医影在线

标题: CT7171B:补充治疗后2周复查 [打印本页]

作者: jinning    时间: 2007-4-8 04:29
标题: CT7171B:补充治疗后2周复查
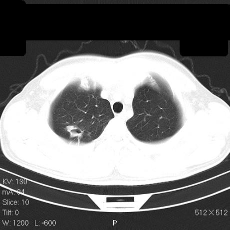
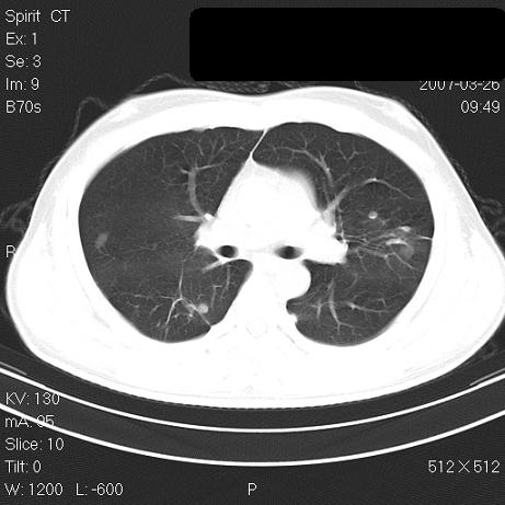
原ct7171:http://www.radida.com/bbs/forum.php?mod=viewthread&tid=22055
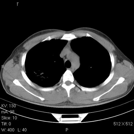
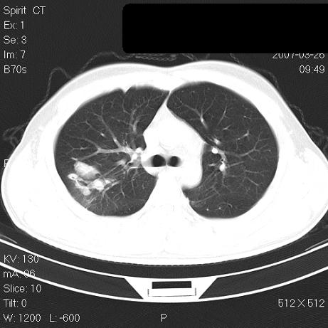
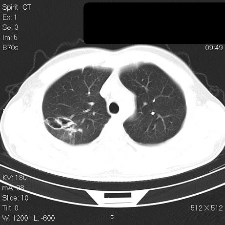
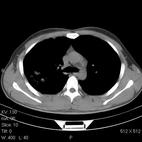
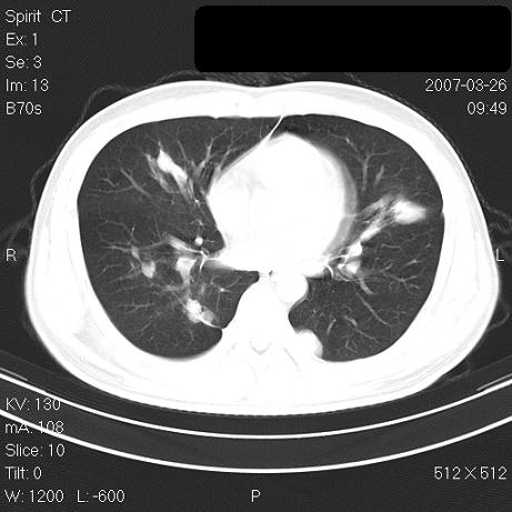
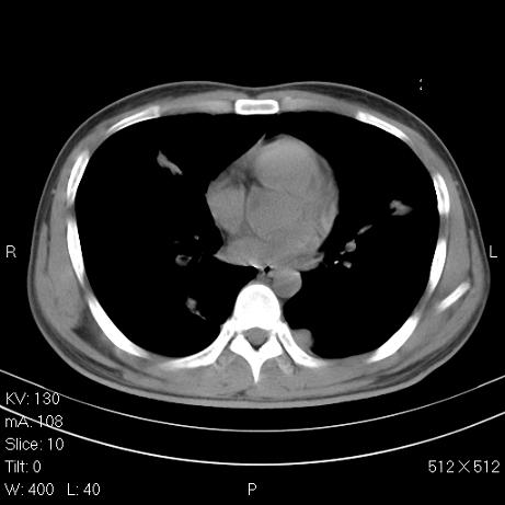
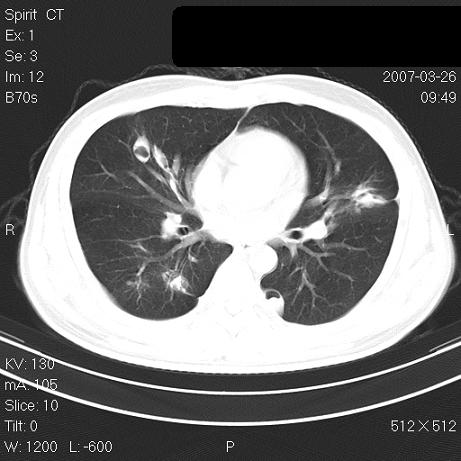
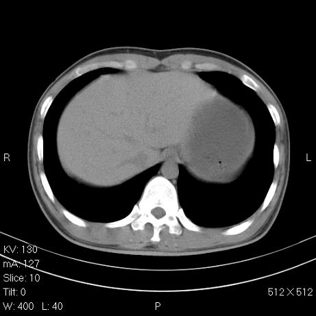
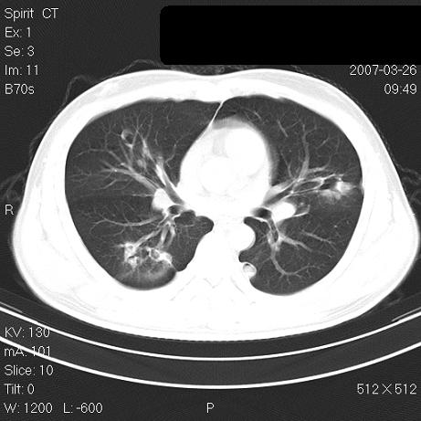
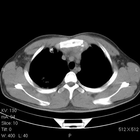
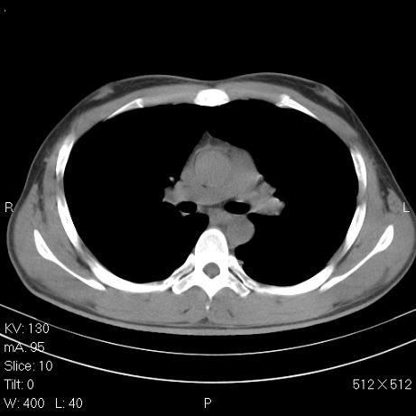
治疗后2周复查,请讨论

























[本贴已被 jiajie 于 2007-4-7 21:39:00 修改过]

作者: ysxyy    时间: 2007-4-8 05:03
ct7171t片:http://www.radida.com/radinet/read.php?tid=22055
作者: liuqiang    时间: 2007-4-8 05:06
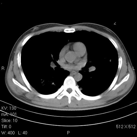
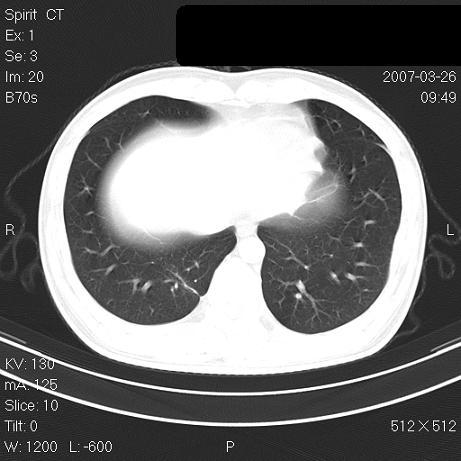
结合以前的ct片,还是考虑肺挫伤,吸收多了。
作者: 狙击手    时间: 2007-4-8 05:25
好很多,楼主能否详细说说怎么治疗的?
作者: 天南地北    时间: 2007-4-8 05:29
结合以前的ct片,还是考虑肺挫伤,吸收多了。
支持
作者: 卜一    时间: 2007-4-8 05:32
支持:创伤性湿肺。现肺挫裂伤(出血 积气)大部分吸收。建议继续治疗!
作者: jinguoji    时间: 2007-4-8 05:46
结合以前的ct片,支持创伤性湿肺。现大部分吸收。
作者: 拾荒者    时间: 2007-4-8 06:30
支持:创伤性湿肺、肺挫裂伤。现肺挫裂伤(出血、渗出、液气腔)大部分吸收。建议继续治疗!
作者: 国窖1573    时间: 2007-4-8 06:43
学习了谢谢
作者: qc80012345    时间: 2007-4-8 09:03
支持:创伤性湿肺、肺挫裂伤。现肺挫裂伤(出血、渗出、液气腔)大部分吸收.
作者: 宝天曼    时间: 2007-4-8 14:24
结合老片支持创伤性湿肺、肺挫裂伤。
作者: jw-830    时间: 2007-4-8 17:29
经治疗后病灶明显吸收,考虑创伤性湿肺、肺挫裂伤
作者: duguo    时间: 2007-4-8 18:00
应该为多发性外伤性肺囊肿.
作者: swyyy2007    时间: 2007-4-8 18:06
我认为还是值得商榷,排除一下是否为肺动静脉畸形,复查后再看
作者: dyqct    时间: 2007-4-8 18:29
标题: 回复:ct7171b:补充治疗后2周复查
以下是引用拾荒者在2007-4-7 22:30:00的发言:[br]支持:创伤性湿肺、肺挫裂伤。现肺挫裂伤(出血、渗出、液气腔)大部分吸收。建议继续治疗!

支持!!
作者: sky11134    时间: 2007-4-8 19:12
好病例,学习了
作者: zjzjr    时间: 2007-4-8 19:40
经治疗后病灶明显吸收,考虑创伤性湿肺、肺挫裂伤




欢迎光临 医影在线 (http://bbs.radida.com/bbs/) Powered by Discuz! X3.2