医影在线

标题: X1914:男性70岁。肘关节外伤 [打印本页]

作者: 珍惜拥有    时间: 2007-4-7 18:29
标题: X1914:男性70岁。肘关节外伤
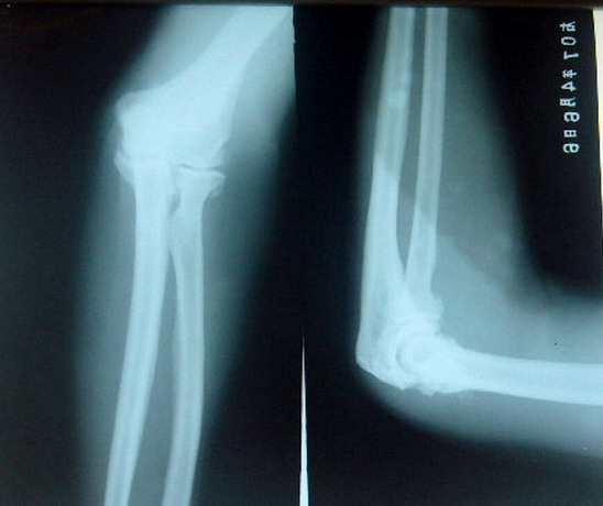
男性70岁。肘部跌伤2天。pe:肘关节肿胀,压痛(+)活动障碍。追问病史患者自诉以往关节稍肿胀,变形.

不好意思!刚学会发片,不足之处还请大家多多原谅.多谢指教!



[本贴已被 jiajie 于 2007-5-3 6:03:54 修改过]

作者: xiaoniu    时间: 2007-4-7 18:52
肘关节各关节面增生硬化,关节腔狭窄,考虑:1增生性关节炎。2创伤性关节炎。
作者: mrdudashu    时间: 2007-4-7 18:55
退行性骨关节病
作者: 小初学者    时间: 2007-4-7 20:12
标题: 回复:肘关节外伤
以下是引用xiaoniu在2007-4-7 10:52:00的发言:[br]肘关节各关节面增生硬化,关节腔狭窄,考虑:1增生性关节炎。2创伤性关节炎。

作者: 天南地北    时间: 2007-4-7 20:19
标题: 回复:肘关节外伤

作者: ZHANGZHONGSHOU    时间: 2007-4-7 22:21
肘关节骨关节炎,未见新鲜骨折
作者: xrj    时间: 2007-4-7 23:03
患者男.70岁.外伤2天,未见明显骨折时间短不考虑创伤性关节炎。考虑增生性关节炎.
作者: dyqct    时间: 2007-4-7 23:19
支持退行性骨关节病。
作者: 晓杰    时间: 2007-4-7 23:58
支持退行性骨关节病。
作者: 卡巴斯基    时间: 2007-4-8 01:27
考虑:1增生性关节炎。2创伤性关节炎。
作者: jinning    时间: 2007-4-8 01:52
支持退行性骨关节病。
作者: 青莲居士    时间: 2007-4-8 02:05
肘关节各关节面增生硬化,关节腔狭窄,考虑:1增生性关节炎。2创伤性关节炎。
作者: 余辉    时间: 2007-4-8 02:09
支持退行性骨关节病
作者: shiqingfa    时间: 2007-4-8 02:35
1.退行性骨关节病2.创伤性关节炎
作者: abcabc2000.abc    时间: 2007-4-8 04:10
上图片可能使用的是感兰片,需更换感绿片效果更好,图片清晰,信息量也多。收费可提高,对病人,对医院,对放射科医生都是有好处的。上图病例考虑肘关节骨关节病,桡骨小头是否有新鲜骨折,还需复查。
作者: sky11134    时间: 2007-4-8 04:14
考虑退行性骨关节病
作者: marco    时间: 2007-4-8 04:25
肘关节骨关节炎,未见新鲜骨折
作者: wnq    时间: 2007-4-8 04:28
退行性骨关节病
作者: 王守平    时间: 2007-4-8 04:51
退行性骨关节病
作者: jinguoji    时间: 2007-4-8 05:11
支持退行性骨关节病,未见新鲜骨折。
作者: wwyz    时间: 2007-4-8 08:41
退行性骨关节病
作者: qc80012345    时间: 2007-4-8 10:18
支持退行性骨关节病。
作者: LIMMM    时间: 2007-4-8 22:59
支持退行性骨关节病。
作者: wjtwjt    时间: 2007-4-9 01:54
骨关节病
作者: 苍三医黄    时间: 2007-4-9 02:10
支持退行性骨关节病
作者: 123zhangming    时间: 2007-4-9 04:53
支持退行性骨关节病
作者: zhangkening    时间: 2007-4-9 20:37
这么大年纪的人可能原来干重体力活引起的创伤性关节炎.
作者: shibing    时间: 2013-2-2 15:14
肘关节各关节面增生硬化,关节腔狭窄,考虑:1增生性关节炎。2创伤性关节炎。




欢迎光临 医影在线 (http://bbs.radida.com/bbs/) Powered by Discuz! X3.2