医影在线

标题: X1915:[讨论]女,65岁,跟部软组织溃疡已二年 [打印本页]

作者: abcabc2000.abc    时间: 2007-4-8 02:19
标题: X1915:[讨论]女,65岁,跟部软组织溃疡已二年
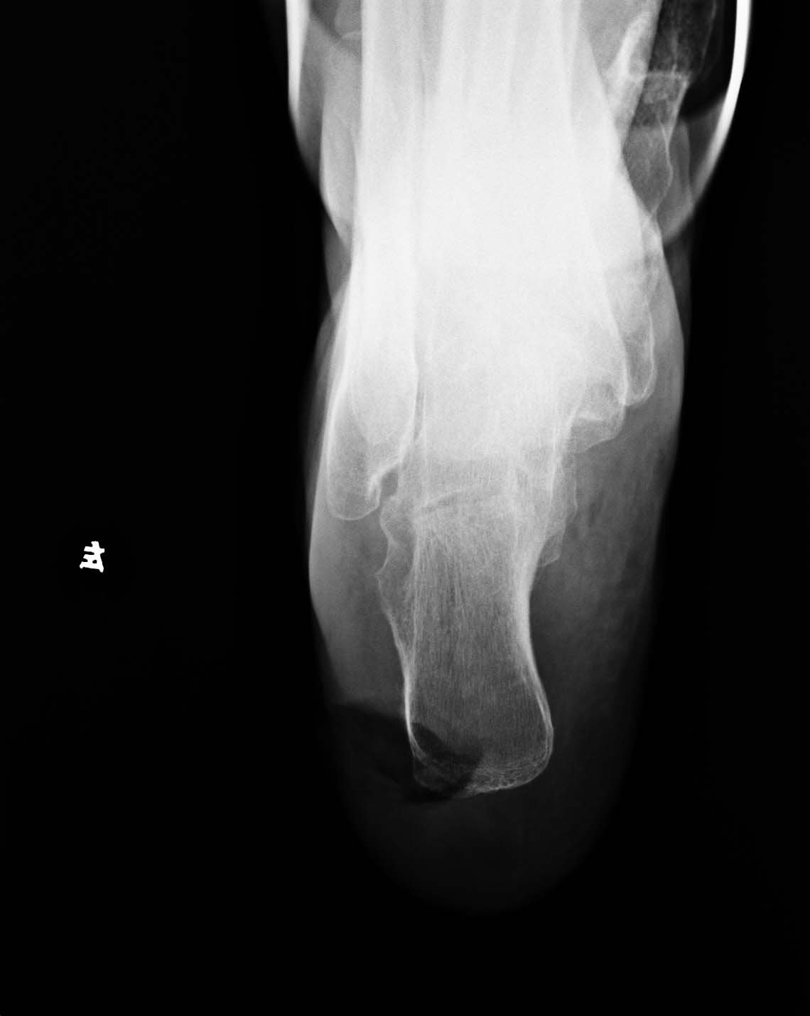
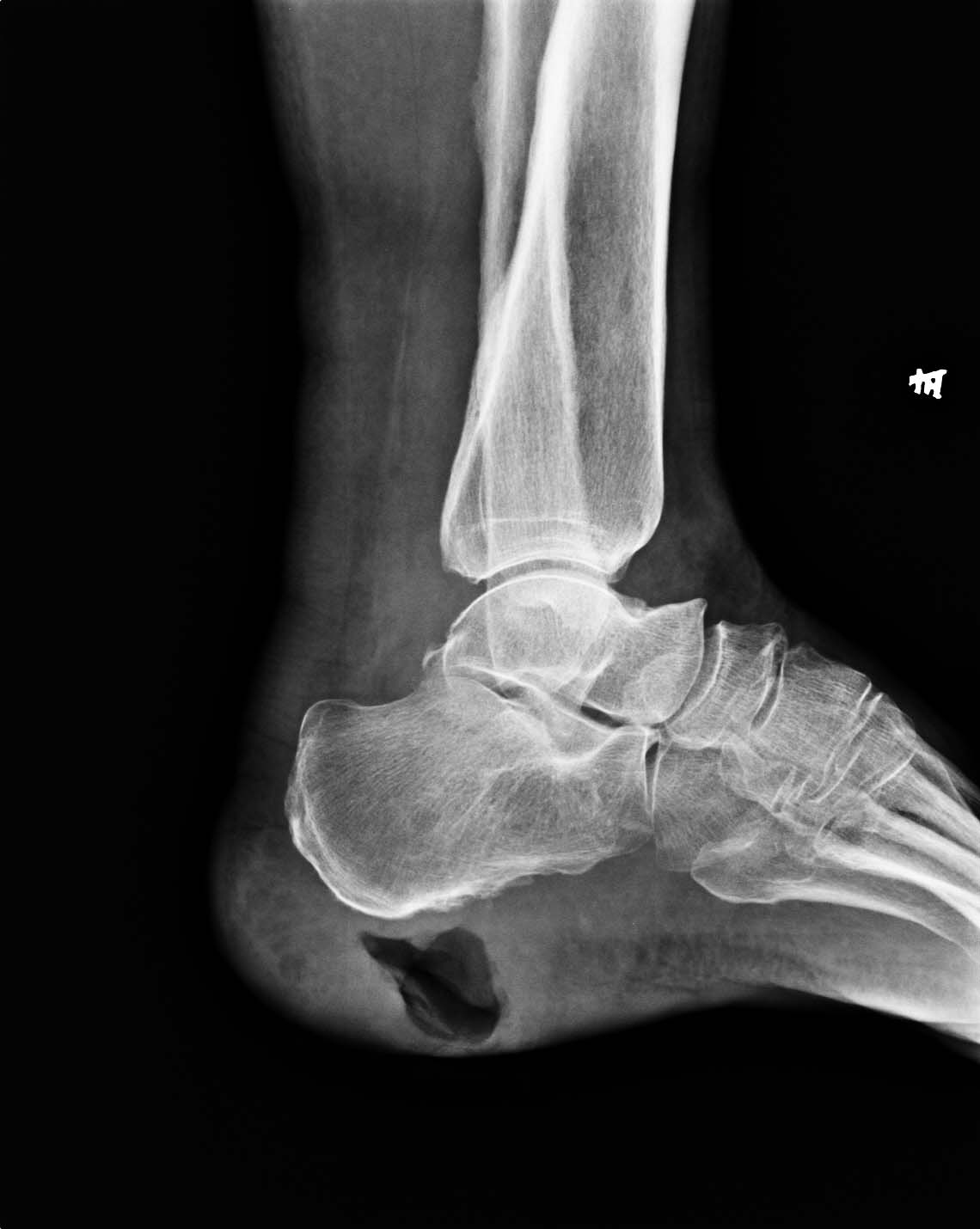
女,65岁,跟部软组织溃疡已二年,现跟骨下方见骨膜反应,x线报告上如何诊断。




[本贴已被 jiajie 于 2007-5-3 6:03:17 修改过]

作者: 余辉    时间: 2007-4-8 03:20
考虑跟部慢性炎症累及跟骨
作者: jinning    时间: 2007-4-8 03:39
考虑跟部慢性炎症累及跟骨
作者: dyqct    时间: 2007-4-8 03:48
考虑跟部软组织慢性炎症累及跟骨(骨膜炎)。
作者: sky11134    时间: 2007-4-8 04:10
1、左跟部软组织溃疡
2、左跟骨下缘骨膜炎,建议随诊
作者: marco    时间: 2007-4-8 04:27
考虑跟部软组织慢性炎症累及跟骨--骨膜炎
作者: 念羊经    时间: 2007-4-8 04:28
有糖尿病史没,
作者: 王守平    时间: 2007-4-8 04:49
跟部软组织感染、窦道形成并跟骨骨膜炎
作者: jinguoji    时间: 2007-4-8 05:09
结合病史考虑跟部慢性炎症累及跟骨.
作者: qc80012345    时间: 2007-4-8 10:31
跟部慢性炎症累及跟骨
作者: huiluizhi    时间: 2007-4-8 19:52
标题: 回复:x1915[四肢]:[讨论]跟骨骨质改变如何诊断
考虑跟部软组织慢性炎症累及跟骨--骨膜炎[/quote]
作者: ZHANGZHONGSHOU    时间: 2007-4-8 20:40
1、左跟部局限性软组织缺失
2、左跟骨骨膜炎,建议密切观察,除外跟骨骨髓炎
作者: 无级    时间: 2007-4-8 21:07
腓骨骨膜增厚,不规则。建议加摄。
作者: liuyue    时间: 2007-4-9 00:38
足跟部软组织感染、窦道形成并跟骨骨膜炎。
作者: 眼睛    时间: 2007-4-9 01:42
跟部软组织感染、窦道形成并跟骨骨膜炎
作者: 鱼生片    时间: 2007-4-9 02:46
请问糖尿病病史对诊断有什么帮助?
作者: 123zhangming    时间: 2007-4-9 04:50
左足跟部慢性炎症累及跟骨
作者: zhangkening    时间: 2007-4-9 20:35
我认为是软组织感染刺激性引起骨膜反映.
作者: shibing    时间: 2013-2-2 15:14
考虑跟部软组织慢性炎症累及跟骨(骨膜炎)。




欢迎光临 医影在线 (http://bbs.radida.com/bbs/) Powered by Discuz! X3.2