








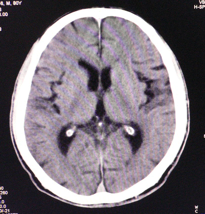
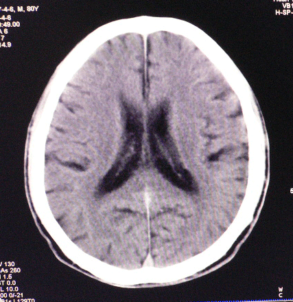
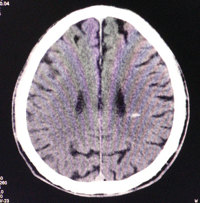
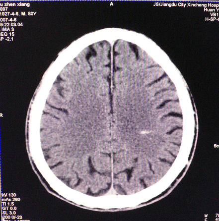
以下是引用狙击手在2007-4-8 22:45:00的发言:[br]出血?从患者的症状考虑病灶应该在左侧大脑半球的基底节区或颞顶部,如此小的病灶引起上述症状的可能性不大,患者可能有梗塞(时间短,目前ct还看不见)或是tia发作,再者像这样的线条形出血的确不多见,但还是有可能的,曾经碰到有外伤类似出血,复查后消失,所以还是慎重一点,短期复查即可。
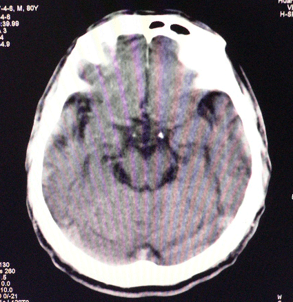
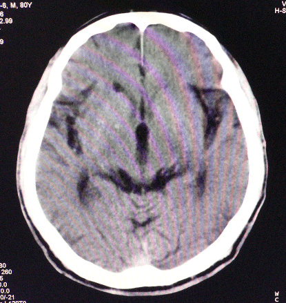
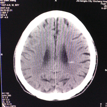
以下是引用dyqct在2007-4-8 16:25:00的发言:[br]支持左侧放射冠区少量出血。
| 欢迎光临 医影在线 (http://bbs.radida.com/bbs/) | Powered by Discuz! X3.2 |