

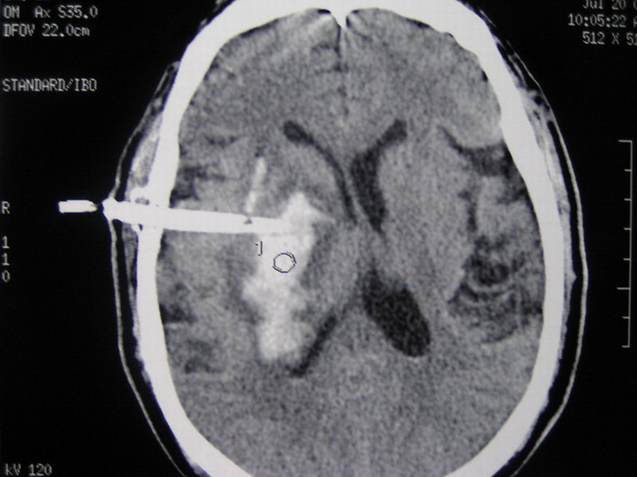
以下是引用13081830109在2007-4-3 22:44:00的发言:[br]感觉1:穿刺针为非专用的 不知是哪里生产的有专利证吗? [br] 2:穿刺点选择的往下了 该位置易引起继发性血肿[br] 3: 穿刺角度选择的往后了[br] 4: 侧孔位置不对 该位置在冲洗时极易抽出脑组织[br] 建议: 旋转穿刺针使侧孔向后方[br] 冲洗时用小注射器(5ml)以0.5压力为好[br] 尿激酶应用要慎重[br] 如患者病情允许不要用脱水药[br] [br][br][br][br]以上意见仅供参考[br]
| 欢迎光临 医影在线 (http://bbs.radida.com/bbs/) | Powered by Discuz! X3.2 |