医影在线

标题: CT7423:腹部片子,请老师帮忙看看,我在线 [打印本页]

作者: li7hua    时间: 2007-4-1 21:46
标题: CT7423:腹部片子,请老师帮忙看看,我在线
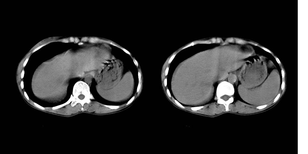
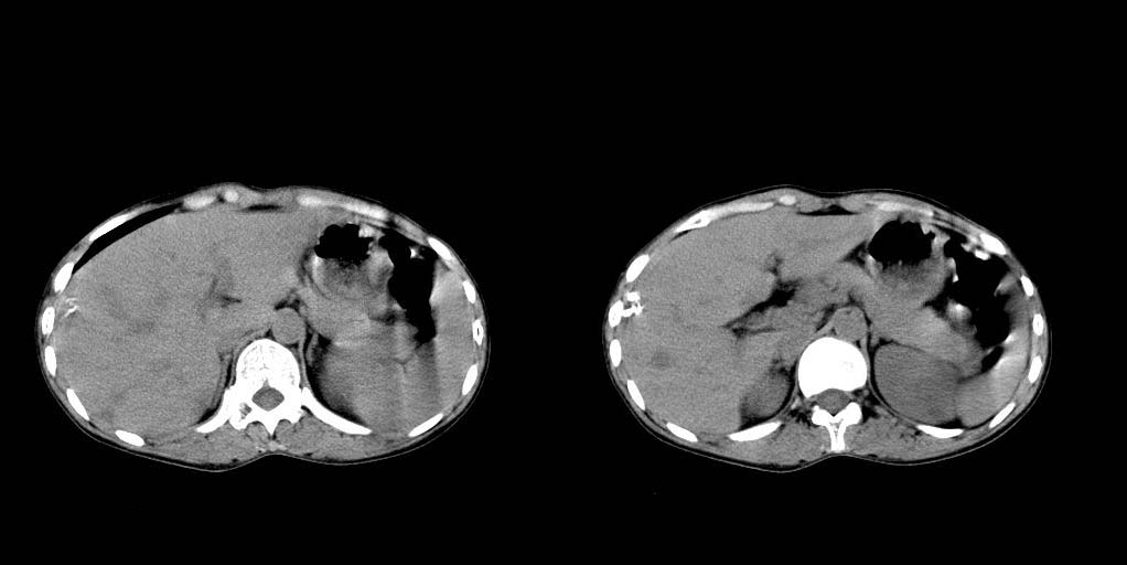
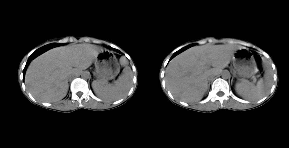
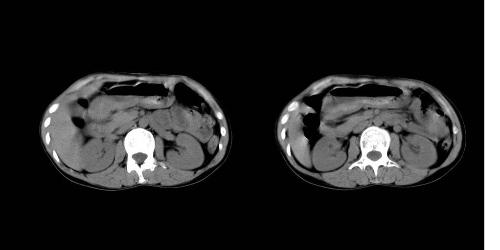
病人资料:女 30岁 右上腹部疼6天余.无其他不适,我院血常规正常,胸片正常,b超示1,肝内多发性结石.2,肝实质内似见结节影,占位病变待定.










[本贴已被 jiajie 于 2007-4-1 19:16:30 修改过]

作者: dyqct    时间: 2007-4-1 22:10
考虑:1、肝右叶前段包膜下钙化灶;
      2、肝胆胰脾ct平扫未见明显异常肿块影。
作者: 扬仪    时间: 2007-4-1 22:15
标题: 回复:腹部片子,请老师帮忙看看,我在线

建议增强!
作者: dale19810537    时间: 2007-4-1 22:25
平扫不能说明什么,血管断面也可以啊!!建议增强,肝脏不增强的没有什么意义!!
作者: 李衡钧    时间: 2007-4-1 22:43
同意楼上意见,最好做一个增强.
作者: ZHANGZHONGSHOU    时间: 2007-4-1 22:49
怀疑肝脏占位性病变,必须行增强扫描。
作者: 晓杰    时间: 2007-4-1 22:51
怀疑肝脏占位性病变,必须行增强扫描。
作者: 阿袁    时间: 2007-4-1 23:22
支持4楼
作者: 余辉    时间: 2007-4-1 23:26
同意增强扫描
作者: ailuanfei    时间: 2007-4-1 23:38
+c+c+c+c+c+c+c+c+c!!,平扫根本不能反映问题!
作者: swyyy2007    时间: 2007-4-2 00:25
怀疑肝脏占位性病变,必须行增强扫描
作者: chmb    时间: 2007-4-2 00:56
怀疑腹部占位的,没有增强的话,只能瞎猜
作者: jinning    时间: 2007-4-2 00:58
同意增强扫描
作者: duguo    时间: 2007-4-2 01:25
c+
作者: 天南地北    时间: 2007-4-2 02:00
同意增强扫描
作者: wqs571018    时间: 2007-4-2 02:01
建议强化.
作者: jian-5587    时间: 2007-4-2 02:22
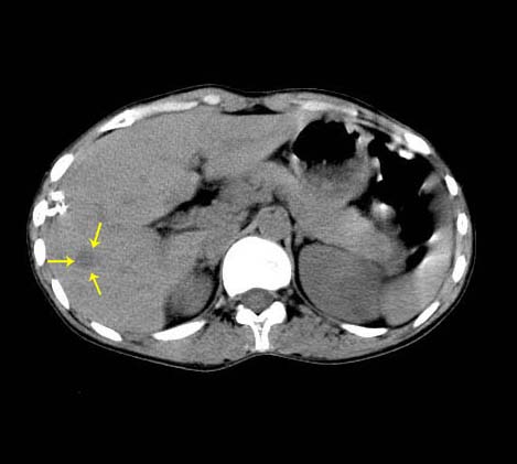
肝右叶小圆形低密度影,建议增强扫描
作者: xulianj    时间: 2007-4-2 02:29
建议增强检查,平扫也显示脾肿大。
作者: 同    时间: 2007-4-2 02:32
同意大家意见,增强吧。
作者: zhanghua2086    时间: 2007-4-2 02:34
可能是小血管瘤 做个增强吧
作者: 念羊经    时间: 2007-4-2 02:35
看见肝区片我就怕,我都误诊多次了,就我个人而言不是螺旋机的话受呼吸的影响还不如b超
作者: huiluizhi    时间: 2007-4-2 03:13
增强嘛
作者: wnlyq8688    时间: 2007-4-2 03:24
同意大家意见,增强吧。
作者: wj2039    时间: 2007-4-2 03:38
增强后再说.
作者: qc80012345    时间: 2007-4-2 03:44
肝右叶前段包膜下钙化灶;做ct增强或mri。
作者: zhw974247    时间: 2007-4-2 03:52
同意增强扫描
作者: zxl2006    时间: 2007-4-2 03:56
增强后再说.
作者: 观世音    时间: 2007-4-2 04:36
建议增强扫描!
作者: 李晓阳    时间: 2007-4-2 04:40
增强吧
作者: 拾荒者    时间: 2007-4-2 04:45
大家意见同意,增强吧,否则还不如b超。
作者: 文莱    时间: 2007-4-2 05:06
建议增强
作者: 如醉卧风    时间: 2007-4-2 05:51
标题: 回复:ct7423:腹部片子,请老师帮忙看看,我在线
以下是引用晓杰在2007-4-1 14:51:00的发言:[br]怀疑肝脏占位性病变,必须行增强扫描。

作者: 5708    时间: 2007-4-2 05:55
同意增强扫描
作者: jinguoji    时间: 2007-4-2 06:11
同意大家意见,增强吧。
作者: jw-830    时间: 2007-4-2 06:15
请增强扫描
作者: 宝天曼    时间: 2007-4-2 15:01
同意大家意见,增强吧。




欢迎光临 医影在线 (http://bbs.radida.com/bbs/) Powered by Discuz! X3.2