医影在线

标题: CT7522[颌面颈部]:左颞骨病变,请大家分析. [打印本页]

作者: xiaoqvnmin    时间: 2007-4-7 20:13
标题: CT7522[颌面颈部]:左颞骨病变,请大家分析.
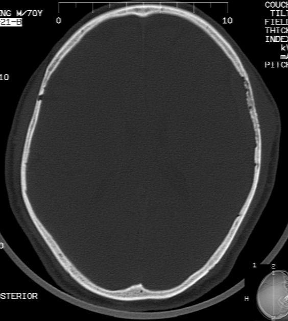
m70y, 2个月前发现左颞部有'包'隆起,近来自觉增大,无外伤无任何不适症状而就医,触诊包块质地较硬无移动无波动无皮温升高,胸片示右上肺陈旧结核....,ct扫描见左颞骨翼板局部内外骨板骨质破坏,似筛孔状,外板侧有骨膜线状增生,伴局部软组织丘状肿块,内板下梭形肿胀硬膜增厚翘起......颅内脑无异常.考虑骨良性病变 1.低度骨感染.   2.嗜酸性肉芽肿. 3.不排外骨结核...建议其穿刺活检,但患者失踪,追踪到结果定将公告.请大家分析.












[本贴已被 jiajie 于 2007-4-7 12:28:44 修改过]

作者: 小初学者    时间: 2007-4-7 20:20
低度骨感染
作者: 天南地北    时间: 2007-4-7 20:42
考虑骨良性病变 .   1.嗜酸性肉芽肿.2.低度骨感染 3.不排外骨结核
我觉得这样排更好点
作者: 狙击手    时间: 2007-4-7 20:42
好病例,支持楼主诊断。
作者: zhanglixian1985    时间: 2007-4-7 21:22
左颞骨内板不光滑,密度减低,内板下可见新月形的软织密度影。脑实质轻度受压,外板外见膨胀形稍高密度影。考虑嗜酸性肉芽肿。建议增强扫描
作者: 晓杰    时间: 2007-4-7 21:25
还要考虑骨髓瘤
作者: 龙刚    时间: 2007-4-7 21:29
良性病变,血管瘤可能性大.
作者: dyqct    时间: 2007-4-7 23:28
支持楼主意见。
作者: zyx168    时间: 2007-4-8 00:02
支持楼主意见。
作者: jinning    时间: 2007-4-8 00:48
考虑骨良性病变 .   1.嗜酸性肉芽肿.2.低度骨感染 3.不排外骨结核
作者: 柯长存    时间: 2007-4-8 01:14
考虑为骨感染,颅内脑实质受压,颞部头皮软组织肿胀
作者: 卜一    时间: 2007-4-8 01:47
支持楼主意见。
作者: jw-830    时间: 2007-4-8 02:01
考虑骨良性病变,嗜酸性肉芽肿可能
作者: zjzjr    时间: 2007-4-8 02:16
考虑骨良性病变 .   1.骨结核.2.低度骨感染
作者: wqs571018    时间: 2007-4-8 02:29
支持考虑骨良性病变 .:  1.嗜酸性肉芽肿.2.低度骨感染 3.不排外骨结核 .
作者: 余辉    时间: 2007-4-8 02:37
标题: 回复:ct7522[颌面颈部]:左颞骨病变,请大家分析.
以下是引用晓杰在2007-4-7 13:25:00的发言:[br]还要考虑骨髓瘤[br]

支持楼主,也支持这个
作者: 我爱CT-MR    时间: 2007-4-8 02:42
支持考虑骨良性病变 1.嗜酸性肉芽肿.2.低度骨感染
作者: wj2039    时间: 2007-4-8 03:10
支持楼主意见。
作者: 拾荒者    时间: 2007-4-8 03:35
支持楼主意见,但颅骨的转移瘤不能除外。
作者: sky11134    时间: 2007-4-8 03:50
支持楼主意见
考虑:
1.低毒力感染?
2.嗜酸性肉芽肿?
3.皮样囊肿?
4.结核性病变
好病例,期待结果
作者: 阿宽    时间: 2007-4-8 04:11
支持搂主意见!期待结果。
作者: abcabc2000.abc    时间: 2007-4-8 04:14
考虑低度骨感染。
作者: liqf    时间: 2007-4-8 04:32
血管瘤?肉芽肿?很有必要做增强扫描.
作者: jinguoji    时间: 2007-4-8 05:59
支持楼主意见。
作者: 宝天曼    时间: 2007-4-8 15:12
还要考虑骨髓瘤
看看别地方有问题不
作者: chmb    时间: 2007-4-8 16:54
骨质密度不均,骨质两旁均有软组织影,考虑嗜酸性肉芽肿可能性大,同时也不能除外转移瘤。
作者: swyyy2007    时间: 2007-4-8 16:59
除了以上的诊断,大家不考虑转移瘤吗,病人有陈旧结核,合并瘢痕癌呢,并发颅骨转移,肺癌发生骨转移的几率要比其它恶性肿瘤大的多,虫蚀样的骨质破坏就是良性病变吗,我考虑转移瘤。




欢迎光临 医影在线 (http://bbs.radida.com/bbs/) Powered by Discuz! X3.2