医影在线

标题: CT7464:左髂骨后缘类圆形低密度影 [打印本页]

作者: zjzjr    时间: 2007-4-3 21:57
标题: CT7464:左髂骨后缘类圆形低密度影
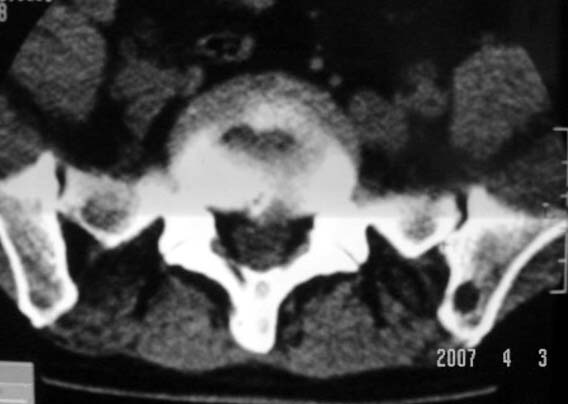
行腰椎间盘检查时,发现左侧髂骨后缘一类圆形低密度影,ct值约负43hu。








[本贴已被 翁志蓬 于 2007-4-3 14:19:22 修改过]

作者: 卜一    时间: 2007-4-3 23:09
左侧髂骨囊状低密度影,边缘硬化.考虑:髂骨骨纤维异常增殖症.
作者: 小初学者    时间: 2007-4-3 23:19
没见过,请各位同行发表意见
作者: wqs571018    时间: 2007-4-3 23:22
1,骨纤维异常增殖症.2,骨囊肿.
作者: 火中金    时间: 2007-4-3 23:51
左侧髂骨后缘类圆形骨质缺损区 ,边缘清晰,我考虑为骨囊肿可能性大.
作者: dyqct    时间: 2007-4-3 23:56
支持左髂骨后缘骨良性囊性病变(骨囊肿可能性大)。
作者: jw-830    时间: 2007-4-4 00:15
考虑左侧髂骨骨囊肿
作者: brave26    时间: 2007-4-4 01:08
支持骨囊肿诊断
作者: jone-baby    时间: 2007-4-4 01:19
支持左髂骨后缘骨良性囊性病变(骨囊肿可能性大)。
作者: shunbuer    时间: 2007-4-4 01:19
考虑骨囊肿
作者: 老爱克斯    时间: 2007-4-4 01:43
软骨岛.
作者: 天南地北    时间: 2007-4-4 01:50
支持左髂骨后缘骨良性囊性病变(骨囊肿可能性大)。
作者: liaoqiang    时间: 2007-4-4 01:57
考虑:骨囊肿可能性大
作者: 同    时间: 2007-4-4 02:19
考虑左髂骨骨囊肿可能性大
作者: dycdsm    时间: 2007-4-4 02:36
从形态来看像软骨岛,ct值不清楚,目测不太准.
作者: jinning    时间: 2007-4-4 02:46
考虑左侧髂骨骨囊肿
作者: 晓杰    时间: 2007-4-4 02:55
考虑骨囊肿
作者: 老爱克斯    时间: 2007-4-4 04:04
无膨胀改变.
作者: 余辉    时间: 2007-4-4 04:06
考虑骨内脂肪瘤或局限性异常脂质聚集,不排除转移瘤骨质破坏
作者: 高仕福    时间: 2007-4-4 04:12
左髂骨后缘骨脂肪瘤?
作者: ailuanfei    时间: 2007-4-4 05:02
支持左髂骨后缘骨良性囊性病变(骨囊肿可能性大)。
作者: xulianj    时间: 2007-4-4 05:14
骨囊肿可能大
作者: 王守平    时间: 2007-4-4 05:28
ct值是-43hu啊!
作者: shenhs    时间: 2007-4-4 05:35
考虑左侧髂骨骨囊肿
作者: szdszc    时间: 2007-4-4 06:26
骨囊肿
作者: shiqingfa    时间: 2007-4-4 06:30
支持左髂骨后缘骨良性囊性病变(骨囊肿可能性大)。
作者: 石猴兽医    时间: 2007-4-4 06:40
囊肿ct值是负的?说不清,待结果。
作者: 拾荒者    时间: 2007-4-4 07:04
左髂骨后缘髓内囊性低密度影ct值-43,考虑髂骨髓内脂肪瘤。应该是少见病变,但跟骨脂肪瘤有过报道。
作者: 念羊经    时间: 2007-4-4 07:11
考虑骨囊肿
作者: 狙击手    时间: 2007-4-4 07:25
考虑左侧髂骨骨囊肿
作者: jiangjing    时间: 2007-4-4 07:52
支持左髂骨后缘骨良性囊性病变(骨囊肿可能性大)。
作者: ZHANGZHONGSHOU    时间: 2007-4-4 14:51
ct值-43hu,支持骨髓窦。骨髓窦是指松质骨内先天性骨小梁发于稀少,各组骨小梁之间的骨小梁少或缺失,形成一空腔,内含有骨髓,称为骨髓窦,为正常解剖变异。以跟骨多见,其次见于股骨颈、股骨远端及髋臼上缘等处。
作者: 宝天曼    时间: 2007-4-4 15:25
支持骨囊肿诊断
作者: 3351277    时间: 2007-4-4 20:20
骨囊肿
作者: fanshl    时间: 2007-9-1 18:27
既然是负值,那么考虑骨纤维结构不良、骨囊肿就不太合适了。由战友考虑骨髓窦,个人认为觉得也不妥。理由很简单,骨髓窦是一种骨骨松质内小梁发育稀少或缺失形成的空腔,因而张力较小,形态可以不规则。而本例病变形态规则呈圆形,且边缘轻度硬化,这些度不符合骨髓窦的特征。所以本例应该考虑骨内脂肪瘤
作者: 啊萧    时间: 2007-9-1 19:45
支持左髂骨后缘骨良性囊性病变。左髂骨后缘骨脂肪瘤?
作者: zhangyubin1977    时间: 2007-9-1 20:49
没什么太大意义
作者: jw-830    时间: 2007-9-1 21:11
左侧髂骨囊性病变,边缘清晰考虑骨囊肿可能性大




欢迎光临 医影在线 (http://bbs.radida.com/bbs/) Powered by Discuz! X3.2