



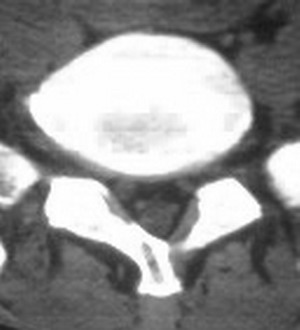
以下是引用天南地北在2007-4-7 12:35:00的发言:[br]支持:考虑腰4--5椎间盘突出长期压迫刺激致腰5神经根水肿,建议mr除外占位性病变[br]神经根水肿可能性大
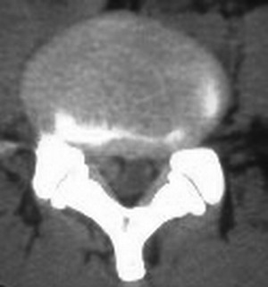
以下是引用zjzjr在2007-4-7 11:00:00的发言:[br]考虑腰4--5椎间盘突出长期压迫刺激致腰5神经根水肿,建议mr除外占位性病变。
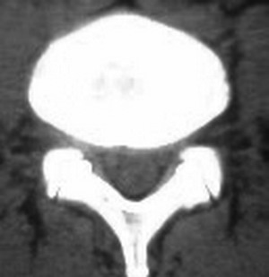
以下是引用fumaogui在2007-4-7 10:58:00的发言:[br]右侧腰4-5及骶1水平右侧神经根较对侧增粗,建议做mri排除一下神经源性肿瘤.
以下是引用天南地北在2007-4-7 12:35:00的发言:[br]支持:考虑腰4--5椎间盘突出长期压迫刺激致腰5神经根水肿,建议mr除外占位性病变[br]神经根水肿可能性大
| 欢迎光临 医影在线 (http://bbs.radida.com/bbs/) | Powered by Discuz! X3.2 |