医影在线
标题: X1894:[讨论]男,26岁,发热右上肺阴影性质 [打印本页]
作者: zxczxc 时间: 2007-4-4 20:43
标题: X1894:[讨论]男,26岁,发热右上肺阴影性质
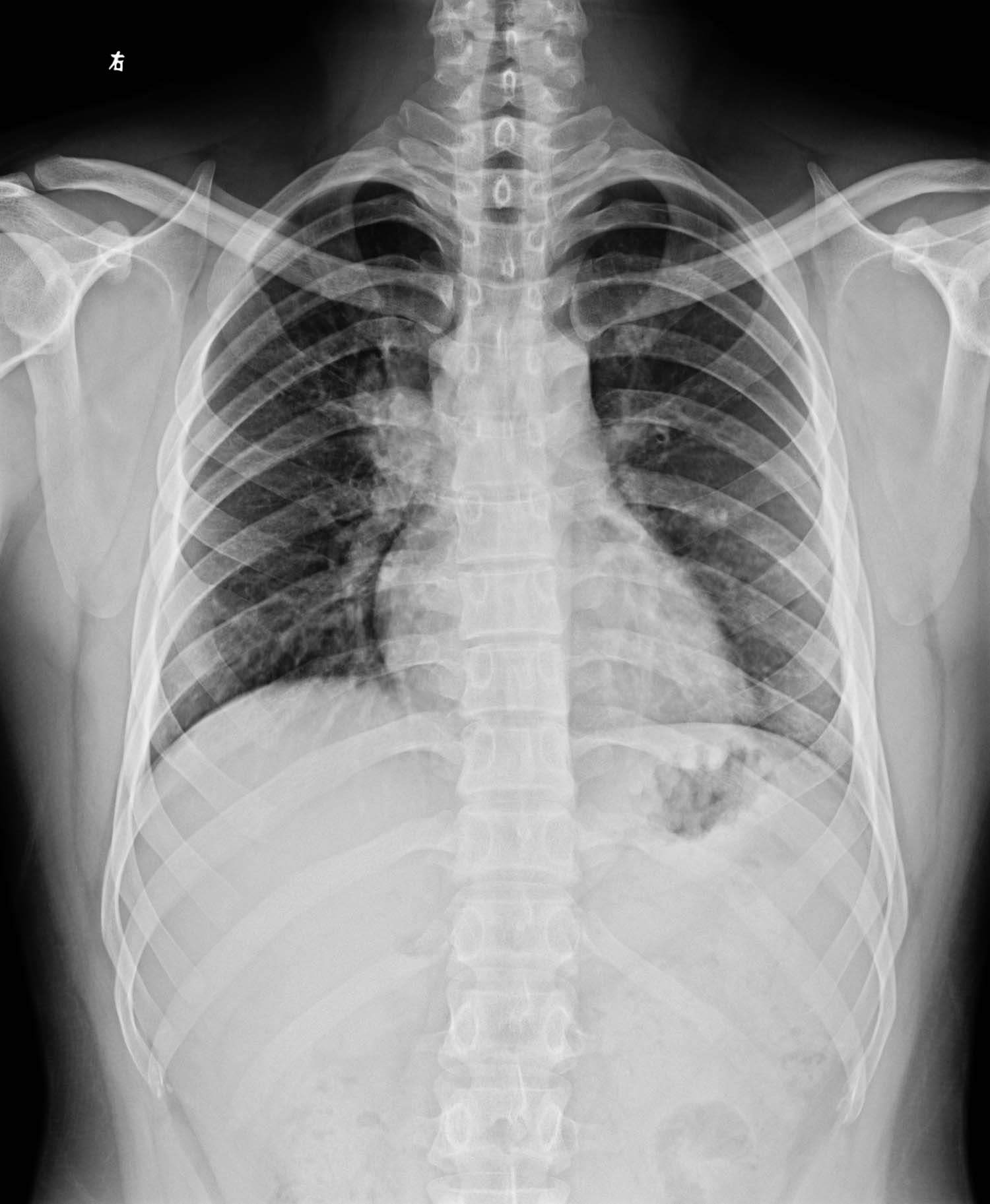
男,26岁,发热


[本贴已被 jiajie 于 2007-5-3 6:15:53 修改过]
作者: 小初学者 时间: 2007-4-4 21:05
zheng正常
作者: 潘X 时间: 2007-4-4 21:08
应该是正常的胸片,考虑肺纹理迂曲所致的阴影。
作者: 余辉 时间: 2007-4-4 21:11
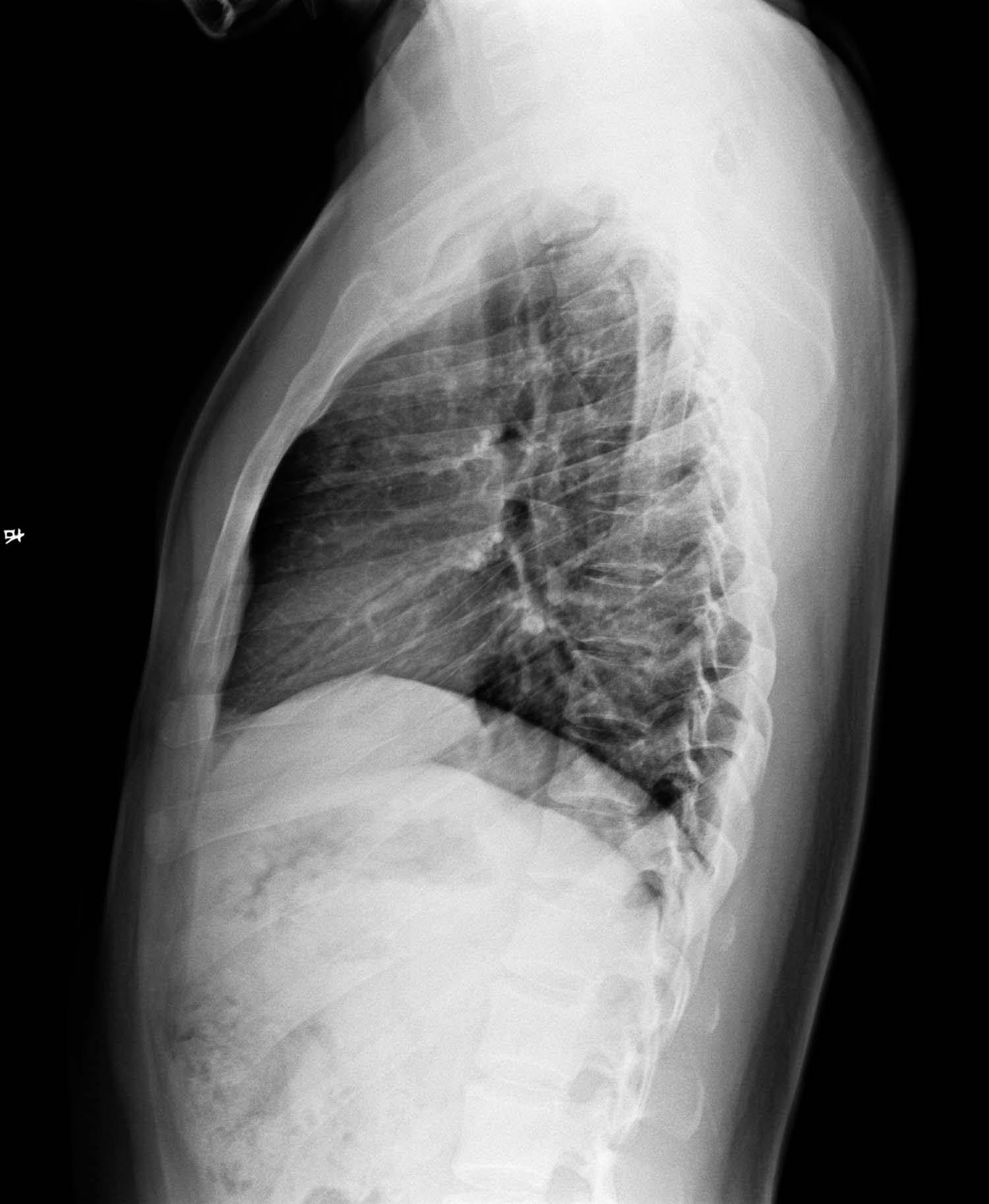
侧位片未见明显异常,右肺门旁影暂考虑右6后肋,右2前肋前端,局部肺纹理及右上肺动脉所至重叠影,必要时ct检查排除其它。另双肺纹理稍多,考虑支气管疾患,不知有否类似症状?
作者: 天南地北 时间: 2007-4-4 21:12
标题: 回复:x1894:[讨论]右上肺阴影性质

作者: jinning 时间: 2007-4-4 21:18
考虑支气管疾患
作者: 3351277 时间: 2007-4-4 21:57
标题: 回复:x1894:[讨论]右上肺阴影性质
支持楼上
[本贴已被 3351277 于 2007-4-4 13:58:18 修改过]
作者: dyqct 时间: 2007-4-4 22:15
标题: 回复:x1894:[讨论]右上肺阴影性质
以下是引用天南地北在2007-4-4 13:12:00的发言:[br]
[br]
支持!!
作者: zxczxc 时间: 2007-4-4 22:20
右肺门上方阴影性质?男,二十多岁,有发热
作者: 念羊经 时间: 2007-4-4 23:47
20几只能认为是伪影
作者: 苍三医黄 时间: 2007-4-5 00:12
有时候是血管影,但小心的话还是ct扫描了。
作者: sunxb1010 时间: 2007-4-5 02:11
未见异常
作者: zhangxiangjun 时间: 2007-4-5 02:23
未见明显异常。
作者: 123zhangming 时间: 2007-4-5 03:16
侧位片未见明显异常,右肺门旁影暂考虑右6后肋,右2前肋前端,局部肺纹理及右上肺动脉所至重叠影,必要时ct检查排除其它。另双肺纹理稍多,考虑支气管疾患,不知有否类似症状
支持
作者: shiqingfa 时间: 2007-4-5 03:39
未见明显异常,右肺门影可能是肋骨、横突、血管巧构而成
作者: jw-830 时间: 2007-4-5 03:52
双肺纹理增强,余未见异常
作者: 512512 时间: 2007-4-5 04:01
支气管肺炎
作者: whp 时间: 2007-4-5 04:15
结核?结节病?
作者: zhoufang06 时间: 2007-4-5 04:33
重叠阴影,正常.
作者: 如醉卧风 时间: 2007-4-5 06:10
标题: 回复:x1894:[讨论]右上肺阴影性质
以下是引用天南地北在2007-4-4 13:12:00的发言:[br]
[br]
作者: 王守平 时间: 2007-4-5 06:15
右上肺门似肿大淋巴结,考虑结核,建议做ct
作者: 影像一辈子 时间: 2007-4-5 06:47
应该正常,不过做个ct放心
作者: marco 时间: 2007-4-5 06:50
建议进一步ct检查。
作者: zhangkening 时间: 2007-4-5 17:13
我认为是胸腺瘤.
作者: jinguoji 时间: 2007-4-5 17:33
正位示右肺门类圆形肿块影,侧位未见显示,建议ct进一步检查.
作者: 华英雄 时间: 2007-4-5 20:46
结合年龄考虑:原发型肺结核可能,还是做个ct更精确,毕竟恻位片上没见到。
作者: 卡巴斯基 时间: 2007-4-6 01:35
有肺门处阴影,侧位未见其影。考虑血管影
作者: yuebin 时间: 2007-4-6 23:41
不会是玉佩吧
作者: 浩天狼 时间: 2007-4-8 01:17
心脏好象也有肥大吧.具体是哪个心室,房,我想大家仔细看都应该能看的 出来.
作者: qc80012345 时间: 2007-4-8 11:11
右肺门角消失;做ct
作者: shibing 时间: 2013-2-2 15:01
建议做ct
| 欢迎光临 医影在线 (http://bbs.radida.com/bbs/) |
Powered by Discuz! X3.2 |