医影在线
标题: CT7527[胸部]:胸部CT [打印本页]
作者: 国窖1573 时间: 2007-4-8 02:05
标题: CT7527[胸部]:胸部CT
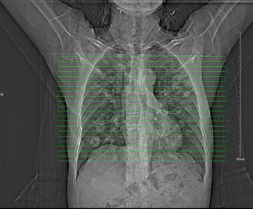
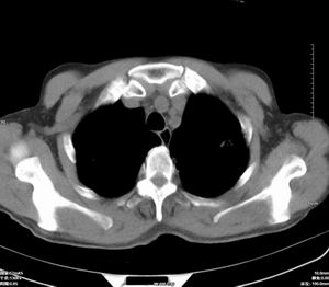
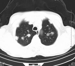
男 60岁,咳嗽,胸疼半年,请各位老师讨论.






[本贴已被 jiajie 于 2007-4-7 18:44:49 修改过]
作者: 余辉 时间: 2007-4-8 02:17
图像少了一点吧?转移瘤?
作者: 海豚宝贝 时间: 2007-4-8 02:18
图象太少,应该是肺的转移瘤
作者: 我爱CT-MR 时间: 2007-4-8 02:19
考虑两肺多发转移瘤
作者: 卜一 时间: 2007-4-8 02:23
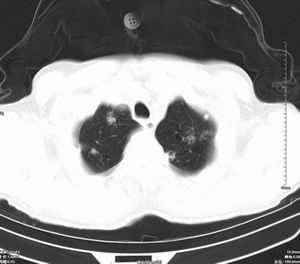
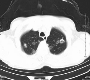
肺内多发小结节,部分内见空泡,边界大部分清楚.多考虑:1 韦格氏肉芽肿.2 肺泡癌伴肺内转移不除外.
作者: jinning 时间: 2007-4-8 02:47
肺内多发小结节,部分内见空泡,边界大部分清楚.多考虑:1 韦格氏肉芽肿.2 肺泡癌伴肺内转移不除外
作者: sky11134 时间: 2007-4-8 02:47
标题: 回复:ct7527[胸部]:胸部ct
肺内多发结节样病灶,部分内见空泡影,边界大部分清楚,多考虑:
1.金葡菌感染
2 转移不除外
作者: 狙击手 时间: 2007-4-8 02:52
肺内多发小结节,部分内见空泡,边界大部分清楚.多考虑:1 韦格氏肉芽肿。
作者: shiqingfa 时间: 2007-4-8 03:03
肺的转移瘤可能性大,不除外韦格氏肉芽肿
作者: qc80012345 时间: 2007-4-8 03:15
肺韦格氏肉芽肿可能性大;图片实在太少了。以后应该注意病史采集的全面性和图片的完整性。
作者: 国窖1573 时间: 2007-4-8 03:24
很抱歉,图片未能发完,现在发不成,我将继续发
作者: dyqct 时间: 2007-4-8 03:59
标题: 回复:ct7527[胸部]:胸部ct
以下是引用qc80012345在2007-4-7 19:15:00的发言:[br]肺韦格氏肉芽肿可能性大;图片实在太少了。以后应该注意病史采集的全面性和图片的完整性。
支持!!不除外转移瘤。
作者: 王守平 时间: 2007-4-8 04:08
支持楼上意见
作者: wj2039 时间: 2007-4-8 04:21
病史较长.首先考虑韦格氏肉芽肿.金葡菌感染不排除.
作者: xulianj 时间: 2007-4-8 04:27
考虑为1转移性肺癌2肺韦格氏肉芽肿。
作者: jinguoji 时间: 2007-4-8 05:25
考虑两肺转移瘤.
作者: liuqiang 时间: 2007-4-8 05:33
肺韦格氏肉芽肿又称肺坏死性肉牙肿。目前认为可能是人体对某些外来刺激的过敏反应如免疫复合物的沉积[1]。
病理特征:坏死性血管炎侵犯各级血管包括动脉、静脉、毛细血管。肺结节中心坏死并紧靠受累肺血管。组织学上受累血管表现为管腔呈血栓性阻塞出血并有纤维渗出,肺泡壁有多形核细胞浸润增厚并有灶性坏死。肉芽肿内有类上皮细胞和多核巨细胞,被浆细胞、淋巴细胞及小嗜酸性细胞所包围。
影像学表现:文献报告肺部浸润性见于50-65%的病人,肺部均有浸润,表现为肺内多发或单发结节影,出现多发厚壁空洞,内壁粗糙,易合并细菌性肺炎,也可出现胸腔积液。ct及hrct扫描可见大小不等的结节多分布于肺周边部,结节可呈楔形贴近胸膜,另一主要特征是其周围有线状斑痕影,即长毛刺征,受累血管及血管周围纤维化是其形成的原因,如累及胸膜尚可出现胸膜凹陷征。71%ct比胸片发现更多更小病灶, 典型的征象滋养血管征仅能在ct上显示。ct及hrct可检出典型影像征象。为诊断提供了重要依据,ct可成为肺韦格氏肉芽肿首选检查方法。
鉴别诊断:韦格氏肉芽肿ct表现与肺有关病变相似。如脓毒性肺栓塞的ct表现包括多发性,并有滋养血管的空洞性结节。滋养血管征也常见于肺梗塞和血行转移瘤。另外部灶呈楔形贴附胸膜面也是梗塞和脓毒性肺栓塞的ct特点之一。但肺梗塞和脓毒性肺梗塞的临床表现较急、全身或局部症状明显,另外肺结节边缘长毛刺征及胸膜凹陷征是上述病变所缺乏的,有助于本病的诊断和鉴别诊断。所以本病例应考虑肺转移。
作者: 天南地北 时间: 2007-4-8 05:39
标题: 回复:ct7527[胸部]:胸部ct
以下是引用dyqct在2007-4-7 19:59:00的发言:[br][quote]以下是引用qc80012345在2007-4-7 19:15:00的发言:[br]肺韦格氏肉芽肿可能性大;图片实在太少了。以后应该注意病史采集的全面性和图片的完整性。
[br]支持!!不除外转移瘤。[br][/quote]
作者: 拾荒者 时间: 2007-4-8 05:57
标题: 回复:ct7527[胸部]:胸部ct
以下是引用卜一在2007-4-7 18:23:00的发言:[br]肺内多发小结节,部分内见空泡,边界大部分清楚.多考虑:1 韦格氏肉芽肿.2 肺泡癌伴肺内转移不除外.
支持!
作者: liuzheng_9326 时间: 2007-4-8 07:36
标题: [推荐]
肺韦格氏肉芽肿可能性大;图片实在太少了。以后应该注意病史采集的全面性和图片的完整性。
参见肺韦格氏肉芽肿http://www.sdhct.com.cn/news_view.asp?id=1383
肺转移癌:http://bbs.yxsjy.net/viewthread.php?tid=5541[emb25]
[本贴已被 liuzheng_9326 于 2007-4-7 23:44:35 修改过]
作者: 宝天曼 时间: 2007-4-8 14:47
考虑两肺多发转移瘤可能性大
作者: ailuanfei 时间: 2007-4-8 17:52
肺内多发小结节,部分内见空泡,边界大部分清楚.多考虑:1 韦格氏肉芽肿.2 肺泡癌伴肺内转移不除外.
作者: 晓杰 时间: 2007-4-8 20:35
肺内多发小结节,部分内见空泡,边界大部分清楚;
多考虑:1 韦格氏肉芽肿。2、转移瘤 3、金葡菌感染 4、军团菌感染
| 欢迎光临 医影在线 (http://bbs.radida.com/bbs/) |
Powered by Discuz! X3.2 |