医影在线

标题: CT7523:[分享]考虑鼻前庭囊肿! [打印本页]

作者: 天南地北    时间: 2007-4-7 20:46
标题: CT7523:[分享]考虑鼻前庭囊肿!
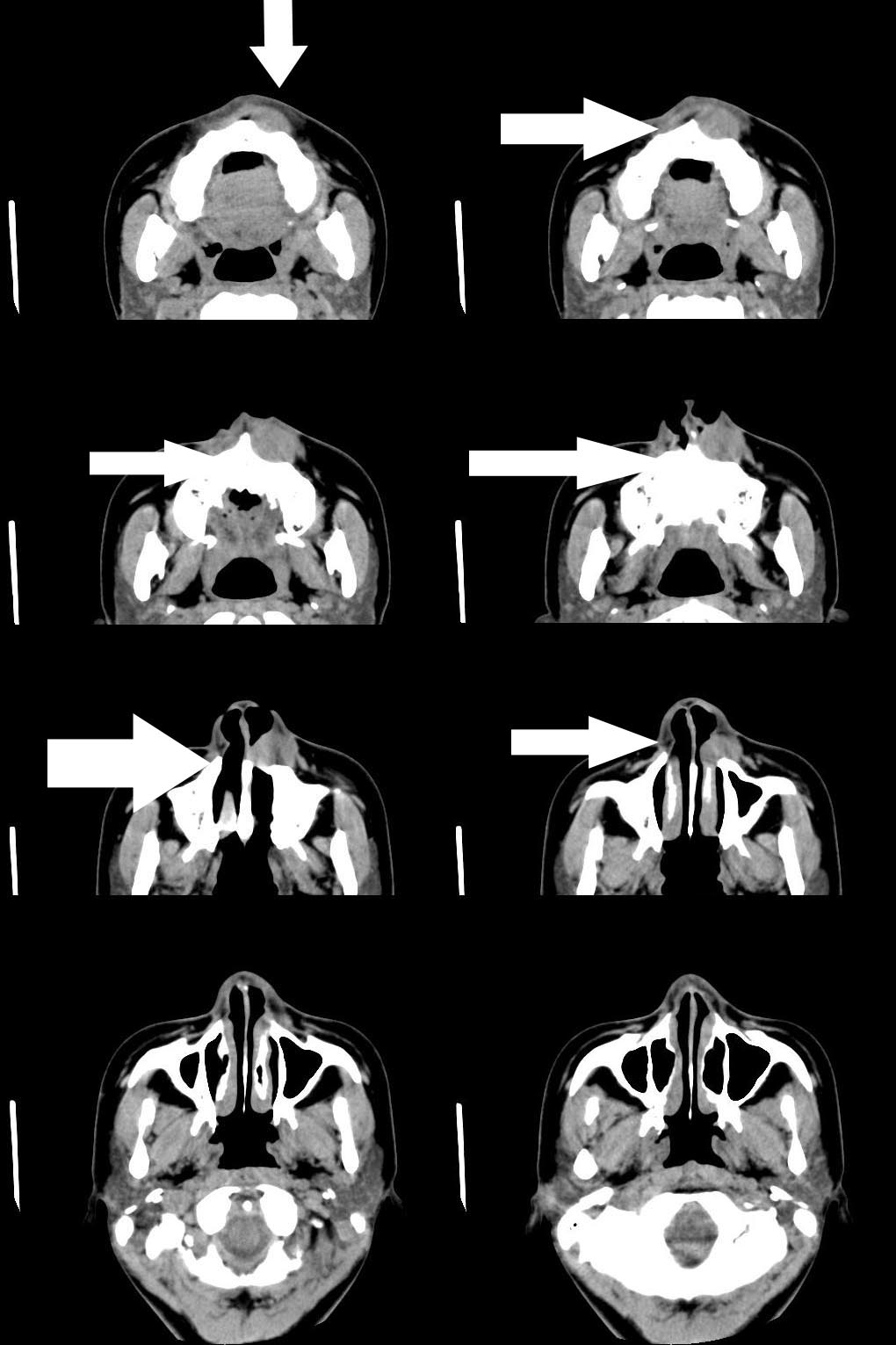
病人诉近20天左鼻侧隆起肿胀




[本贴已被 jiajie 于 2007-6-6 20:01:27 修改过]

作者: 狙击手    时间: 2007-4-7 20:49
支持!!
作者: 晓杰    时间: 2007-4-7 20:57
支持:前庭囊肿合并感染
作者: 龙刚    时间: 2007-4-7 21:24
有左眼经常流泪的症状吗?不能排除左侧鼻泪管的病变.
作者: dyqct    时间: 2007-4-7 23:47
支持楼主意见,左侧鼻前庭囊肿。
作者: zyx168    时间: 2007-4-8 00:04
支持楼主意见
作者: jinning    时间: 2007-4-8 00:49
支持楼主意见
作者: jw-830    时间: 2007-4-8 01:05
支持楼主意见,左侧鼻前庭囊肿。
作者: 火眼金睛    时间: 2007-4-8 01:06
支持楼主意见
作者: 柯长存    时间: 2007-4-8 01:07
鼻前庭实性囊肿
作者: 青莲居士    时间: 2007-4-8 01:44
鼻前庭实性囊肿
作者: 卜一    时间: 2007-4-8 01:44
支持:前庭囊肿合并感染。
作者: zjzjr    时间: 2007-4-8 02:13
支持楼主意见,左侧鼻前庭囊肿。
作者: wqs571018    时间: 2007-4-8 02:20
支持楼主意见,局部骨质有吸收.
作者: 我爱CT-MR    时间: 2007-4-8 02:51
支持天南地北
作者: sky11134    时间: 2007-4-8 03:43
支持楼主
作者: qiuleiyu    时间: 2007-4-8 03:47
标题: 回复:ct7523[颌面颈部]:[分享]考虑鼻前庭囊肿!
以下是引用zjzjr在2007-4-7 18:13:00的发言:[br]支持楼主意见,左侧鼻前庭囊肿。

作者: 拾荒者    时间: 2007-4-8 05:06
支持楼主意见,左侧鼻前庭囊肿。
作者: jinguoji    时间: 2007-4-8 05:42
支持左侧鼻前庭囊肿。
作者: 宝天曼    时间: 2007-4-8 15:15
支持楼主意见,左侧鼻前庭囊肿
作者: swyyy2007    时间: 2007-4-8 17:50
支持




欢迎光临 医影在线 (http://bbs.radida.com/bbs/) Powered by Discuz! X3.2