医影在线
标题: CT7422:[讨论]盆腔CT [打印本页]
作者: wpf 时间: 2007-4-1 18:29
标题: CT7422:[讨论]盆腔CT
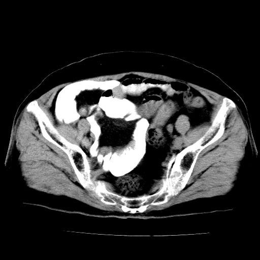
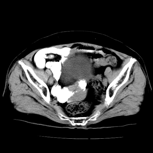
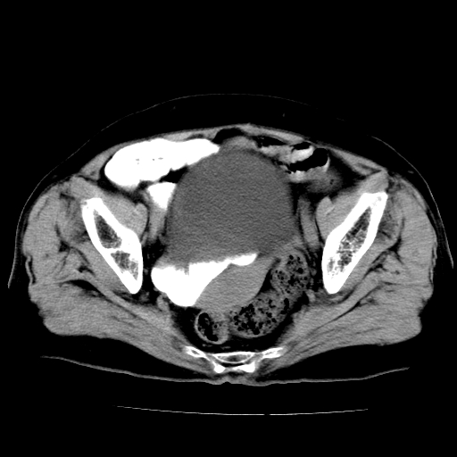
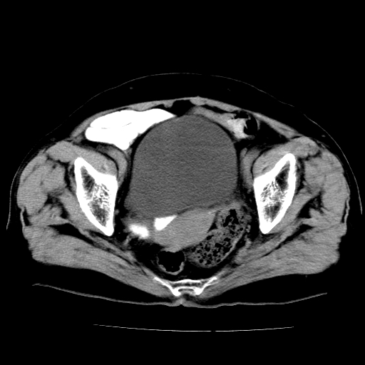
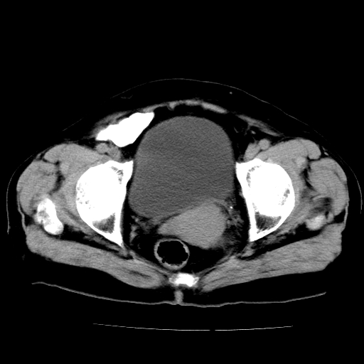
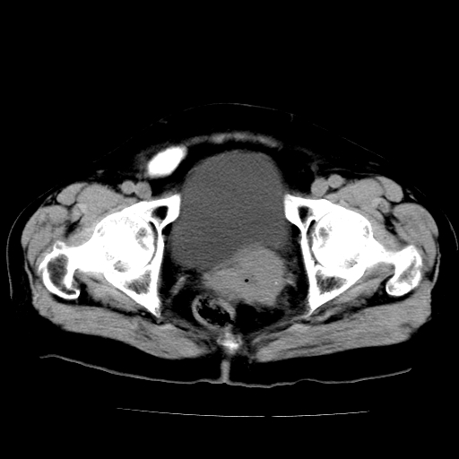
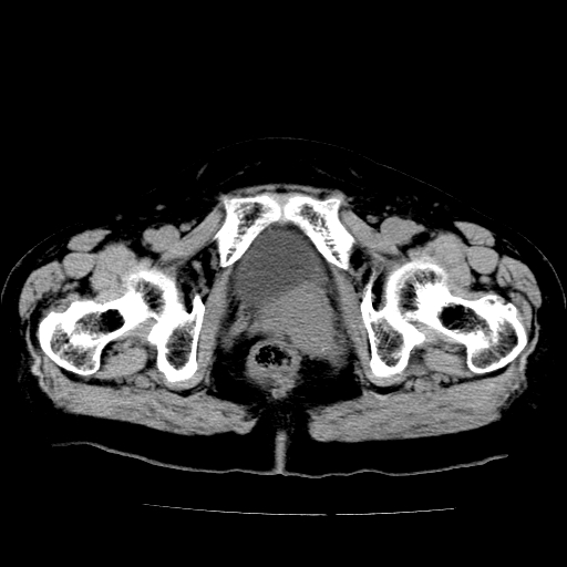
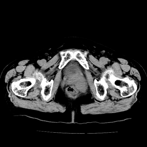
女,73岁,阴道流血一周。














[本贴已被 jiajie 于 2007-4-1 19:13:32 修改过]
作者: swyyy2007 时间: 2007-4-1 18:39
考虑宫颈癌
作者: 晓杰 时间: 2007-4-1 18:42
宫颈不规则增大;结合临床考虑宫颈癌。建议作mri检查
作者: xclzq_910 时间: 2007-4-1 18:48
标题: [建议]
1\\老年妇女突发阴道流血,常见病考虑宫颈癌.本病例宫颈部显示形态不规则,密度欠均匀,支持考虑宫 颈癌,建议mri 或阴道超声坚持
2\\但是盆腔两侧尚未见到明显肿大淋巴结等转移征象
[本贴已被 xclzq_910 于 2007-4-1 10:50:06 修改过]
作者: 余辉 时间: 2007-4-1 19:03
标题: 回复:[讨论]盆腔ct

作者: qc80012345 时间: 2007-4-1 20:04
做妇检
作者: zjzjr 时间: 2007-4-1 20:17
宫颈不规则增大,左后方可见结节状突起.支持宫颈癌.
作者: 医博云天 时间: 2007-4-1 20:24
宫颈壁明显增厚,左侧为甚,宫颈癌待排,建议宫颈涂片细胞学检查。
作者: liaoqiang 时间: 2007-4-1 20:24
支持考虑宫颈癌。
作者: 天南地北 时间: 2007-4-1 20:27
做妇检
作者: 李晓阳 时间: 2007-4-1 21:39
1.原发于阴道肿瘤
2.宫颈癌累及阴道
作者: dyqct 时间: 2007-4-1 22:11
宫颈不规则增大,左后方可见结节状突起。
支持宫颈癌,建议妇检、mri或阴道超声进一步检查。
作者: 李衡钧 时间: 2007-4-1 22:20
宫颈壁明显增厚,左侧为甚,考虑宫颈癌
作者: ailuanfei 时间: 2007-4-1 23:54
宫颈不规则增大,左后方可见结节状突起。
支持宫颈癌,建议妇检、mri或阴道超声进一步检查
作者: ZHANGZHONGSHOU 时间: 2007-4-2 00:00
宫颈癌
作者: chmb 时间: 2007-4-2 00:54
宫颈部形态不规则,建议妇科检查。
作者: haha215315 时间: 2007-4-2 00:58
各位战友,如果是宫颈癌的话妇科检查早就查出来了,除非是想看有无转移。期待结果。
作者: jinning 时间: 2007-4-2 01:03
考虑宫颈癌
作者: duguo 时间: 2007-4-2 01:29
阴道镜检查效果好。
作者: qiuleiyu 时间: 2007-4-2 01:40
标题: 回复:[讨论]盆腔ct
以下是引用dyqct在2007-4-1 14:11:00的发言:[br]宫颈不规则增大,左后方可见结节状突起。[br]支持宫颈癌,建议妇检、mri或阴道超声进一步检查。
作者: xulianj 时间: 2007-4-2 02:43
应该考虑子宫癌,但以mir较为理想。
作者: zxl2006 时间: 2007-4-2 04:21
宫颈癌.
作者: 拾荒者 时间: 2007-4-2 04:39
宫颈不规则增大,周围脂肪间隙毛糙,结合临床考虑宫颈癌,盆腔内未见肿大淋巴结。
作者: jinguoji 时间: 2007-4-2 05:41
考虑宫颈癌
作者: jw-830 时间: 2007-4-2 06:25
考虑子宫占位性病变,建议进一步检查
作者: 宝天曼 时间: 2007-4-2 14:58
宫颈部形态不规则,建议妇科检查。
| 欢迎光临 医影在线 (http://bbs.radida.com/bbs/) |
Powered by Discuz! X3.2 |