医影在线

标题: CT7516[颌面颈部]:颈部病变,请会诊! [打印本页]

作者: 胡生启    时间: 2007-4-7 17:22
标题: CT7516[颌面颈部]:颈部病变,请会诊!
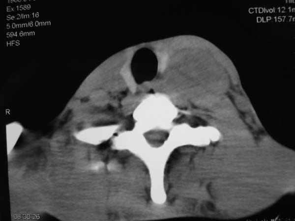
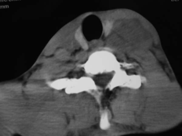
患者男性,37岁,农民,自觉左颈部肿大三天,无其它不适。











[本贴已被 jiajie 于 2007-4-7 12:23:06 修改过]

作者: 卜一    时间: 2007-4-7 17:31
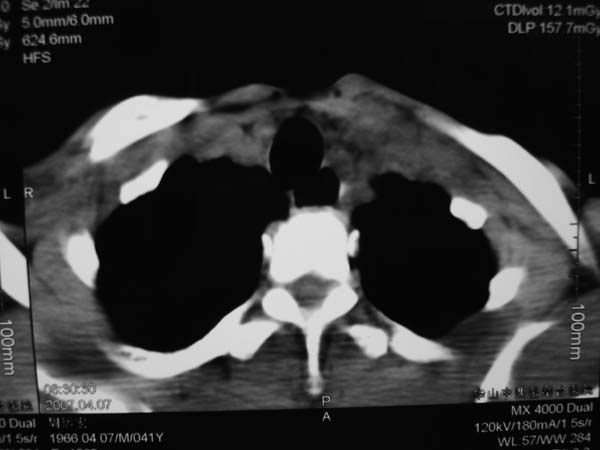
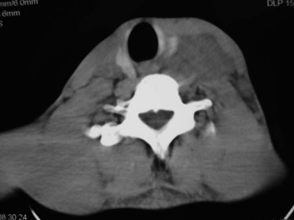
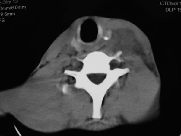
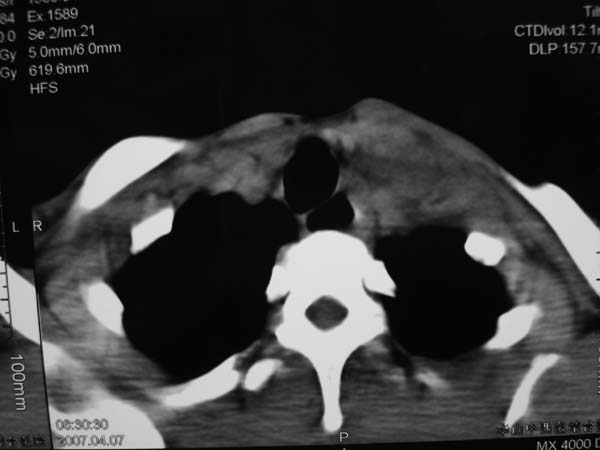
左侧颈部软组织密度肿块,界限清楚,形态不规则,占位效应明显。考虑:1 淋巴瘤。2 神经源性肿瘤不除外。
作者: qiuleiyu    时间: 2007-4-7 17:31
左颈部占位,病灶沿间隙分布,密度混浊,结合病史肿大三天,考虑1,炎症病变,建议增强。2,颈部血管性病变。
作者: zjzjr    时间: 2007-4-7 17:50
考虑神经源性肿瘤.
作者: 胡生启    时间: 2007-4-7 18:05
患者没有任何症状,炎性和淋巴瘤可能不是,主要是来源,有没有来自甲状旁腺的可能?
作者: 天南地北    时间: 2007-4-7 20:37
“自觉左颈部肿大三天,无其它不适”病史不对吧?
考虑炎症病变,建议增强
作者: 狙击手    时间: 2007-4-7 20:48
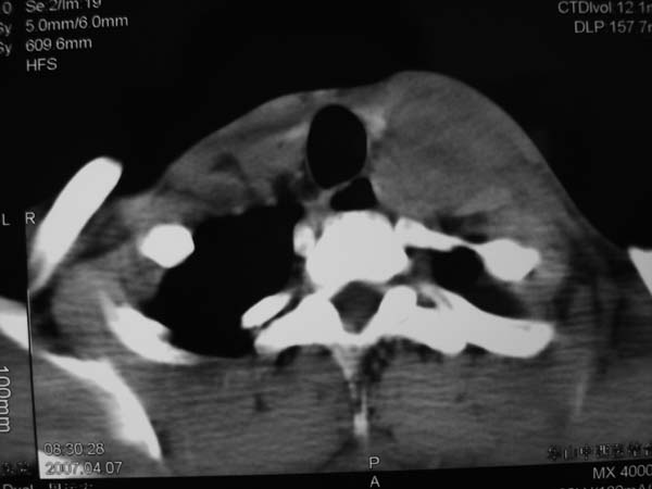
同甲状腺间有脂肪间隙存在,考虑不是来源于甲状腺,肿大淋巴结?
作者: 晓杰    时间: 2007-4-7 20:49
左侧甲状腺在那? 病变来自甲状腺吧,甲状腺肿或腺瘤
作者: chmb    时间: 2007-4-7 20:58
病灶边界较清,密度不均,其内可见坏死灶,左侧甲状腺受压,考虑神经源性肿瘤可能性大,建议穿刺活检。
作者: jinning    时间: 2007-4-7 22:53
考虑:1 淋巴瘤。2 神经源性肿瘤不除外。
作者: dyqct    时间: 2007-4-7 23:48
支持左侧神经源性肿瘤。
作者: 拾荒者    时间: 2007-4-8 04:57
标题: 回复:ct7516[颌面颈部]:颈部病变,请会诊!
以下是引用chmb在2007-4-7 12:58:00的发言:[br]病灶边界较清,密度不均,其内可见坏死灶,左侧甲状腺受压,考虑神经源性肿瘤可能性大,建议穿刺活检。

支持!
作者: liqf    时间: 2007-4-8 05:15
病程短,症状轻,颈内动静脉显示不清,考虑血管病变。建议增强扫描。贸然穿刺可能会引起出血。
作者: jinguoji    时间: 2007-4-8 05:35
病灶边界较清,密度不均,其内可见坏死灶,左侧甲状腺受压,考虑神经源性肿瘤可能性大。
作者: 宝天曼    时间: 2007-4-8 15:22
考虑神经源性肿瘤可能性大,建议穿刺活检。




欢迎光临 医影在线 (http://bbs.radida.com/bbs/) Powered by Discuz! X3.2