医影在线

标题: PED0062:男,3周岁,半小时前从床上摔下,后诉有点痛,伴呕吐 [打印本页]

作者: xn2ylwg    时间: 2007-4-2 07:51
标题: PED0062:男,3周岁,半小时前从床上摔下,后诉有点痛,伴呕吐
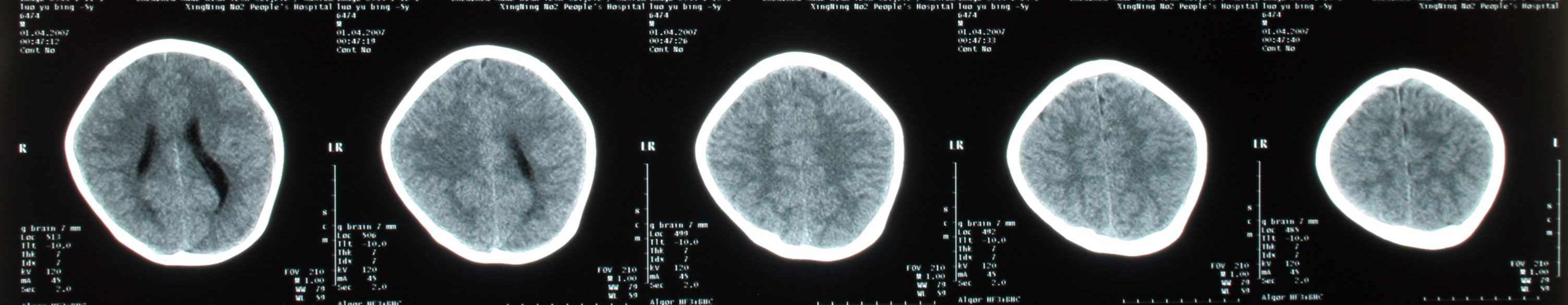
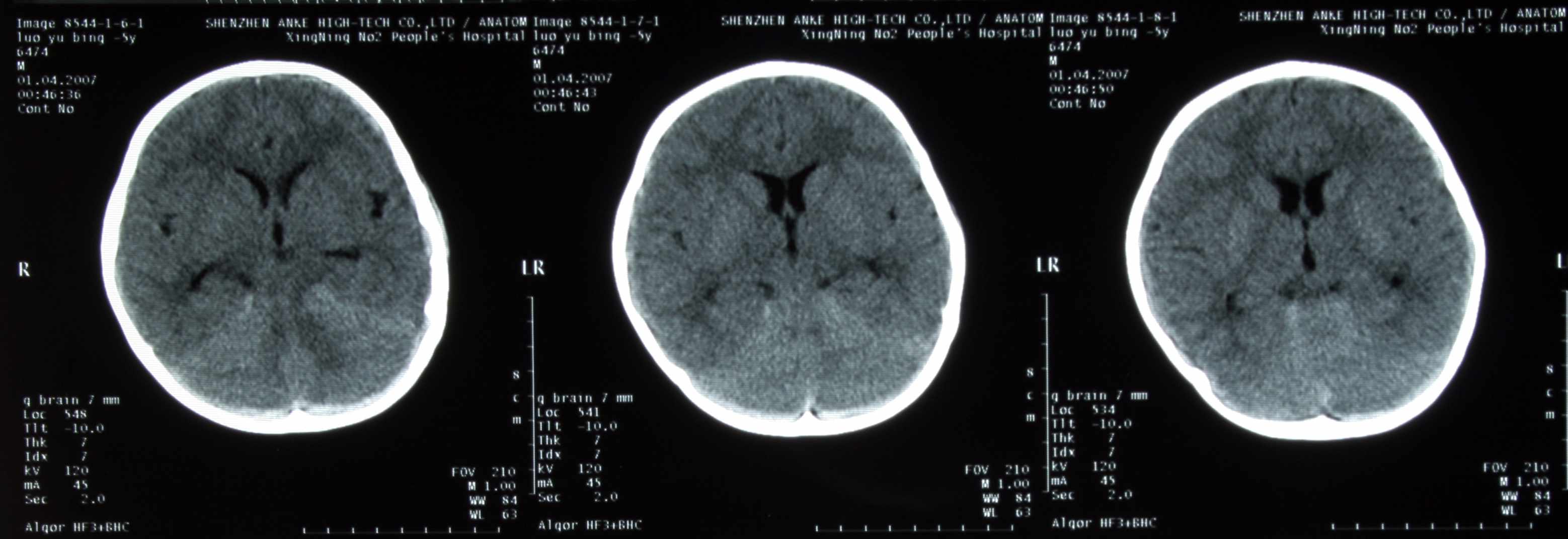
患儿,男,3周岁,半小时前不慎从床上摔下来,当时前额着地,后诉有点痛,伴呕吐二次,请各位老师会诊,患儿头颅有没有问题,后枕部颅下密度增高影,是伪影还是有出血,请指点:






图处箭头示的地方是出血吗,请指点




[本贴已被 jiajie 于 2007-5-13 6:39:46 修改过]

作者: 天南地北    时间: 2007-4-2 14:40
标题: 回复:小儿外伤

作者: dyqct    时间: 2007-4-2 15:46
支持后颅窝少量蛛网膜下腔出血。
作者: 晓杰    时间: 2007-4-2 17:39
支持后颅窝少量蛛网膜下腔出血。
作者: haha215315    时间: 2007-4-2 18:43
支持
作者: 小初学者    时间: 2007-4-2 19:08
支持后颅窝少量蛛网膜下腔出血
作者: jinning    时间: 2007-4-3 00:45
支持后颅窝少量蛛网膜下腔出血。
作者: zyx168    时间: 2007-4-3 01:29
后颅窝蛛网膜下腔出血。
作者: zhangyang66    时间: 2007-4-3 01:33
小脑幕区蛛网膜下隙出血
作者: czl    时间: 2007-4-3 01:51
支持小脑幕区少量蛛网膜下腔出血。我最近也遇到两例这样的病例,我们一直讨论为此诊断。
作者: litianjin    时间: 2007-4-3 03:48
支持蛛网膜下腔出血的诊断
作者: xn2ylwg    时间: 2007-4-3 04:13
不是螺旋扫的,现在患儿没有其它不适.
作者: jinguoji    时间: 2007-4-3 04:59
支持后颅窝少量蛛网膜下腔出血。
作者: 同    时间: 2007-4-3 05:15
支持小脑幕少量蛛网膜下腔出血
作者: 念羊经    时间: 2007-4-3 05:25
支持
作者: 陈志刚    时间: 2007-4-3 06:48
支持小脑幕少量蛛网膜下腔出血
作者: 国窖1573    时间: 2007-4-4 07:16
考虑小脑幕出血
作者: 王守平    时间: 2007-4-4 07:47
支持
作者: 狙击手    时间: 2007-4-6 23:52
支持后颅窝少量蛛网膜下腔出血,复查后便知。
作者: 拾荒者    时间: 2007-4-7 03:20
未见明显异常(脑灰白质分界清晰,脑池、脑室无扩张、变形、移位)。
作者: CTBIN    时间: 2007-4-7 04:39
标题: 回复:ped0062:小儿外伤
以下是引用zhangyang66在2007-4-2 17:33:00的发言:[br]小脑幕区蛛网膜下隙出血

作者: qc80012345    时间: 2007-4-8 19:20
蛛网膜下腔出血[小脑幕]
作者: xsj    时间: 2008-8-4 20:39
后颅窝蛛网膜下腔出血




欢迎光临 医影在线 (http://bbs.radida.com/bbs/) Powered by Discuz! X3.2