医影在线

标题: CT7526[胸部]:大家帮忙诊断一下。 [打印本页]

作者: 王明发    时间: 2007-4-7 22:27
标题: CT7526[胸部]:大家帮忙诊断一下。














[本贴已被 jiajie 于 2007-4-7 18:04:35 修改过]

作者: ailuanfei    时间: 2007-4-7 22:55
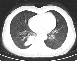
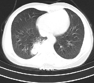
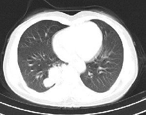
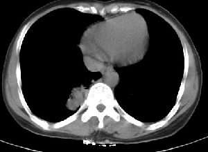
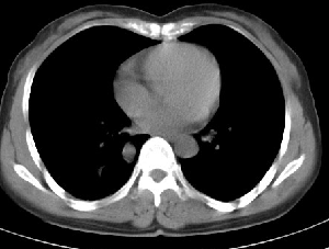
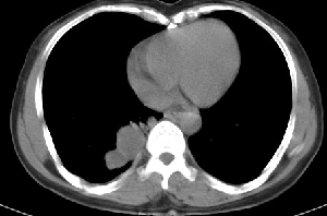
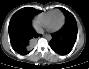
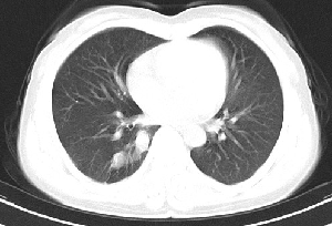
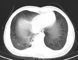
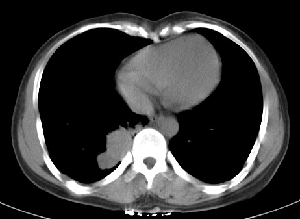
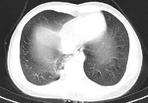
下叶后基底段近膈面见一椭圆形密度均匀增高的阴影,边界较清,其长轴指向内后方,考虑肺隔离症,建议增强扫描了解与主a联系!
作者: ZHANGZHONGSHOU    时间: 2007-4-7 23:02
右下肺隔离症有可能,另外可能是炎性假瘤
作者: xclzq_910    时间: 2007-4-7 23:18
1\\没有什么病史吗,没有看到与腹主动脉有联系呀,肺隔离症不是太象
2\\如果没有明确临床体征,炎性假瘤到是可以考虑
3\\最好是做个增强
作者: 新页    时间: 2007-4-7 23:34
右下肺隔离症考虑,不除外炎性假瘤,建议增强。
作者: dyqct    时间: 2007-4-7 23:52
标题: 回复:大家帮忙诊断一下。
以下是引用zhangzhongshou在2007-4-7 15:02:00的发言:[br]右下肺隔离症有可能,另外可能是炎性假瘤

支持!!
作者: zyx168    时间: 2007-4-8 00:47
右下肺隔离症考虑,不除外炎性假瘤,建议增强。
作者: jw-830    时间: 2007-4-8 00:49
以下是引用zhangzhongshou在2007-4-7 15:02:00的发言:
右下肺隔离症有可能,另外可能是炎性假瘤
作者: jinning    时间: 2007-4-8 00:56
右下肺隔离症考虑,不除外炎性假瘤,建议增强。
作者: chenqiong    时间: 2007-4-8 01:00
支持肺隔离症的诊断,不除外炎性假瘤
作者: wqs571018    时间: 2007-4-8 01:00
可能是炎性假瘤 ,右下肺隔离症有可能性小吧?不知病史如何.
作者: 柯长存    时间: 2007-4-8 01:01
完全同意9楼意见
作者: 天南地北    时间: 2007-4-8 01:24
右下肺隔离症可能性大,不除外炎性假瘤,建议增强。
作者: 青莲居士    时间: 2007-4-8 01:25
右下肺隔离症考虑,不除外炎性假瘤,建议增强。
作者: 卜一    时间: 2007-4-8 01:31
以下是引用zhangzhongshou在2007-4-7 15:02:00的发言:
右下肺隔离症有可能,另外可能是炎性假瘤


支持!!!
作者: 青莲居士    时间: 2007-4-8 01:56
右下肺隔离症考虑,不除外炎性假瘤,建议增强
作者: zjzjr    时间: 2007-4-8 02:07
增强吧.
作者: 余辉    时间: 2007-4-8 02:20
支持首先考虑肺隔离症的诊断
作者: 我爱CT-MR    时间: 2007-4-8 02:30
标题: 回复:ct7526[胸部]:大家帮忙诊断一下。
以下是引用天南地北在2007-4-7 17:24:00的发言:[br]右下肺隔离症可能性大,不除外炎性假瘤,建议增强。

作者: shiqingfa    时间: 2007-4-8 03:14
右下肺隔离症可能性大,不除外炎性假瘤、神经原性肿瘤
作者: qc80012345    时间: 2007-4-8 03:19
右下肺隔离症有可能,另外可能是炎性假瘤。
作者: 老爱克斯    时间: 2007-4-8 03:25
1炎性假瘤,2神经原肿瘤待除外.
作者: wj2039    时间: 2007-4-8 03:25
右下肺隔离症可能性大,不除外炎性假瘤,建议增强。
作者: sky11134    时间: 2007-4-8 03:29
标题: 回复:ct7526[胸部]:大家帮忙诊断一下。
考虑:右下肺隔离症可能性大,不除外炎性假瘤,谨慎点+神经原性肿瘤,支持20楼
作者: 阿宽    时间: 2007-4-8 03:37
支持2楼意见
作者: phsdyx    时间: 2007-4-8 03:38
支持右下肺隔离症,不过还是做了增强再说吧
作者: 王守平    时间: 2007-4-8 04:00
怎么前呼后应啊?
三无产品!只能依影论影 :首先考虑炎症,建议抗炎治疗后复查
作者: wnq    时间: 2007-4-8 04:02
右下肺隔离症考虑
作者: 文莱    时间: 2007-4-8 04:08
右下肺隔离症有可能
作者: zxczxc    时间: 2007-4-8 05:12
考虑右下肺隔离症,炎性假瘤未除。
作者: liqf    时间: 2007-4-8 05:24
肺血管畸形也有可能。
作者: jinguoji    时间: 2007-4-8 05:38
考虑右下肺隔离症,不除外炎性假瘤,建议增强。
作者: 拾荒者    时间: 2007-4-8 05:42
1.后纵隔神经原肿瘤,2.炎性假瘤。建议密切结合临床或抗炎治疗后复查。
作者: liuzheng_9326    时间: 2007-4-8 08:07
考虑右下肺隔离症,不除外炎性假瘤,建议增强。  

参考资料http://www.mednet2000.com/yingxzd/huxi/feibu/fglz.htm
作者: 宝天曼    时间: 2007-4-8 14:50
右下肺隔离症有可能性大建议增强检查
作者: 龙在野    时间: 2007-4-8 14:55
支持4楼




欢迎光临 医影在线 (http://bbs.radida.com/bbs/) Powered by Discuz! X3.2