈旧性梗塞或出血致。

作者: 忘情虎    时间: 2007-4-1 18:05
软化灶内脑出血,且该软化灶应是既往出血所致.这样的病例也不少见.
作者: swyyy2007    时间: 2007-4-1 18:08
以下是引用zhangzhongshou在2007-4-1 7:43:00的发言:
高密度灶为新鲜出血,临近低密度区为软化灶,可能为陈旧性梗塞或出血致。
作者: 余辉    时间: 2007-4-1 18:22
双侧额岛叶萎缩,病者有嗜酒习惯,考虑可能由酒精中毒引起的脑软化灶,合并脑出血,右基底节区亦有软化灶
作者: 晓杰    时间: 2007-4-1 18:27
以下是引用zhangzhongshou在2007-4-1 7:43:00的发言:
高密度灶为新鲜出血,临近低密度区为软化灶,可能为陈旧性梗塞或出血致。
作者: jd731    时间: 2007-4-1 18:45
有病灶的不是左侧吗?不理解,ct看的不是下表面吗?这是怎么回事啊?各位老师能给我指点下吗?谢谢@
作者: 医博云天    时间: 2007-4-1 20:18
注意测一下ct值看看!
作者: zjzjr    时间: 2007-4-1 20:19
软化灶旁的出血.
作者: liaoqiang    时间: 2007-4-1 20:27
考虑左侧脑软化灶旁出血。
作者: 天南地北    时间: 2007-4-1 20:30
以下是引用zhangzhongshou在2007-4-1 7:43:00的发言:
高密度灶为新鲜出血,临近低密度区为软化灶,可能为陈旧性梗塞或出血致
支持
作者: 新页    时间: 2007-4-1 22:47
高密度灶为新鲜出血,临近低密度区为软化灶,可能为陈旧性梗塞或出血致
作者: 李衡钧    时间: 2007-4-1 22:48
高密度灶为新鲜出血,临近低密度区为软化灶,可能为陈旧性梗塞或出血致
作者: ailuanfei    时间: 2007-4-1 23:49
高密度灶为新鲜出血,临近低密度区为软化灶,可能为陈旧性梗塞或出血致
作者: jinning    时间: 2007-4-2 01:21
首先考虑脑软化灶并出血。
囊性胶质瘤破裂出血不完全排除.
作者: wqs571018    时间: 2007-4-2 01:40
左基底节区脑出血并软化灶.
作者: zhanghua2086    时间: 2007-4-2 02:28
有软化灶  出血是现在的
作者: 拾荒者    时间: 2007-4-2 04:31
首先考虑脑软化灶并出血。
囊性胶质瘤破裂出血不完全排除.  
  
支持!
作者: 叶盟    时间: 2007-4-2 05:02
首先考虑脑软化灶并出血。
囊性胶质瘤破裂出血不完全排除.  
  
支持!
作者: jw-830    时间: 2007-4-2 06:33
高密度灶为新鲜出血,临近低密度区为软化灶,可能为陈旧性梗塞或出血致。
作者: dr.yang    时间: 2008-11-19 06:42
高密度灶为新鲜出血,临近低密度区为软化灶,可能为陈旧性梗塞或出血致。




欢迎光临 医影在线 (http://bbs.radida.com/bbs/) Powered by Discuz! X3.2