医影在线
标题: CT0810:[原创]脑部CT [打印本页]
作者: 631225 时间: 2004-11-30 19:43
标题: CT0810:[原创]脑部CT
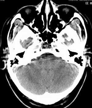
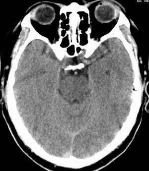
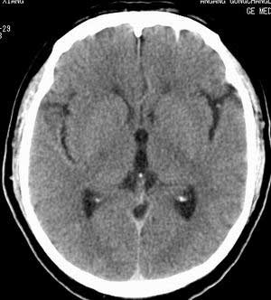
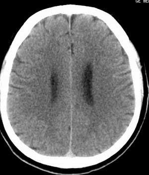
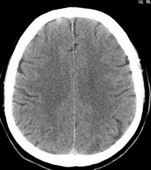
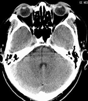
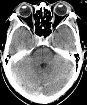
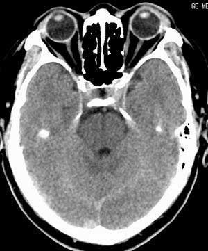
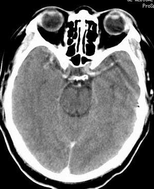
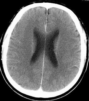
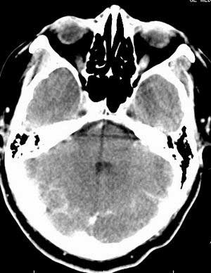
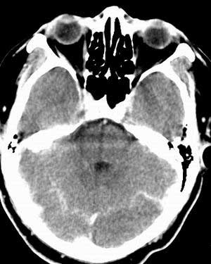
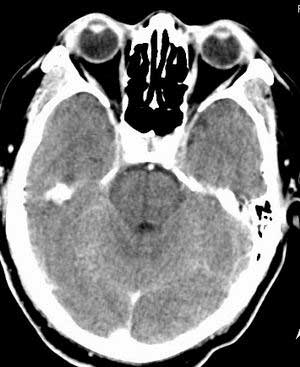
患者男,58岁。耳爆震伤后耳聋2年余,而后双耳道肿胀,间断性流脓。近一月来头痛、恶心、呕吐,右眼红痛,不能入眠。
在平扫时,见右侧枕骨下方小脑半球表面带状模糊稍高密度影,考虑为耳源性脑内感染。














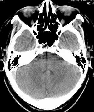
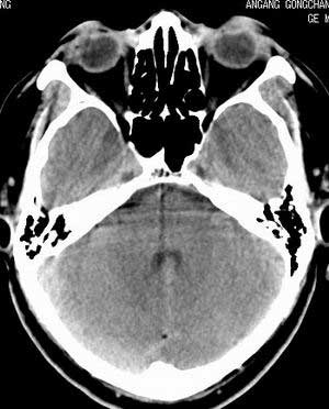
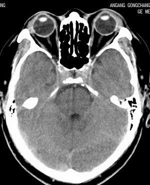
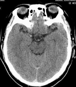
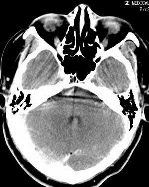
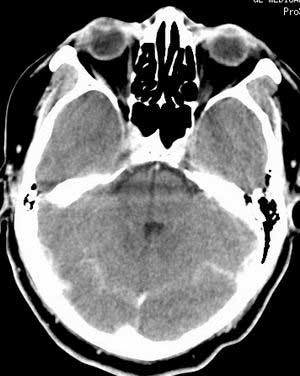
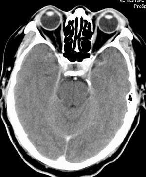
增强扫描:

















[本贴已被 jiajie 于 2004-11-30 17:29:57 修改过]
作者: 陈静荣 时间: 2004-11-30 20:50
脑实质密度均匀,未见异常密度灶,脑沟裂池室形态大小正常,中线结构居中.
作者: 雷永彦 时间: 2004-11-30 22:31
颅内病变欠明确,建议薄层扫描内耳。
作者: jiajie 时间: 2004-12-1 01:38
双侧乳突蜂房密度呈气体样,慢性乳突炎可能性不大,
双侧颞叶脑实质密度均匀未见异常密度灶,
考虑颅内未见异常。
作者: 粒肥 时间: 2004-12-1 01:45
正常头颅ct表现
作者: wxy7406 时间: 2004-12-1 02:32
考虑耳源性脑膜炎
作者: 实话实说 时间: 2004-12-1 02:39
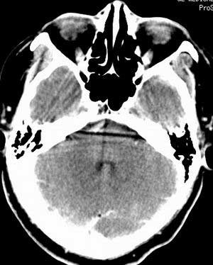
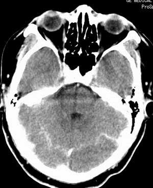
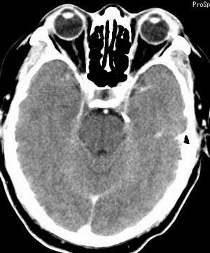
平扫右侧岩骨与枕骨交角内侧脑质内见淡片状密度增高影,内缘清晰。增强图象上未见明显显示。
考虑:1)伪影可能,建议复查头ct平扫。
2)加照头ct骨窗,以显示乳突气房内是否有病变。
作者: heihuzi 时间: 2004-12-1 04:47
右枕颅骨内板下高密度应该是窦的变异,和其症状应该无关,根据病史另找原因吧。[em16]
作者: wskgmmyvtkd 时间: 2004-12-1 04:51
正常颅脑ct
作者: lq2181831 时间: 2004-12-1 05:26
标题: 回复:ct810:[原创]脑部ct
以下是引用实话实说在2004-11-30 18:39:11的发言:[br]平扫右侧岩骨与枕骨交角内侧脑质内见淡片状密度增高影,内缘清晰。增强图象上未见明显显示。[br]考虑:1)伪影可能,建议复查头ct平扫。[br] 2)加照头ct骨窗,以显示乳突气房内是否有病变。
[emb6][emb6]
作者: liyenan 时间: 2004-12-1 05:36
本人愚笨没有看出什么异常情况!
作者: 三月烟花 时间: 2004-12-1 06:22
[emb6][emb6]
作者: zhanyong 时间: 2004-12-1 06:34
没瞅出来。
作者: 影子杀手 时间: 2004-12-1 09:27
正常
作者: 阿圣 时间: 2004-12-1 19:51
未见异常
作者: 小文2004 时间: 2004-12-2 04:59
建议结合耳部ct扫描情况考虑!
作者: 见习医生 时间: 2004-12-2 05:37
颅脑平扫未见异常
作者: meng-msp001 时间: 2004-12-2 06:45
都一月了,炎性应该有脓壁形成了,但不确切!抗炎效果好?
作者: jason 时间: 2004-12-2 06:52
[emb6]
作者: 寻芳者 时间: 2004-12-2 07:27
有条件来个mri扫描吧!!!
作者: liu.hui.yang 时间: 2004-12-2 07:28
标题: 回复:ct810:[原创]脑部ct
以下是引用jiajie在2004-11-30 17:38:57的发言:[br]双侧乳突蜂房密度呈气体样,慢性乳突炎可能性不大,[br][br]双侧颞叶脑实质密度均匀未见异常密度灶,[br][br]考虑颅内未见异常。
作者: zhongguolong518 时间: 2004-12-2 08:10
唉!笨呀!怎么啥也没看出来,正常的吧?请指教!
作者: zyx168 时间: 2004-12-2 21:40
正常颅脑ct片。
作者: ct_r 时间: 2004-12-3 00:01
最好能加照ct骨窗,观察右侧岩骨。
作者: wangkexing 时间: 2004-12-3 03:57
建议mr检查可轴、冠、矢多体位,mr 可以发现ct不能发现的许多异常影像。
作者: 一帆风顺 时间: 2004-12-3 04:11
建议行mr检查排除右枕硬膜下脓肿可能。
作者: zhengqiang 时间: 2004-12-3 04:38
条状高密度为小脑幕吧
作者: 文峰 时间: 2004-12-4 02:22
没有什么![em8][emb19]
作者: doc张 时间: 2004-12-4 03:10
正常平扫片,右侧为血管影。
作者: hejie 时间: 2004-12-5 05:16
条状高密度为小脑幕
作者: 黄恩辉 时间: 2004-12-5 05:46
颅内未见异常,属正常头颅ct表现,建议薄层扫描内耳。
作者: 阿圣 时间: 2004-12-5 09:41
横窦乙状窦。
作者: lanfenglin 时间: 2004-12-9 05:05
[em4]
作者: 国王 时间: 2004-12-9 23:41
未见异常
作者: wnlyq8688 时间: 2008-4-21 18:00
增强的横窦乙状窦。
| 欢迎光临 医影在线 (http://bbs.radida.com/bbs/) |
Powered by Discuz! X3.2 |