医影在线

标题: CT7529[颌面颈部]:上颌骨的? [打印本页]

作者: 我爱CT-MR    时间: 2007-4-8 03:18
标题: CT7529[颌面颈部]:上颌骨的?
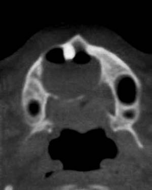
患者:男71岁,右侧上颚肿物无痛性生长7年.




















[本贴已被 jiajie 于 2007-4-7 19:46:15 修改过]

作者: 余辉    时间: 2007-4-8 03:24
考虑右上颌骨根尖/含牙囊肿累及鄂骨
作者: 狙击手    时间: 2007-4-8 03:30
看来起源于上鄂骨,压迹呈圆形,其内见液平,考虑:囊肿。
作者: jinning    时间: 2007-4-8 03:38
考虑右上颌骨根尖/含牙囊肿累及鄂骨
作者: qiuleiyu    时间: 2007-4-8 03:50
牙源性囊肿伴感染,含齿囊肿可能大。
作者: sky11134    时间: 2007-4-8 03:55
标题: 回复:ct7529[颌面颈部]:上颌骨的?
牙源性囊肿伴感染,含齿囊肿可能大,造釉cell瘤待排
作者: zjzjr    时间: 2007-4-8 03:57
含齿囊肿.
作者: dyqct    时间: 2007-4-8 04:06
右上颌骨近中线部见类圆形低密度区,上方见一液平,周围见一薄硬化环,前下方见一牙根,后方累及水平板。上方突入鼻腔前下部,下方突入口腔。
考虑:右侧上颌骨囊肿伴感染。
作者: xulianj    时间: 2007-4-8 04:09
应诊断为右上颌骨含齿囊肿。
作者: 文莱    时间: 2007-4-8 04:13
右上颌骨含齿囊肿.
作者: wnq    时间: 2007-4-8 04:22
右上颌骨含齿囊肿.
作者: phsdyx    时间: 2007-4-8 04:34
支持右上颌骨含齿囊肿.
作者: 王守平    时间: 2007-4-8 04:38
符合囊肿并感染表现
作者: guzhongliangddd    时间: 2007-4-8 04:45
标题: 回复:ct7529[颌面颈部]:上颌骨的?

作者: zxczxc    时间: 2007-4-8 05:03
标题: 回复:ct7529[颌面颈部]:上颌骨的?
以下是引用jinning在2007-4-7 19:38:00的发言:[br]考虑右上颌骨根尖/含牙囊肿累及鄂骨

作者: 小初学者    时间: 2007-4-8 05:04
标题: 回复:ct7529[颌面颈部]:上颌骨的?
以下是引用guzhongliangddd在2007-4-7 20:45:00的发言:[br][br]

作者: 天南地北    时间: 2007-4-8 05:35
支持:考虑右上颌骨根尖/含牙囊肿累及鄂骨
作者: sdllxu    时间: 2007-4-8 05:40
标题: 回复:ct7529[颌面颈部]:上颌骨的?
是不是面裂囊肿
作者: 卜一    时间: 2007-4-8 05:41
牙源性囊肿伴感染,含齿囊肿可能大。支持!
作者: jinguoji    时间: 2007-4-8 05:49
支持右上颌骨含齿囊肿.
作者: 朱亮    时间: 2007-4-8 06:02
右侧上颌骨含牙囊肿
作者: 拾荒者    时间: 2007-4-8 06:09
牙源性囊肿伴感染,含齿囊肿可能大。支持!
作者: 宝天曼    时间: 2007-4-8 15:08
考虑:右侧上颌骨囊肿伴感染。
作者: jw-830    时间: 2007-4-8 17:30
考虑右侧上颌骨囊肿伴感染
作者: 晓杰    时间: 2007-4-8 20:38
支持:右上颌骨含齿囊肿.




欢迎光临 医影在线 (http://bbs.radida.com/bbs/) Powered by Discuz! X3.2